眼睑粘蛋白性外分泌癌
美国医学会眼科杂志中文版 1999年第2期第11卷 照片/短文
作者:翟长斌
Mucinous Eccrine Carcinoma of the Eyelid
james R. Boynton,MD; Walter markowitch, Jr,MD
患者87岁,女性,可见左下睑有一红色肿块,左上睑亦有一较小结节(图1)。5年前她在同一部位上曾切除一个类似的病变,诊断为未分化癌。将上、下睑全厚层切除。冰冻切片检查结果显示所有边缘均有肿瘤组织。2次切除手术清除各边缘。
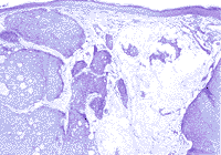
肿瘤是由不同大小的实性或筛状小叶集聚组成,并有丰富的细胞外和细胞内粘蛋白(图2)。另有少量管状结构。肿瘤细胞呈卵圆形、立方形或柱状(图3)。在纤维性基质内有淋巴细胞、浆细胞和少量含铁血黄素。粘蛋白呈过碘酸-Schiff和奥辛绿(alcian green)阳性,而耐淀粉酶(图4)。经免疫过氧化物酶染色,肿瘤细胞对癌胚抗原(CEA)呈强阳性(图5)。

图1 分叶状红色向外生长的肿瘤伴有明显的卫星病变(箭头)

图2 粘蛋白性癌。真皮内有大小不等、不规则形状的小叶,与一片含粘蛋白的肿瘤细胞团相邻(苏木素-伊红染色,原大×40)

图3 粘蛋白性癌。筛状小叶聚集显示在淡染的细胞内及细胞外间隙有粘蛋白(苏木素-伊红染色,原大×400)
[1] [2] 下一页 |