精彩推荐:青光眼 白内障 近视 远视 散光 斜视弱视 角膜溃疡 角膜炎 沙眼 眼外伤 更多疾病
大众频道
专业频道
时尚频道
互动频道
疾 病 | 保 健 | 爱眼动态 | 名医名院
知 识 | 美 食 | 自检自测 | 爱眼纪事
资 讯 | 临 床 | 学 术 | 文 献
图 谱 | 医 患 | 继 教 |
五官之美 | 整 形 | 美 容
眼镜一族 | 妆 容 | 图 库
眼科在线 | 预留位置
眼科知道 | 在线咨询
  当前位置:当前位置: 中华眼科在线 → 医学频道 → 临床医学 → 病例分析 → 正文 切换到繁體中文 用户登录 新用户注册
【病例】后部脉络膜平滑肌瘤一例

http://www.cnophol.com 2017-3-6 9:42:03 中华眼科在线

  平滑肌瘤是一种起源于平滑肌细胞的良性肿瘤,好发于胃肠道及子宫。眼内平滑肌瘤少见,其中以发生于睫状体及前部脉络膜为主,发生于后部脉络膜则极为罕见,且与脉络膜黑色素瘤及脉络膜转移癌难以鉴别,现将北京同仁眼科中心收治的一例后部脉络膜平滑肌瘤病例报道如下:

  患者男性,20岁。因右眼视力下降4个月于2015年1月14日入院。人院后全身检查未见明显异常。

  眼科检查:视力:右眼0.02,左眼1.0,眼压:右眼10 mmHg(1 mmHg=O.133 kPa),左眼14 mmHg,右眼前节未见明显异常,玻璃体混浊,视乳头鼻上方可见一蘑菇样粉红色肿物,无色素,表面光滑,可见血管爬行,黄斑区中心凹反光不清(图1)。左眼未见明显异常。

【病例】后部脉络膜平滑肌瘤一例

  图1 右眼视力下降患者右眼彩色眼底照相

  入院后行彩色多普勒超声检查示右眼视乳头鼻上方突向玻璃体实性半球形病变,基底直径8.4 mm,高度4.4 mm,边界清晰,内回声尚均匀,彩色多普勒血流成像可探及较丰富血流信号,玻璃体可探及弱点状回声及带状回声与其相连,彩色多普勒血流成像可见血流信号,考虑右眼球内实性占位病变;右眼玻璃体混浊;右眼继发性视网膜脱离(图2)。

【病例】后部脉络膜平滑肌瘤一例

  图2 右眼视力下降患者右眼彩色多普勒超声图像,图中+示肿瘤边界,数字示肿瘤径线测量标识

  OCT示右眼黄斑区视网膜神经上皮层与色素上皮层分离,神经上皮层反射连续,较正常增厚,层下可见点片状反射,考虑视网膜脱离(图3)。

【病例】后部脉络膜平滑肌瘤一例

  图3 右眼视力下降患者右眼黄斑区相干光断层扫描(OCT)图像,左图绿线为OCT扫描位置示意

  UBM示双眼前段未见明显异常。MRI示右眼内上壁异常信号,呈等T1、等T2信号影,增强未见明显强化(图4)。

【病例】后部脉络膜平滑肌瘤一例

  图4 右眼视力下降患者右眼眶MRl险查结果

  人院诊断:右眼内占位性质待查,无色素脉络膜黑色素瘤可能性大。人院后完善相关检查,全身麻醉下行右眼晶状体玻璃体切除+眼内肿瘤切除+视网膜切开+眼内光凝+注药+重水+硅油填充术。

  术后情况:右眼视力:30 cm指数,眼压:13 mmHg,角膜透明,角膜后沉积物(+),前房中深,房水闪光(+),虹膜6点位根切口畅,瞳孔圆,晶状体缺如,玻璃体硅油填充,眼底视网膜平伏,可见鼻上方肿瘤切除部位周边规律激光斑。

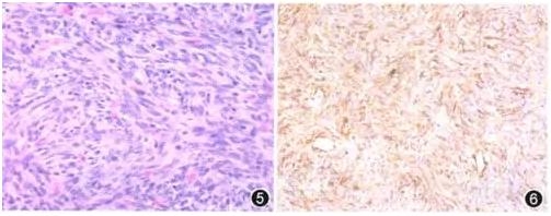
  病理结果:右眼脉络膜平滑肌瘤(图5,6)。免疫组化染色可见SMA(+),Desmin(一),GFAP(一),HMB一45(一),Melanin-A(一),S-1130(+),NSE(+),Vimentin间质(+),EMA(-)。BCL-2(一),LCA间质(+),CD68间质(一)。

【病例】后部脉络膜平滑肌瘤一例

  图5 光镜下观察右眼脉络膜平滑肌瘤患者肿瘤组织 HE染色×100 图6光镜下观察右眼脉络膜平滑肌瘤患者肿瘤组织,免疫组织化学染色×100

  出院后患者规律门诊复查,于2015年11月23日行右眼硅油取出术。术后随访:右眼视力30 cm指数,眼压:10 mmHg,角膜透明,角膜后沉积物(+),前房深,房水闪光(+),虹膜6点位根切口畅,瞳孔圆,晶状体缺如,玻璃体腔少许乳化油滴,眼底视网膜平伏,可见鼻上方大片白色瘢痕,未见肿瘤复发(图7)。

