精彩推荐:青光眼 白内障 近视 远视 散光 斜视弱视 角膜溃疡 角膜炎 沙眼 眼外伤 更多疾病
大众频道
专业频道
时尚频道
互动频道
疾 病 | 保 健 | 爱眼动态 | 名医名院
知 识 | 美 食 | 自检自测 | 爱眼纪事
资 讯 | 临 床 | 学 术 | 文 献
图 谱 | 医 患 | 继 教 |
五官之美 | 整 形 | 美 容
眼镜一族 | 妆 容 | 图 库
眼科在线 | 预留位置
眼科知道 | 在线咨询
  当前位置:当前位置: 中华眼科在线 → 医学频道 → 临床医学 → 病例分析 → 正文 切换到繁體中文 用户登录 新用户注册
青少年眼肌麻痹一例

http://www.cnophol.com 2017-4-5 9:53:42 中华眼科在线

  患者男,16岁,因复视、左眼眼球运动障碍10个月入院。10个月前患者无明显诱因出现复视,左眼不能外转,当地医院诊断为左眼展神经麻痹,行左眼上直肌、下直肌移位术,术后正视时复视消失,但左眼仍不能外转。术后8个月,患者左眼再次出现上转、下转和内收运动受限,伴上睑下垂,遂到解放军总医院就诊。

  体格检查:双眼矫正视力0.8。右眼眼睑位置及眼球运动均正常,左眼上睑下垂,遮盖瞳孔上半部分,提上睑肌肌力4mm,左眼不能外展,上转、下转、内收运动均部分受限。患者右眼瞳孔直径3mm,左眼4mm;右眼对光反射灵敏,左眼迟钝,RAPD(-)。双眼眼底、眼压均正常。视觉诱发电位(visual evoked potential,VEP)、视野检查均未见明显异常。头颅MRI平扫+增强结果显示,左侧鞍旁海绵窦内T1WI稍低信号、T2WI稍高信号影,大小为21mm×23mm×22mm,增强扫描病灶呈不均匀强化,内可见多发的未强化区,左侧颈动脉海绵窦段受压外移,但结构未见明显损害(图2-3-0-1)。头颅CT平扫显示左侧鞍旁密度减低影,CT值为21Hu,大小为2.3cm,边缘可见钙化影,双侧眶内和球后未见异常(图2-3-0-2)。患者转入神经外科并行经额颞颧弓硬膜外入路左侧海绵窦区占位性病变切除术。术中快速冰冻切片病理学检查示,切除的组织标本富含黏液,制片困难。术后病理报告:左侧海绵窦区软骨源性肿瘤。考虑软骨瘤可能性大,局部细胞生长活跃,细胞间质伴黏液变性,免疫组织化学染色显示,肿瘤细胞对S-100和CK均呈阴性反应(图2-3-0-3)。术后患者左眼视力下降,额部及颊部皮肤感觉迟钝。眼科检查:右眼检查同术前,左眼矫正视力0.5,角膜上皮粗糙,角膜荧光素染色弥漫性着色,RAPD(-)。检眼镜检查示视盘界清,色红,视网膜血管走行正常,黄斑区未见明显异常。VEP、视野检查均未见明显异常。给予玻璃酸钠滴眼液点左眼、重组牛碱性成纤维细胞生长因子软膏涂左眼结膜囊并给予营养神经、改善全身血液循环药物治疗1周后,检查示见角膜上皮透明,角膜荧光素染色不明显,矫正视力0.8,左眼提上睑肌肌力测试可上提10mm。术后1个月复诊见,上睑下垂治愈,眼球运动受限明显好转。

【病例】青少年眼肌麻痹一例

  注:A. T2WI;B.增强扫描。左侧鞍旁海绵窦内可见T1WI稍低信号、T2WI稍高信号影,大小约为21mm×23mm×22mm,增强扫描病灶呈不均匀强化,其内可见多发未强化区,左侧颈动脉海绵窦段受压外移,未见明显侵犯

【病例】青少年眼肌麻痹一例

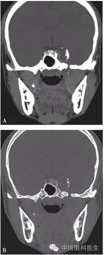
  注:A.软组织窗;B.骨窗。左侧鞍旁可见密度减低影,CT值21Hu,大小约为2.3cm,边缘可见钙化影,双侧眶内和球后未见异常

【病例】青少年眼肌麻痹一例

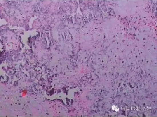
  注:考虑软骨瘤可能性大,局部细胞生长活跃,间质伴黏液变性,免疫组织化学染色显示肿瘤细胞:S-100和CK均呈阴性反应

