精彩推荐:青光眼 白内障 近视 远视 散光 斜视弱视 角膜溃疡 角膜炎 沙眼 眼外伤 更多疾病
大众频道
专业频道
时尚频道
互动频道
疾 病 | 保 健 | 爱眼动态 | 名医名院
知 识 | 美 食 | 自检自测 | 爱眼纪事
资 讯 | 临 床 | 学 术 | 文 献
图 谱 | 医 患 | 继 教 |
五官之美 | 整 形 | 美 容
眼镜一族 | 妆 容 | 图 库
眼科在线 | 预留位置
眼科知道 | 在线咨询
  当前位置:当前位置: 中华眼科在线 → 医学频道 → 热点新闻 → 正文 切换到繁體中文 用户登录 新用户注册
睫状体脉络膜黑色素瘤

http://www.cnophol.com 2017-4-26 11:35:58 中华眼科在线

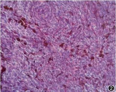
  眼部检查: 视力右眼为 0.01,左眼为 0.6;右眼外观正常,眼睑无红肿, 眼表及眼前节情况见精粹图片1,眼底窥不入;左眼晶状体轻度混浊,其余眼前节及眼底检查未见明显异常。患者行右眼眼球摘除术。组织病理学诊断:右眼睫状体脉络膜黑色素瘤(以梭形细胞为主的混合细胞型)(精粹图片2)。

【病例】睫状体脉络膜黑色素瘤

  精粹图片1 使用裂隙灯检查法观察睫状体脉络膜黑色素瘤患者右眼外观,右眼球结膜混合充血,1:00 至 3:00 方位子午线方向邻近角膜缘处球结膜下可见不规则形灰黑色肿物,局部隆起,边界清晰,不可推动,无压痛,大小约为 12 mm×13 mm。肿物周围球结膜充血明显,局部可见迂曲的血管,角膜透明,前房略浅,房水清,虹膜纹理清楚,瞳孔圆形,直径约 4 mm,晶状体混浊

【病例】睫状体脉络膜黑色素瘤

  精粹图片2 光镜下观察睫状体脉络膜黑色素瘤患者肿瘤组织病理学切片,肿瘤细胞以梭形细胞为主,胞质内含黑色素颗粒 HE染色×200

  来源:中华眼科杂志 2017年2月第53卷第2期

  作者:赵云 宋国祥 赵红 天津市眼科医院 天津医科大学眼科临床学院 天津市眼科研究所 天津市眼科学与视觉科学重点实验室 天津医科大学第二医院眼科

(来源:中国眼网) (责编:cnophol)

发表评论】【加入收藏】【告诉好友】【打印此文】【关闭窗口
  • 下一条信息: 没有了
  • 更多关于(睫状体脉络膜黑色素瘤,中华眼科在线)的信息
      热门图文

    闺女”关晓彤都有黑眼

    血的教训告诉你隐形眼

    关于眼镜的误解你中了

    眼部护理误区大揭秘 别
      健康新看点
      健康多视点
    ad推广
      图话健康
    点击申请点击申请点击申请点击申请点击申请点击申请点击申请点击申请点击申请
    39健康网眼病新浪福建健康21世纪药店网医脉通眼科新浪厦门健康合肥爱尔眼科一心医药集团重庆桐君阁湖北眼科网武汉眼科医院
    天津眼科医院武汉民生耳鼻喉医院中国近视网中国卫生人才网39五官科爱尔英智眼科康华眼科网久久眼科网阿里医药眼科网山水画

    Copyright © 2007 中华眼科在线 网站备案序列号: 京ICP备08009675号
    本网站由武汉五景药业主办