【病例】后部脉络膜平滑肌瘤一例

  图7 右眼脉络膜平滑肌瘤患者晶状体玻璃体切除+眼内肿瘤切除+视网膜切开+眼内光凝+注药+重水+硅油填充术后10个月右眼彩色眼底照相

  讨论

  平滑肌瘤起源于平滑肌细胞,是一种良性肿瘤。眼部平滑肌瘤少见,原发于眼内的平滑肌瘤临床上十分罕见,来源于睫状肌及血管平滑肌,故眼内平滑肌瘤中睫状体及前部脉络膜平滑肌瘤相对多见,而发生于与睫状体无关的后部脉络膜平滑肌瘤国内外鲜有报道。

  平滑肌瘤体呈无痛性生长,故患者多以视力下降或无意发现肿瘤就诊,少数患者因白内障、晶状体脱位、继发性青光眼、视网膜脱离等并发症就诊。由于其无特异性表现,故临床诊断十分困难,与转移癌、神经鞘瘤、黑色素瘤等难以鉴别,尤其容易误诊为无色素性黑色素瘤。

  目前报道脉络膜平滑肌瘤病例7例(国外4例,国内3例),其中女性3例,男性4例,发病年龄23—52岁,有1例女性患者发现子宫平滑肌瘤。由于脉络膜平滑肌瘤位于眼球后部,透照试验难以进行,其中2例进行过透照试验且均表现为半透明,这可能与肿瘤表面有完整的色素上皮覆盖有关,并且在这些病例中部分肿瘤已侵犯脉络膜组织,继发视网膜变性及渗出性视网膜脱离,故以上眼内平滑肌瘤的临床特点并不适用于后部脉络膜平滑肌瘤。

  影像学检查中,CT、MR、眼部彩色多普勒超声、FFA亦无特异性表现。所以在已报道的病例中,所有临床诊断均为脉络膜黑色素瘤,并均行眼球摘除术,术后病理检查确定诊断。

  由于平滑肌瘤细胞、黑色素瘤、神经鞘瘤、神经纤维瘤细胞均呈梭形,所以在对其进行组织病理学诊断时不能仅依靠常规光镜检查。需要电镜与免疫组织化学染色检查验证。电镜下见微肌丝及纺锤形致密物为平滑肌瘤典型表现。免疫组化染色检查在临床上应用更为广泛,平滑肌瘤细胞对肌肉特异性肌动蛋白、平滑肌肌动蛋白呈阳性反应,对S-100蛋白和HMB-45呈阴性反应。

  虽然脉络膜平滑肌瘤为良性肿瘤,但是随着肿瘤在眼内逐渐长大,也会导致晶状体脱位、白内障、继发性青光眼、视网膜脱离等严重并发症,最终丧失视力。目前认为手术切除是治疗脉络膜平滑肌瘤最好的治疗方法,但由于对这类疾病缺乏认识,且肿瘤位于眼球后部靠近后极,局部切除难度大,所以曾经眼球摘除是最常用的手术方法,已报道的7例患眼毫无例外均行眼球摘除术。

  随着手术技术和手术设备的不断发展,局部切除肿瘤联合玻璃体手术使视网膜复位既可以切除肿瘤,又可以保留眼球,甚至有希望保存部分视功能。若肿瘤体积过大或已合并严重并发症,眼球摘除仍是可选择的治疗方法。

  综上所述,脉络膜平滑肌瘤是一种l临床上罕见、诊断十分困难的葡萄膜良性肿瘤,早期发现,早期行肿瘤局部切除术有可能获得较满意的效果。

  来源:中华眼科杂志 2016年11月第52卷第11期

  作者:周凌霄 魏文斌 西安医学院第一附属医院眼科 首都医科大学附属北京同仁医院 北京同仁眼科中心

(来源:中国眼网 中华眼科杂志 2016年11月第52卷第11期) (责编:cnophol)

发表评论】【加入收藏】【告诉好友】【打印此文】【关闭窗口
  • 下一条信息: 没有了
  • 更多关于(病例,后部脉络膜平滑肌瘤,一例,中华眼科在线)的信息
      热门图文

    “扫黑”三大方向,十

    三生三世火了桃花妆!这

    去除黑眼圈的6个敷法

    眼镜布竟然不是用来擦
      健康新看点
      健康多视点
    ad推广
      图话健康
    点击申请点击申请点击申请点击申请点击申请点击申请点击申请点击申请点击申请
    39健康网眼病新浪福建健康21世纪药店网医脉通眼科新浪厦门健康合肥爱尔眼科一心医药集团重庆桐君阁湖北眼科网武汉眼科医院
    天津眼科医院武汉民生耳鼻喉医院中国近视网中国卫生人才网39五官科爱尔英智眼科康华眼科网久久眼科网阿里医药眼科网山水画

    Copyright © 2007 中华眼科在线 网站备案序列号: 京ICP备08009675号
    本网站由武汉五景药业主办