精彩推荐:青光眼 白内障 近视 远视 散光 斜视弱视 角膜溃疡 角膜炎 沙眼 眼外伤 更多疾病
大众频道
专业频道
时尚频道
互动频道
疾 病 | 保 健 | 爱眼动态 | 名医名院
知 识 | 美 食 | 自检自测 | 爱眼纪事
资 讯 | 临 床 | 学 术 | 文 献
图 谱 | 医 患 | 继 教 | 家 园
五官之美 | 整 形 | 美 容
眼镜一族 | 妆 容 | 图 库
眼科在线 | 预留位置
眼科知道 | 在线咨询
  当前位置: 中华眼科在线 >> 医学频道 >> 临床医学 >> 病例分析 切换到繁體中文 用户登录 新用户注册
1例14岁眼球黑变病患者患脉络膜黑色素瘤

http://www.cnophol.com 2008-9-11 15:29:13 中华眼科在线

  1例14岁男性少年患左眼球黑变病及继发青光眼,已有2年逐渐扩大的眼底病损史。眼部检查显示左眼巩膜表层有弥漫性过度色素沉着及左眼虹膜呈平滑的、天鹅绒样增厚及过度色素沉着。检眼镜检查发现弥漫性脉络膜色素沉着和位于黄斑区并围绕视神经的色素性团块。超声检查显示一个声学挖空(acoustically hollow)病损伴巩膜凹陷性后弯及脉络膜陷凹。根据临床及超声检查所见此眼球黑变病的少年患者被诊断为脉络膜黑色素瘤。摘除了眼球。病理组织学检查显示为眼球黑变病伴弥漫性葡萄膜黑变病及无黑色素性脉络膜恶性黑色素瘤。很明显脉络膜黑色素瘤起源于先前存在的脉络膜痣。甚至眼球黑变病的少年患者也应进行定期随诊,以早期发现葡萄膜黑色素瘤。

  先天性眼球黑变病是一种异常,它以巩膜和葡萄膜弥漫性褐色的黑色素细胞增生为特征。在先天性眼-皮肤黑变病(太田痣),除了眼受累以外有三叉神经分布区的皮肤过度色素沉着。在白种人群中,眼球黑变病及眼-皮肤黑变病大约仅侵及0.04%的人群1。已经充分地认识到眼球黑变病和眼-皮肤黑变病与发生葡萄膜2、眼眶3、脑膜及脑4,5的黑色素瘤的联系。这些受累组织黑色素细胞数量增多,提供了发生黑色素瘤易感性的基础。

  葡萄膜黑色素瘤的平均发病年龄为55岁,在儿童罕见6。一项报道表明,连续3 706例葡萄膜黑色素瘤的患者中,仅40例(1.1%)年龄小于20岁7。本文描述了一例14岁患者患眼球黑变病及脉络膜黑色素瘤。

  病 例 报 告

  1名白人男婴生后9天被发现左眼表层巩膜有色素沉着,符合眼球黑变病。3岁时同侧眼发生青光眼,予以局部药物治疗。12岁时发现该患者左眼脉络膜有一色素沉着病变,当时厚度为1.9mm。在其后的2年内,该病损逐渐增大至4.9mm厚,此情况促使我们对患者安排治疗。

  患者在14岁接受我们初次检查时,最佳矫正视力为右眼20/20,左眼20/100。双眼眼压15mmHg。裂隙灯活组织显微镜检查发现左眼巩膜表层有斑状棕色色素(图1)及左眼虹膜呈光滑的、天鹅绒样增厚和大量色素沉着。左侧瞳孔环肥大,对散瞳剂反应不良。房角为开角,但有密集的色素沉着伴有许多虹膜突。检眼镜检查发现脉络膜弥漫性过度色素沉着。在黄斑区和围绕视盘有一10mm×10mm,估计厚度3.0mm的色素性脉络膜团块。未发现玻璃疣、表面的橙色色素沉着及网膜下积液。视盘显示为晚期青光眼性损害,呈明显的苍白色,杯盘比为0.8。由于瞳孔不能充分散大,不能进行适当的眼底照相。右眼正常。

