精彩推荐:青光眼 白内障 近视 远视 散光 斜视弱视 角膜溃疡 角膜炎 沙眼 眼外伤 更多疾病
大众频道
专业频道
时尚频道
互动频道
疾 病 | 保 健 | 爱眼动态 | 名医名院
知 识 | 美 食 | 自检自测 | 爱眼纪事
资 讯 | 临 床 | 学 术 | 文 献
图 谱 | 医 患 | 继 教 | 家 园
五官之美 | 整 形 | 美 容
眼镜一族 | 妆 容 | 图 库
眼科在线 | 预留位置
眼科知道 | 在线咨询
  当前位置: 中华眼科在线 >> 医学频道 >> 继续教育 >> 网上学习 切换到繁體中文 用户登录 新用户注册
PRK术后角膜基质内Ⅰ型和Ⅲ型胶原的mRNA表达

http://www.cnophol.com 2008-10-17 15:55:44 中华眼科在线

  摘 要:目的:从分子水平探讨PRK术后前基质内Ⅰ型和Ⅲ型胶原的mRNA表达情况。方法:24只新西兰白兔,双眼行-5.0D近视治疗。于术后3天、1、2、3、4周取下角膜,用原位杂交方法观察Ⅰ型和Ⅲ型胶原的基因表达情况。结果:所有眼Ⅰ型胶原的mRNA表达均为阳性。术后2周时,Ⅲ型胶原mRNA表达阳性,到4周时表达较明显。讨论:PRK术后上皮下混浊与新生胶原的形成有关,且Ⅲ型胶原是新生胶原的主要成分。

    Expression of type Ⅰ and type Ⅲ collagen mRNA in anterior stroma after PRK

QI Yan-hua(Department of Ophthalmology,The second Hospital of Harbin Medical University,Harbin150086)

  Abstract:Objectsive:To study the expression of type Ⅰ and type Ⅲ collagen mRNA in anterior stroma after PRK.Method:24 new Zealand rabbits were operated for myopic ablation of 5.0 diopters.Corneas were studied for the genes expression of type Ⅰ and type Ⅲ collagen with in situ hibridization.Results:We observed the positive expression of type Ⅰ collagen mRNA at 2 weeks,and more evident at 4 weeks.Conclusion:The subepithelial haze was related with formation of new collagen,and type Ⅲ collagen is the major component.

  Key words:laser surgery;cornea;collagen;RNA,messenger▲

  准分子激光屈光性角膜切削术(photorefractive kertectomy,PRK),由于其切削组织精确、安全性好而成为目前临床治疗中低度近视眼的主要方法。PRK术后早期角膜的愈合过程主要包括上皮再生、上皮下胶原形成、成纤维细胞功能活跃等[1,2]。PRK术后角膜上皮下混浊的形成直接影响术后角膜的稳定性、透明性。为了进一步了解角膜基质内胶原纤维的变化,我们从分子水平探讨PRK术后早期角膜基质内Ⅰ型和Ⅲ型胶原的mRNA表达情况,为探讨PRK术后上皮下混浊的机制及治疗提供理论基础。

  1 材料和方法

  新西兰白兔24只,体重2~2.5Kg,经裂隙灯检查无眼部病变。

  1.1 手术方法

  4只兔(8只眼)作为正常对照组,其余20只兔(40只眼)经耳缘静脉注射2%戊巴比妥钠进行全身麻醉(每公斤体重1.5ml),并用1%地卡因滴眼进行表面麻醉。刮除7mm直径角膜上皮后,输入-5.0D的治疗程序进行切削治疗,切削深度为67μm,双眼均治疗,术毕双眼涂抗菌素眼药膏。使用的仪器是美国Chiron-Technolas keracor 116准分子激光治疗机。每个脉冲能量密度为120mJ/cm2,频率为10Hz,光学消融直径为7mm。

  1.2 术后观察

  术后每天用手持裂隙灯显微镜观察角膜上皮愈合情况,并排除角膜感染的可能。于术后3天、1、2、3、4周各取兔4只,经2%戊巴比妥钠全身麻醉后,摘除眼球,沿角巩膜缘剪下角膜,立即放入-197℃液氮中保存。

  1.3 实验方法

  ①试剂:Ⅰ、Ⅲ型胶原cDNA质粒由美国学者何天源博士赠送。非放射性DNA标记及试剂盒为Boehringer mannheim公司产品,地高辛标记探针[9]。配预杂交液、缓冲液Ⅰ、Ⅱ和Ⅲ。②步骤:冰冻切片厚度3~4μm,置于经DEPC水处理的载玻片上,室温干燥。4%多聚甲醛固定5分钟,PBS冲洗3次,室温下预杂交1小时。杂交液37°过夜。然后顺序以2×SSC、1×SSC、0.5×SSC各15分钟,室温摇床洗片。2%绵羊血清封闭30分钟。1∶5000地高辛抗体结合,室温下2小时。用缓冲液Ⅰ和Ⅲ洗片二次。以新鲜配制硝基蓝四氮唑(NBT)与5-溴4-氯3-吲哚磷酸盐显色液显色,室温下避光5~8小时,水冲洗,苏木精-伊红复染,封片。

  2 结果

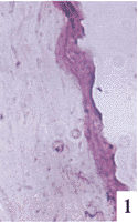
  原位杂交结果显示,所有切片上Ⅰ型胶原的mRNA表达都很丰富,mRNA存在于上皮细胞间和成纤维细胞的胞浆中。术后3天和1周时,切片上Ⅲ型胶原的mRNA表达阴性,术后2周时,上皮下可见Ⅲ型胶原的mRNA阳性表达,术后4周时,前基质内Ⅲ型胶原的mRNA表达较丰富,见图1~3。

图 1 正常对照组角膜Ⅲ型胶原mRNA表达阴性

图 2 PRK术后2周,Ⅲ型胶原mRNA表达阳性

图 3 PRK术后4周,Ⅲ型胶原mRNA表达阳性

[1] [2] 下一页

(来源:眼科 1999年第4期第8卷)(责编:duzhanhui)

下一条: 没有了
更多关于(眼睛,中华眼科在线,眼科,角膜)的信息
  热门图文

给男士眼部护理提个醒

10款百元内好口碑眼霜

容祖儿最抢眼的橘色眼

秋日时尚烟熏妆
  健康新看点
  健康多视点
  图话健康

Copyright © 2007 中华眼科在线 网站备案序列号: 京ICP备08009675号
本网站由五景药业主办 北京金鼎盛世医学传媒机构负责运营 国家医学教育发展中心提供学术支持
服务电话:010-63330565 服务邮箱: [email protected]