精彩推荐:青光眼 白内障 近视 远视 散光 斜视弱视 角膜溃疡 角膜炎 沙眼 眼外伤 更多疾病
大众频道
专业频道
时尚频道
互动频道
疾 病 | 保 健 | 爱眼动态 | 名医名院
知 识 | 美 食 | 自检自测 | 爱眼纪事
资 讯 | 临 床 | 学 术 | 文 献
图 谱 | 医 患 | 继 教 |
五官之美 | 整 形 | 美 容
眼镜一族 | 妆 容 | 图 库
眼科在线 | 预留位置
眼科知道 | 在线咨询
  当前位置:当前位置: 中华眼科在线 → 医学频道 → 临床医学 → 病例分析 → 正文 切换到繁體中文 用户登录 新用户注册
肾病综合征伴角膜混浊

http://www.cnophol.com 2017-4-19 10:11:22 中华眼科在线

  导读:来自土耳其伊斯坦布大学肾脏科和病理科的专家们在近期的 Kidney International 杂志上报道了一例累及肾脏的少见的遗传性疾病,让我们一起来长长见识吧!

  病例介绍

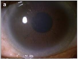
  35 岁男性,因「下肢浮肿」入院。体格检查提示角膜弧状云和角膜混浊(图 1),双下肢凹陷性浮肿。患者提到他的兄弟姐妹与他有相似的症状,如眼睛朦胧感和肾脏疾病,但是他们拒绝就医。

【病例】警惕:肾病综合征伴角膜混浊

  图 1 角膜弧状云和角膜混浊

  生化检查结果:血肌酐 1.43 mg/dL(正常范围:0.72~1.25 mg/dL),白蛋白 2.8 g/dL(正常范围:3.5~5.2 g/dL),总胆固醇 140 mg/dL(正常范围 <200 mg/dL),甘油三酯 652 mg/dL(<150 mg/dL)。血清高密度脂蛋白 HDL 水平无法检测。除了轻度贫血(Hb10.2 g/dL,正常范围:13~17 g/dL)外,没有其它实验室指标异常。尿液分析显示蛋白尿 7 g/d。

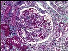
  肾活检结果:31 个肾小球中 13 个全球硬化。在内皮细胞和小动脉壁中观察到泡沫样外观。毛细血管内出现 PAS 染色阳性沉积物(图 b)。刚果红染色阴性。电镜下观察到基底膜内、内皮下和系膜区脂质沉积物(图 c),内皮细胞空泡化(图 d)。

【病例】警惕:肾病综合征伴角膜混浊

  图 2 毛细血管内出现 PAS 染色阳性沉积物

【病例】警惕:肾病综合征伴角膜混浊

  图 3 基底膜内、内皮下和系膜区脂质沉积物,内皮细胞空泡化

  你的诊断是什么?

  诊断结果:卵磷脂胆固醇酰基转移酶缺乏

  病例讨论

  患者有角膜混浊、肾病综合征、慢性肾脏病和无法检测的 HDL 水平,这些汇总到一起使我们高度怀疑卵磷脂胆固醇酰基转移酶(LCAT)缺乏。全基因组测序结果显示在 LCAT 基因剪接位点的区域有一个新的纯合子突变。因此,LCAT 缺乏的诊断成立。该患者目前正在接受包括血管紧张素转化酶抑制剂(ACEI)在内的支持治疗,在随访过程中。

  LCAT 是在肝脏内合成的一种酶,它能将游离的胆固醇酯化到脂蛋白上。LCAT 能将外周组织中的胆固醇转运到肝脏内,在胆固醇的逆转运过程中非常重要。LCAT 基因定位在 16 号染色体上(16q22),在人类的 LCAT 基因中已经发现总共 88 种基因突变。

  家族性 LCAT 缺陷症是一种非常罕见的常染色隐性遗传病。世界范围内仅有 70 例病例报道。临床表现包括角膜混浊,溶血性贫血和脂质在不同器官(包括肾脏)内堆积,导致蛋白尿和肾功能不全。HDL 水平非常低或者检测不到是该病一个显著的特点,但是其它一些疾病也可能和低 HDL 血症有关,比如 Tangier 病(丹吉尔病,HDL 缺乏症)和载脂蛋白 AI(Apo-AI)缺陷,要作为鉴别诊断。虽然角膜混浊也可见于其它一些疾病,但是肾脏受累只见于 LCAT 缺乏。

  角膜混浊在儿童早期就很明显了,通常是诊断 LCAT 缺乏的最初发现。这些阴影由角膜基质中无数的灰点组成,使角膜呈现混浊现象。50 岁之前出现肾功能不全伴蛋白尿是 LCAT 缺乏的一个常见特征,也是导致死亡的主要原因。与 LCAT 缺乏有关的肾脏疾病可能进展至终末期肾病。

  在肾脏病理中,在增厚的肾小球基底膜内可观察到泡沫样脂质沉积,导致空泡样外观。系膜区往往扩大,也可能出现泡沫样外观。电镜下,脂质沉积表现为肾小球基底膜内、鲍曼氏囊腔和内皮细胞中空泡化。脂质沉积的程度可能是进展至终末期肾病的一项重要预测指标。

  目前,对 LCAT 缺乏没有特异性的治疗方法。可能在将来会出现酶或基因的替代治疗。低脂 / 低卡路里饮食和 ACEI 治疗可能对 LCAT 缺乏相关的肾脏疾病有益。

  在肾病综合征和慢性肾脏病伴有角膜混浊和非常低 HDL 水平的患者中应该考虑到 LCAT 酶缺乏的诊断。应该重视肾病综合征患者眼部不适的主诉,并请眼科医生会诊进行专科检查。

(来源:中国眼网) (责编:cnophol)

发表评论】【加入收藏】【告诉好友】【打印此文】【关闭窗口
  • 下一条信息: 没有了
  • 更多关于(肾病综合征伴角膜混浊,中华眼科在线)的信息
      热门图文

    闺女”关晓彤都有黑眼

    血的教训告诉你隐形眼

    关于眼镜的误解你中了

    眼部护理误区大揭秘 别
      健康新看点
      健康多视点
    ad推广
      图话健康
    点击申请点击申请点击申请点击申请点击申请点击申请点击申请点击申请点击申请
    39健康网眼病新浪福建健康21世纪药店网医脉通眼科新浪厦门健康合肥爱尔眼科一心医药集团重庆桐君阁湖北眼科网武汉眼科医院
    天津眼科医院武汉民生耳鼻喉医院中国近视网中国卫生人才网39五官科爱尔英智眼科康华眼科网久久眼科网阿里医药眼科网山水画

    Copyright © 2007 中华眼科在线 网站备案序列号: 京ICP备08009675号
    本网站由武汉五景药业主办