图1 眼前节照片显示鼻侧巩膜蓝灰色色素沉着

  超声检查(A和B扫描)显示一个声学挖空病损,伴有脉络膜陷凹及巩膜凹陷性后弯,厚度为4.9mm。肿瘤厚度的临床估计与超声检查测量的差异可能是由于肿瘤迅速生长导致后巩膜凹陷性后弯所致。长期青光眼病史引起晚期青光眼杯,可能对产生后巩膜凹陷性后弯起作用。

  脉络膜黑色素瘤的诊断确立后,患者摘除了眼球。植入羟基磷灰石植入物。患者被随诊了60个月,没有眼眶或中枢神经系统肿瘤或全身性转移瘤的迹象。

  对摘除眼球的病理学检查所见显示弥漫性葡萄膜黑变病,在前部特别显著并见于后部脉络膜。虹膜(图2和图3)和睫状体(图3)有大量色素沉着并且由于具有不明显的核特征的痣细胞浸润而大大地变厚。大量黑色素细胞增生阻塞了大部分前房角,但部分小梁网仍是开放的(图3)。在后部增厚的和有大量色素沉着的脉络膜上,可见到一个轻度色素沉着的卵圆形肿瘤病灶(图4)。肿物大小为7mm×6mm×3mm。显微镜检查显示轻度色素沉着的肿瘤病灶为梭形细胞黑色素瘤,由A型及B型梭形细胞的合胞体组成,具有椭圆形的核及明显的核仁(图5)。在40个高倍视野中找到2个有丝分裂相。有几个血管襻,但未观察到坏死及淋巴细胞浸润。围绕黑色素瘤的痣细胞为丰满的多面体,含有大量浓密的色素性细胞浆,用漂白切片显示出不明显的核特征(图6)。有明显的脉络膜、巩膜和表层巩膜色素沉着,符合眼球黑变病(图4)。

图2 被摘除的眼球显示前部葡萄膜被良性黑色素细胞弥漫浸润。细胞浸润完全覆盖并阻塞房角,掩盖了小梁网。图下方可见大大增厚的虹膜切面

图3 眼前节,眼球黑变病。虹膜和睫状体基质增厚,大量色素沉着。一个舌形色素组织伸延越过小梁网。在左侧,巩膜表层也可看到类似的色素组织(苏木精-伊红染色,原大×5)

图4 脉络膜黑色素瘤由眼球黑变病发展而来。由致密的色素增生的色素痣包绕的轻度色素沉着的卵圆形病变,很明显是梭形细胞黑色素瘤。在后部巩膜表层内可以看到广泛的线形色素沉着符合眼-皮肤黑变病

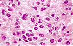
图5 轻度色素沉着的黑色素瘤由A型及B型梭形细胞的合胞体组成(苏木精-伊红染色,原大×250)

图6 围绕梭形细胞黑色素瘤的痣细胞的脱色切片显示有丰富的细胞浆及不明显的核特征的细胞。与图5的黑色素瘤相比,有少量细胞浸润(漂白,原大×250)

[1] [2] 下一页

(来源:美国医学会眼科杂志中文版 1999年第2期第11卷)(责编:duzhanhui)

下一条: 没有了
更多关于(眼睛,眼科,中华眼科在线)的信息
  热门图文

神采飞扬的清透诱人眼

冷酷华丽的黑色美妆

妆眉弄眼速成电眼娃娃

媚妆之新古典秋冬眼妆
  健康新看点
  健康多视点
  图话健康

Copyright © 2007 中华眼科在线 网站备案序列号: 京ICP备08009675号
本网站由五景药业主办 北京金鼎盛世医学传媒机构负责运营 国家医学教育发展中心提供学术支持
服务电话:010-63330565 服务邮箱: [email protected]