精彩推荐:青光眼 白内障 近视 远视 散光 斜视弱视 角膜溃疡 角膜炎 沙眼 眼外伤 更多疾病
大众频道
专业频道
时尚频道
互动频道
疾 病 | 保 健 | 爱眼动态 | 名医名院
知 识 | 美 食 | 自检自测 | 爱眼纪事
资 讯 | 临 床 | 学 术 | 文 献
图 谱 | 医 患 | 继 教 | 家 园
五官之美 | 整 形 | 美 容
眼镜一族 | 妆 容 | 图 库
眼科在线 | 预留位置
眼科知道 | 在线咨询
  当前位置:当前位置: 中华眼科在线 → 医学频道 → 临床医学 → 病例分析 → 正文 切换到繁體中文 用户登录 新用户注册
CT显示为管状密度影眶内植物性异物一例

http://www.cnophol.com 2012-9-21 9:24:06 中华眼科在线

  作者:刘立民 高占国 常金房 王晓冰 刘媛

  作者单位:河北省邢台市眼科医院

  【病例资料】

  患者男,53岁,主因右眼外伤后视力丧失18d,眼睑肿胀11d,于2009年1月28日入院。

  患者于2009年1月10日酒后骑电动自行车时不慎撞到柳树上,伤后右眼部流血,视物不见,无意识丧失。被人急送到当地医院行清创缝合术,术后常规应用抗生素对症治疗。伤后第7天出现右眼部肿胀,给予静点抗生素物治疗(具体不详)10余天病情无好转,行眼眶CT检查提示右眶内管状异物影,遂来邢台市眼科医院进一步治疗。

  入院检查:视力右眼无光感,左眼0.8,右眉弓内侧皮肤可见1个约2 cm不规则垂直瘢痕,内眦上方见1个直径约2 cm紫色包块,质软,有波动感,眼睑无明显肿胀,上睑下垂,完全遮盖角膜,不能抬举。右眼球固定,轻度突出,眼突出度右眼15mm,左眼12mm。眶距99 mm。结膜无明显充血,角膜透明,前房正常。瞳孔直径约5mm,对光反射消失,晶状体无混浊,眼底黄斑中心凹反光消失。左眼检查未见异常。

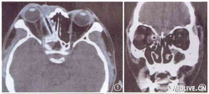
  辅助检查:眼眶CT扫描(图1,2):右侧眶内壁向内移位,可见长约3 cm的管状异物影(其外部高密度区CT值为121 Hu,内部低密度区为-238 Hu)穿过筛窦进入后组蝶窦,异物前部达眶上裂。

  入院诊断:右眶内异物,继发感染,眶内壁骨折,眶尖综合征。

  入院取脓液行细菌培养后给予静点抗生素对症治疗,完善术前常规检查,于2009年2月1日局部麻醉下行右侧眼眶异物取出术,术中剪断内眦韧带后,发现异物位于眶内壁中部、眶缘后约2mm处,将异物钳夹取出,见异物前端弯折劈裂变形(图3),其总长约5.8 cm,粗约0.8 cm,表面为血性肉芽样组织。刮除异物通道内残存异物,妥布霉素生理盐水冲洗切口后,复位缝合内眦韧带,分层缝合皮下组织及皮肤。

  术后给予广谱抗生素对症治疗,第7天拆除缝线,治愈出院。

  Tips:

  眼球突出度

  degree of exophthalmus

  双眼向前直视时眼眶壁外缘与角膜顶点的距离。

  中国人的眼球突出度12~14mm,平均为13.6mm。

  (男性13.76mm,眶距99.3mm;

  女性13.51mm,眶距96.7mm),

  两眼突出度之差别一般不超过2mm。

  ——杨志寅 主编.诊断学大辞典.北京:华夏出版社.2004.第470页.

