|
结 果
一、Epi-LASIK手术的一年随访临床结果
所有眼BCVA均未低于术前,其中12眼(16.7%)BCVA比术前提高。术后平均SE为–1.21D (–0.12~–3.75D),60眼(83.34%)的屈光度在±1D以内。角膜haze大多十分轻微,1.8%眼出现0.5级Haze,没有一眼haze超过1级。术后一月,三组的对比敏感度在所检测的各个空间频率均下降,差异有统计学意义(P<0.05)。术后一年,A、B组的对比敏感度均恢复(P>0.05),C组的对比敏感度在各个空间频率均低于术前水平(P<0.05)。术后一年,72眼的高阶像差平均RMS仍高于术前(t=9.58, P<0.05)。
二、LASEK术后角膜知觉的恢复
低中度近视组:角膜知觉在术后2周和1月时下降(t=3.85,4.85, p<0.05);术后1月至3月,角膜知觉恢复较快;术后3月,角膜知觉已与术前接近(P>0.05);但术后6月时,角膜知觉似乎还有轻度提高。 高度近视组:角膜知觉在术后2周和1月时明显下降(t=7.05,7.51, p<0.05);术后1月至3月,角膜知觉恢复较快,但在3月时仍低于术前水平(t=4.40, P<0.05);术后6月时,角膜知觉接近术前水平(P>0.05)。(见图1)术后6月,有3眼角膜haze达2级,同时角膜知觉明显低于术前水平。术后3月和6月时的角膜知觉与切削深度有显著相关性(r=-0.262,-0.264; P=0.013, 0.012)

三、Epi-LASIK与LASEK对角膜基质细胞的影响
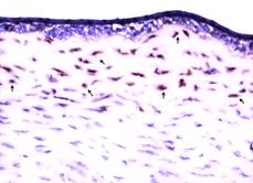
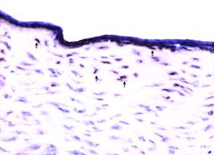
TUNEL阳性细胞在Epi-LASIK与LASEK术后4小时至3天均有较高表达,在术后1天均达到最高峰(见图2、3)。Epi-LASIK与LASEK组术后4小时、24小时、3天和1周的高倍镜下平均TUNEL阳性细胞数与对照组相比,差异有统计学意义(P<0.01);且在该四个时间点Epi-LASIK与LASEK组间相比显示Epi-LASIK有更轻的促凋亡反应,差异亦有显著统计学意义(P<0.01)。
α-SMA在正常角膜组织几乎不表达。术后7天,α-SMA阳性细胞在Epi-LASIK与LASEK术后的上皮下的浅层基质中开始明显出现,在术后1月均达到最高峰,LASEK较Epi-LASIK组增强更明显(见图4、5)。术后3月,Epi-LASIK与LASEK的平均α-SMA阳性基质细胞数分别为2.1±0.74和4.8±1.03,两者差异有统计学意义(P<0.01)。Epi-LASIK与LASEK术后1周、1月和3月每个高倍镜下的平均α-SMA阳性基质细胞数与对照组相比差异均有统计学意义(P<0.01)。Western bolt法对α-SMA定量结果示:LASEK与Epi-LASIK术后1周、1月和3月的α-SMA蛋白表达与对照组相比有统计学意义,且组间差异有统计学意义(P<0.01)。
图2 Epi-LASIK术后24h角膜TUNEL染色

图3 LASEK术后24h角膜TUNEL染色

图4 Epi-LASIK术后1m角膜α-SMA染色

图5 LASEK术后1m角膜α-SMA染色
上一页 [1] [2] [3] 下一页 |