  讨论

  本例患者为青少年男性,以左眼展神经麻痹为首发症状,随后逐渐出现左眼上睑下垂、瞳孔扩大、眼球运动受限等动眼神经、滑车神经受累的表现,临床上考虑为海绵窦、眶上裂部位发生病变的可能性大,头颅MRI平扫+增强示左侧鞍旁海绵窦受压。海绵窦系硬脑膜窦之一,是一对位于蝶鞍两侧较大的静脉窦,起自眶上裂,止于颞骨的岩骨尖,窦壁上自上而下有动眼神经、滑车神经、眼神经、展神经及上颌神经穿行,因此,海绵窦部位的病变可以部分地或全部累及上述神经,出现眶上裂综合征、眶尖综合征或海绵窦综合征的表现,诊断上考虑以下几种可能:①血管性病变:如颈内动脉或硬脑膜动脉海绵窦瘘、颈内动脉动脉瘤等;②感染性病变:如鼻窦炎、眼眶蜂窝织炎、硬膜外脓肿等波及海绵窦;③炎症性病变:如Tolosa-Hunt综合征等;④外伤性病变;⑤肿瘤:如脑膜瘤、脊索瘤、神经鞘瘤、软骨瘤等原发性肿瘤,以及鼻咽癌、肺癌、乳腺癌、胃癌等转移性肿瘤。

  本例患者经头颅MRI平扫+增强以及CT检查均显示海绵窦部位占位性病变,但病变的定性诊断需依靠病理学诊断,患者术后病理学检查确诊为软骨瘤。颅内软骨瘤是颅内透明软骨起源的良性肿瘤,临床上罕见,仅占颅内原发肿瘤的0.06%~0.3%,常发生于骨缝连接处的软骨,特别是鞍旁及中颅凹底,但在大脑凸面、大脑镰、脉络丛和脑实质也偶可见到,而原发于海绵窦部位的软骨瘤国内外仅见极少数个案报道。颅内软骨瘤多为分叶样块状物,分叶的形状不同,大小不一,质硬,表面常被覆薄层纤维膜,切面呈珍珠样白色,半透明状,多伴有钙化,为成熟的透明软骨细胞构成。免疫组织化学检测瘤细胞对S-100、vimentin呈阳性反应,但不表达上皮膜抗原,广谱细胞角蛋白,Ki-67呈低表达。颅内软骨瘤生长缓慢,故可生长多年而不出现临床症状。颅内软骨瘤的诊断是基于临床症状和神经影像学检查的。颅内软骨瘤应与软骨肉瘤、软骨母细胞瘤、软骨黏液纤维瘤、脑膜瘤、表皮样瘤、神经纤维瘤和脊索瘤进行鉴别,这对制订治疗计划和预后判断均有重要意义。颅内软骨瘤的治疗目前是将肿瘤完全切除,有人认为放射治疗有增加软骨瘤恶化的可能,因此在软骨瘤不能完全切除时或肿瘤位于不能切除的部位时均不主张行放射治疗。软骨瘤同样不适于化学治疗。

  患者术后出现左眼视力下降,角膜反射减退及额部、颊部皮肤感觉迟钝,在排除了视神经、眼底病变之后,考虑视力下降是由于手术损伤三叉神经眼支,导致神经营养性不良性角膜病变所致,给予角膜营养药物上皮修复,视力也逐渐提高。

  本例报告提醒眼科医师在接诊获得性眼肌麻痹的患者,尤其是单眼的单条眼外肌受累时,应考虑与之相关的神经系统病变,及时行眼眶-眶上裂-海绵窦部位的检查,以免误诊和误治。

  来源:人民卫生出版社《神经眼科疑难病例精粹》

(来源:中国眼网) (责编:cnophol)

发表评论】【加入收藏】【告诉好友】【打印此文】【关闭窗口
  • 下一条信息: 没有了
  • 更多关于(青少年,眼肌麻痹,一例,中华眼科在线)的信息
      热门图文

    先天性小睑裂宝宝的手

    眼袋有多深,你就有多

    佩戴隐形眼镜,这五点

    “扫黑”三大方向,十
      健康新看点
      健康多视点
    ad推广
      图话健康
    点击申请点击申请点击申请点击申请点击申请点击申请点击申请点击申请点击申请
    39健康网眼病新浪福建健康21世纪药店网医脉通眼科新浪厦门健康合肥爱尔眼科一心医药集团重庆桐君阁湖北眼科网武汉眼科医院
    天津眼科医院武汉民生耳鼻喉医院中国近视网中国卫生人才网39五官科爱尔英智眼科康华眼科网久久眼科网阿里医药眼科网山水画

    Copyright © 2007 中华眼科在线 网站备案序列号: 京ICP备08009675号
    本网站由武汉五景药业主办