精彩推荐:青光眼 白内障 近视 远视 散光 斜视弱视 角膜溃疡 角膜炎 沙眼 眼外伤 更多疾病
大众频道
专业频道
时尚频道
互动频道
疾 病 | 保 健 | 爱眼动态 | 名医名院
知 识 | 美 食 | 自检自测 | 爱眼纪事
资 讯 | 临 床 | 学 术 | 文 献
图 谱 | 医 患 | 继 教 |
五官之美 | 整 形 | 美 容
眼镜一族 | 妆 容 | 图 库
眼科在线 | 预留位置
眼科知道 | 在线咨询
  当前位置:当前位置: 中华眼科在线 → 医学频道 → 眼科图谱 → 病理图谱 → 正文 切换到繁體中文 用户登录 新用户注册
不同眼病的高清眼底片

http://www.cnophol.com 2017-4-19 10:19:43 中华眼科在线

  图片信息来源于网上医生无私分享,诊断结果准确性无法提供保障,仅供眼科医生学习研究和参考用途

不同眼病的高清眼底片

  脉络膜骨瘤

不同眼病的高清眼底片

  AMD

不同眼病的高清眼底片

  CRAO

不同眼病的高清眼底片

  drusen

不同眼病的高清眼底片

  CSC

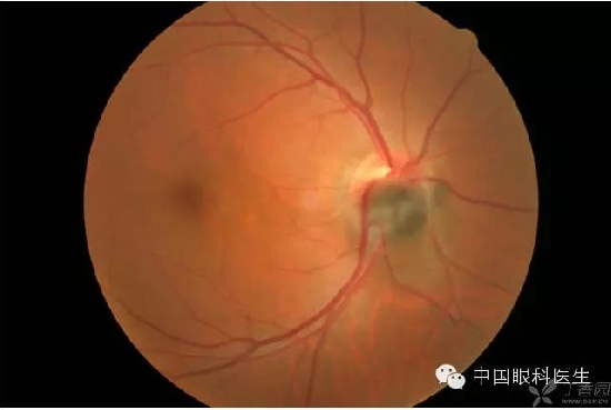
不同眼病的高清眼底片

  foster kennedy

不同眼病的高清眼底片
不同眼病的高清眼底片
不同眼病的高清眼底片

  harada

不同眼病的高清眼底片

  leber视神经病变

不同眼病的高清眼底片

  STARGADTZ

不同眼病的高清眼底片

  无脉络膜征

不同眼病的高清眼底片

  急进性高血压

不同眼病的高清眼底片

  视盘血管袢

不同眼病的高清眼底片

  妊高症

不同眼病的高清眼底片

  眼型白化病

不同眼病的高清眼底片

  结晶样RP

不同眼病的高清眼底片

  视盘小凹

不同眼病的高清眼底片

  先天性血管鞘

不同眼病的高清眼底片

  valsalva

不同眼病的高清眼底片

  有髓神经纤维

不同眼病的高清眼底片

  rop?家渗?

不同眼病的高清眼底片

  PCV

不同眼病的高清眼底片

  非高度近视眼底脱色素

不同眼病的高清眼底片

  弓形虫?

不同眼病的高清眼底片

  先天性劈裂

不同眼病的高清眼底片

  ARN

不同眼病的高清眼底片

  CNV

不同眼病的高清眼底片

  CRAO

不同眼病的高清眼底片

  DR

不同眼病的高清眼底片

  糖网性视神经病变

不同眼病的高清眼底片

  黄斑囊样水肿 劈裂

不同眼病的高清眼底片

  晚霞状眼底 danen fuchs结

不同眼病的高清眼底片

  PCV

不同眼病的高清眼底片

  phpv

不同眼病的高清眼底片

  PM FUCHs斑

不同眼病的高清眼底片

  RP

不同眼病的高清眼底片

  大血管瘤

不同眼病的高清眼底片

  弓形体

不同眼病的高清眼底片

  黄斑孔

不同眼病的高清眼底片

  闭塞性视网膜血管炎

不同眼病的高清眼底片

  色脱

不同眼病的高清眼底片

  视盘新生血管

不同眼病的高清眼底片

  有髓神经纤维

不同眼病的高清眼底片

  视盘黑色素瘤

不同眼病的高清眼底片

  左眼黄斑局部动脉梗塞? 后葡萄膜炎(感染性)?

不同眼病的高清眼底片

  AION

不同眼病的高清眼底片

  视盘血管炎

不同眼病的高清眼底片

  视盘倾斜

不同眼病的高清眼底片

  网脱

不同眼病的高清眼底片

  CRVO

不同眼病的高清眼底片

  Coats

 

(来源:中国眼网) (责编:cnophol)

发表评论】【加入收藏】【告诉好友】【打印此文】【关闭窗口
  • 下一条信息: 没有了
  • 更多关于(不同眼病的高清眼底片,中华眼科在线)的信息
      热门图文

    闺女”关晓彤都有黑眼

    血的教训告诉你隐形眼

    关于眼镜的误解你中了

    眼部护理误区大揭秘 别
      健康新看点
      健康多视点
    ad推广
      图话健康
    点击申请点击申请点击申请点击申请点击申请点击申请点击申请点击申请点击申请
    39健康网眼病新浪福建健康21世纪药店网医脉通眼科新浪厦门健康合肥爱尔眼科一心医药集团重庆桐君阁湖北眼科网武汉眼科医院
    天津眼科医院武汉民生耳鼻喉医院中国近视网中国卫生人才网39五官科爱尔英智眼科康华眼科网久久眼科网阿里医药眼科网山水画

    Copyright © 2007 中华眼科在线 网站备案序列号: 京ICP备08009675号
    本网站由武汉五景药业主办