精彩推荐:青光眼 白内障 近视 远视 散光 斜视弱视 角膜溃疡 角膜炎 沙眼 眼外伤 更多疾病
大众频道
专业频道
时尚频道
互动频道
疾 病 | 保 健 | 爱眼动态 | 名医名院
知 识 | 美 食 | 自检自测 | 爱眼纪事
资 讯 | 临 床 | 学 术 | 文 献
图 谱 | 医 患 | 继 教 | 家 园
五官之美 | 整 形 | 美 容
眼镜一族 | 妆 容 | 图 库
眼科在线 | 预留位置
眼科知道 | 在线咨询
  当前位置: 中华眼科在线 >> 医学频道 >> 临床医学 >> 论文汇集 切换到繁體中文 用户登录 新用户注册
视网膜中央动脉阻塞后获得性视乳头前动脉环

http://www.cnophol.com 2008-9-11 15:40:38 中华眼科在线

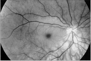
  一位49岁的妇女因右眼视力突然丧失转来做进一步诊治。视力丧失发生在做眼科检查的前1天。右眼无光感,根据瞳孔传入障碍、视网膜后极部白色水肿并伴有樱桃红点(图1)这些典型表现诊断为视网膜中央动脉阻塞。双侧眼底检查同时显示了典型的倾斜视盘综合征的特征。荧光血管造影显示动静脉转换时间的明显延迟。球后注射血管扩张剂后视力没有提高。广泛的系统检查无阳性发现。2年后患者经历了1次一过性脑中风,这次的系统检查显示抗核抗体水平增高。得出结论她患有胶原血管病。距初次检查3年后,眼底检查发现在视盘的下部有视乳头前血管环(图2)。荧光血管造影显示在动脉期此环被充盈(图2)。

图1 左,右眼的无赤光图像显示倾斜的视盘和具有一符合樱桃红点的暗斑的视网膜后极部白色水肿。右,荧光血管造影(48秒)显示动静脉转换时间的明显延迟

图2 3年后。左,眼底显示已经在视盘下缘发展的视乳头前血管环(箭头)。注意眼底的下部呈现低色素,这在倾斜视盘综合征中很典型。右,荧光血管造影(30秒)显示动静脉转换时间的持续延迟及此环在动脉期的充盈

  评论

  视乳头前动脉环很少见并被认为是先天性的1。它们也许是视网膜中央动脉阻塞的一个原因,可能由于动脉环的血栓形成1~3,但就我们所知而言,它们还没有被描述为视网膜中央动脉阻塞后的结果。最近,有1例获得性视乳头前血管环的报道,是1例最初发现不明原因的多发棉絮状斑的患者4。在本病例中,动脉环向一具有先天倾斜视盘综合征的患者眼底的低色素区发展。不幸的是,视乳头前动脉环发生在一个具有视盘先天异常和视网膜中央动脉阻塞的患者,其发病机制还不清楚。

(来源:美国医学会眼科杂志中文版 1999年第3期第11卷)(责编:duzhanhui)

下一条: 没有了
更多关于(眼睛,眼科,中华眼科在线,视网膜)的信息
  热门图文

神采飞扬的清透诱人眼

冷酷华丽的黑色美妆

妆眉弄眼速成电眼娃娃

媚妆之新古典秋冬眼妆
  健康新看点
  健康多视点
  图话健康

Copyright © 2007 中华眼科在线 网站备案序列号: 京ICP备08009675号
本网站由五景药业主办 北京金鼎盛世医学传媒机构负责运营 国家医学教育发展中心提供学术支持
服务电话:010-63330565 服务邮箱: [email protected]