|
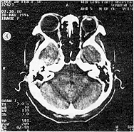
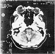
2.2 高度近视CT表现双眼眶容积、形态基本对称,双眼或单眼突出,眼球前后径大于横径,单眼近视,双眼前后径差异,近视眼的前后径大于非近视眼。水平位上球壁自赤道部开始变薄,越后越薄至后极眼环几乎消失,无明显局限性隆起,视神经附着点位于后极内侧,离开球壁视神经行程弯曲(图3)。合并固定性内斜者眼球固定斜位,前极内侧和眶内侧壁抵触,后极外侧和眶外壁相贴,内直肌增厚,视神经向外牵引成一直线(图4、5)。


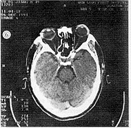
2.3 眶内侧壁畸形CT表现1例,男性,左眼前突数10a,否认外伤史。双眼眶水平位左眼眶突出,眶外缘位于左眼赤道之后,左眼眶内侧壁向颞侧膨隆,内侧壁内直肌前行分离,右眼眶内侧壁鼻侧凹陷,内直肌鼻侧移位,呈弧形走向,双眼眶容积不对称(图6)。

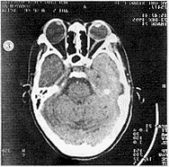
2.4 外伤性眶内侧壁骨折CT表现3例,为眶内侧壁中部骨折,伤侧眶腔扩大,伴内直肌移位。
3 讨论
由于眶内侧壁解剖特异性,眼部钝击伤致眶内侧壁骨折,内侧壁中部为好发部位,伴有明显相关体征,内直肌鼻侧移位、嵌置,双眶腔大小不均。
Unsold和他的同事已证实,行球后麻醉时眼球向外、向下视神经离开注射针[1]。冠状位上视神经偏上偏内,水平位上无论正位还是外展位肌圆锥外侧腔均大于内侧腔,这些解剖特性为以后球后麻醉方法的改良提供理论依据。
假设在2眼眶外侧缘作一连线,其连线通过眼球赤道,测量角膜顶点、晶状体前后极,眼球后极和连线间的距离,可精确测出眼球突度,角膜顶点连线间距离和眼球后极连线间距离的比例。
高度近视,使用双眼球CT扫描不仅能准确测量眼轴,还能显示后半部球壁厚度及厚度改变的范围以及视神经、眼外肌相关体征。对于不能用常规手段检查的固定性内斜更具有优越性。
高度近视眼环自赤道向后极惭进性大范围变薄,目前国内外流行的后巩膜加固术,仅使用狭窄巩膜条或其它生物制品小范围加固,能否起到加固巩膜,稳定近视发展提出异议,有待进一步研究。
双眼眶容积的改变,可引起双眼突度差异。眼眶体积增加1cm3,眼球内陷0.8mm[2]。外伤眶骨折,尤其为内侧壁,一般为单侧性,眶眶扩大,待炎症、水肿消失,伤侧眼球内陷。双眼眶形态和体征同时发生相反的改变,例如双眼眶内侧壁畸形,产生双眼突度明显差异。
参考文献
1 Christoper L,Bryau Y,Ivan M.Magnetic resonance imaging of the optic nerve in extremes of gaze.Br J Ophthalmol 1992;76∶728-733.
2 Whitehose RW,Batterhury M,Jackson A,et al.Prediction of enophthalmos by computed tomography after blow out orbital fracture.Br J Ophthalmol1994;78∶620-648. 上一页 [1] [2] |