  CT值

  CT value / CT number

  目前新一代CT机把CT值划为4024个单位。

  水:0Hu

  骨:1000Hu

  空气:-1000Hu。

  软组织的CT值为20~50Hu,

  脂肪的CT值为-70~-90Hu,

  血肿的CT值为60~80Hu。

  

  图1 右眼眶内植物性异物患者CT水平位扫描,显示右侧眶内壁向内移位,可见长约3 cm的管状异物影(其外部高密度区CT值为121 Hu。内部低密度区为-238 Hu)穿过筛窦进入后组蝶窦,异物前部达眶上裂

  图2 右眼眶内植物性异物患者CT冠状位扫描,显示异物呈空管状

  

  图3 右眼眶内植物性异物患者行异物取出术后异物的外观

  3A示异物外观,左端劈折;3B示异物横切面;3C示异物纵切面

  【讨论】

  本例患者骑电动车不慎撞到树上,树枝扎入眶内,致眶内壁骨折并进入筛窦和蝶窦。可能损伤眶尖部导致眶尖综合征。急诊清创缝合未能发现异物,植物性异物存留导致化脓性炎症和皮下脓肿。

  眶内异物伤约占眼眶外伤的1/6,植物性异物只占其中的一小部分,关于眼眶内植物性异物大多为个案报道。CT被认为是诊断眶内异物的金标准。眶内植物性异物的CT影像变化多样,CT值自-610 Hu至+200 Hu不等。故眶内植物性异物的诊断对眼科医生是一种挑战。

  复查文献将眶内植物性异物分为3期:急性期(约5 d以内)、亚急性期(8~29 d)和慢性期(>1个月),各期均有不同特点。

  ◇急性期:表现为比眶脂肪密度低的密度影,与空气相似,极易误诊为气泡口或脓液。

  ◇亚急性期:国外报道认为较眼外肌密度高;国内有报道认为:“低密度影,周围中等密度炎性软组织所包裹,边界不清”。

  ◇慢性期:表现为与软组织相同或高的密度影。

  由于植物性异物密度较低,故刚进入体内时(急性期),在CT软组织窗位表现为与空气相似的低密度影,如果继发眶部脓肿,易被误诊为脓液。因此有作者强调,在面部外伤时CT检查有“气泡”状影时,应当考虑到植物性异物的可能。应注意适当调整窗宽和窗位,可发现异物与空气及脂肪不同。

  本例行CT检查时已近20 d,属亚急性期,表现为中央为类空气样低密度影,外周为较眼外肌密度高的管状影像。结合术后测量异物长度、直径与CT测量对照,认为低密度影为树枝的中央疏松部分,周围管状高密度影为树枝的周围密质部分,而不是所谓的机化炎性软组织,与国内文献关于亚急性期的报道不相符。本例异物为柳枝,其外层为树皮,结构较为疏松,内层主干结构较为致密,体液及炎症反应物先浸润疏松的树皮及表层树干,使之表现为高密度影,而内部由于尚未完全被浸入,所以仍为低密度影,其内外密度的差异,导致了管状异物影的出现,为此例的典型影像。

  慢性期,由于异物在体内存留时间较长,组织液及炎症反应物已经全部浸入植物内部,使内外密度趋于一致,时间长后可发生包裹钙化,故表现为与软组织相同或高的密度影。此期异物密度与软组织相似,故需要与眶内软组织占位病变相鉴别。

  对于不同植物性异物不同时期的CT表现,Yamashita等曾做过一个试验,证明了不同植物性异物在不同时期,CT上表现均不尽相同。

  总之,植物性异物由于临床表现多样性及其CT影像在不同时间表现的多变性,一直是个诊断上的难题。如果有外伤病史,尤其与植物有接触的病史,应仔细清创,探查有无异物存留。如果伤后伤口迁延不愈或有窦道,行CT检查显示管状密度影或其他密度影时,应当高度怀疑植物性异物的可能,手术探查是最有效的治疗方法。

(来源:医脉通网) (责编:xhhdm)

发表评论】【加入收藏】【告诉好友】【打印此文】【关闭窗口
  • 下一条信息: 没有了
  • 更多关于(眶内植,眼眶)的信息
      热门图文

    流行的秋季眼妆化法

    国庆出游别戴隐形眼镜

    纹眼线需要注意的

    几款秋季流行眼妆画法
      健康新看点
      健康多视点
    ad推广
      图话健康
    点击申请点击申请点击申请点击申请点击申请点击申请点击申请
    华夏近视网39健康网眼病中国眼镜网新浪福建健康21世纪药店网千龙求医查疾病眼科时讯中华网健康频道国家健康网医脉通眼科
    中国风湿网眼科英才网蓝莓眼科网中国眼科网39五官科中华碑林医学网整形美容英智眼科中国眼网久久眼科网

    Copyright © 2007 中华眼科在线 网站备案序列号: 京ICP备08009675号
    本网站由五景药业主办 北京金鼎盛世医学传媒机构负责运营 国家医学教育发展中心提供学术支持
    服务电话:010-63330565 服务邮箱: [email protected]