精彩推荐:青光眼 白内障 近视 远视 散光 斜视弱视 角膜溃疡 角膜炎 沙眼 眼外伤 更多疾病
大众频道
专业频道
时尚频道
互动频道
疾 病 | 保 健 | 爱眼动态 | 名医名院
知 识 | 美 食 | 自检自测 | 爱眼纪事
资 讯 | 临 床 | 学 术 | 文 献
图 谱 | 医 患 | 继 教 | 家 园
五官之美 | 整 形 | 美 容
眼镜一族 | 妆 容 | 图 库
眼科在线 | 预留位置
眼科知道 | 在线咨询
  当前位置: 中华眼科在线 >> 医学频道 >> 前沿动态 >> 研究进展 切换到繁體中文 用户登录 新用户注册
继发青光眼视乳头筛板细胞外基质的免疫组化研究

http://www.cnophol.com 2008-10-17 16:08:28 中华眼科在线

  摘 要:目的:用免疫组化法研究人继发青光眼视乳头筛板细胞外基质的改变,探讨眼压增高对筛板的影响。方法:用免疫过氧化酶法(ABC)观察7例晚期继发青光眼筛板中的Ⅳ型胶原蛋白、层连接蛋白的分布。结果:与年龄相匹配正常成人视乳头相比,继发青光眼视乳头筛板前区和筛板部Ⅳ型胶原蛋白和层连接蛋白阳性染色物明显增多,筛板后陷、重叠和融合。结论:青光眼病理过程中眼压增高引起视乳头筛板细胞外基质发生特异性改变,从而使视乳头筛板的生物力学特性发生变化。

    The extracellular matrix of optic nerve head in secondary glaucoma

LI Yang

  (Beijing Institute of Ophthalmology,Beijing 100730)

  Abstract:To observe the change of the macromolecular components of extracellular matrix of lamina cribrosa in advanced secondary glaucoma.Immunoperoxidase (ABC) staining method was used to investigate the change of collagen type Ⅳ and laminin in the lamina cribrosa of 7 secondary glaucoma eyes.There were marked changes in the organization and amounts of extracellular matrix macromolecules.The compressed prelaminar region was filled with basement membrane material in addition to that associated with blood vessels.There was a marked increase in the material inside the core of the crobriform plates.The special changes of extracellualar matrix due to the IOP elevated in the glaucoma lead to the changes of biomechanics of crobriform plates.

  Key words:optic disc;extracellular matrix;glaucoma;immunohistochemistry▲

  开角型青光眼是一种常见的致盲眼病,在临床上其主要表现为伴有视杯进行性扩大的视神经萎缩和不可逆的视野缺损。迄今为止,青光眼的发病机理尚不清楚,主要有机械压迫和血管两种学说。眼压升高是引起青光眼视神经萎缩的常见危险因素,但其它一些因素诸如种族、年龄和血流异常等在青光眼的病理过程中也不容忽视[1]。近年来的研究表明,青光眼视神经损害的原发部位之一在视乳头筛板[2,3]。人开角型青光眼及动物实验性青光眼的视乳 头筛板均发生了明显变化,因此对该部位的研究受到了越来越多学者的关注。

  我们用免疫过氧化酶法对晚期继发青光眼视乳头筛板基底膜型细胞外基质进行观察研究,探讨眼压增高对筛板的影响。

  1 材料和方法

  1.1 一般资料

  男性(年龄20~40岁)7例(7只眼),因外伤或眼底病继发青光眼视力丧失而摘除眼球,在球后2mm处剪断视神经摘除眼球。

  1.2 标本处理

  沿视神经周围1mm环形剪下视神经标本。置4%多聚甲醛(PAF)固定4小时。磷酸盐缓

  冲液(PBS)冲洗后,常规脱水、透明、石蜡包埋。连续切片,厚度为10μm,切片常规脱蜡、下行水化。

  免疫过氧化酶染色(ABC法):经上述处理后,将切片放入3%过氧化氢中10分钟,以抑制内源性过氧化物酶反应。蒸馏水冲洗后,将切片放入1%胰蛋白酶溶液中(37℃)3~4小时,进行抗原修复。切片按常规ABC法进行免疫过氧化酶染色。第一抗体分别为1∶50鼠抗人Ⅳ型胶原蛋白单克隆抗体和1∶30兔抗人多克隆抗体,以缓冲液代替第一抗体为阴性对照。第二抗体分别为兔抗鼠和羊抗兔抗体。实验中所用抗体、ABC试剂盒及胰蛋白酶均为美国Sigma公司产品。其余试剂为国产分析纯试剂。

  2 结果

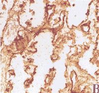
  晚期继发青光眼病人视乳头Ⅳ型胶原蛋白免疫过氧化酶染色结果表明,与正常成人视乳头细胞外基质相比[4],发生了明显改变。纵切观察,筛板前区后凸,神经束消失,大部分空间由Ⅳ型胶原蛋白阳性染色物填充。筛板部表现为筛板的塌陷、重叠和融合,胶原蛋白Ⅳ阳性反应密度明显增加,且进入到筛孔中。筛板后区为神经束膜Ⅳ型胶原蛋白染色密度增加(附图)。

         

附图:继发表光眼视乳头筛板IV型胶原蛋白免疫组化染色

  A:纵切观察 12× a:筛板前区 b:筛板 c:筛板后区

  B:筛板后区 100×

  层连接蛋白染色方式与Ⅳ型胶原蛋白相同。

[1] [2] 下一页

(来源:眼科 2000年第1期第9卷)(责编:duzhanhui)

下一条: 没有了
更多关于(眼睛,中华眼科在线,眼科,青光眼)的信息
  热门图文

给男士眼部护理提个醒

10款百元内好口碑眼霜

容祖儿最抢眼的橘色眼

秋日时尚烟熏妆
  健康新看点
  健康多视点
  图话健康

Copyright © 2007 中华眼科在线 网站备案序列号: 京ICP备08009675号
本网站由五景药业主办 北京金鼎盛世医学传媒机构负责运营 国家医学教育发展中心提供学术支持
服务电话:010-63330565 服务邮箱: [email protected]