精彩推荐:青光眼 白内障 近视 远视 散光 斜视弱视 角膜溃疡 角膜炎 沙眼 眼外伤 更多疾病
大众频道
专业频道
时尚频道
互动频道
疾 病 | 保 健 | 爱眼动态 | 名医名院
知 识 | 美 食 | 自检自测 | 爱眼纪事
资 讯 | 临 床 | 学 术 | 文 献
图 谱 | 医 患 | 继 教 |
五官之美 | 整 形 | 美 容
眼镜一族 | 妆 容 | 图 库
眼科在线 | 预留位置
眼科知道 | 在线咨询
  当前位置:当前位置: 中华眼科在线 → 医学频道 → 临床医学 → 病例分析 → 正文 切换到繁體中文 用户登录 新用户注册
葡萄膜渗漏综合症一例

http://www.cnophol.com 2017-10-18 10:37:13 中华眼科在线

贾某某,男,61岁

Mr.Jia, male, 61 years old

一、病例特点

General Information

病史

现病史:

患者于3个月前无明显诱因出现右眼视物不清,伴眼红、异物感,无眼痛,无复视及视物变形,无黑影遮挡,于当地医院检查,诊断为结膜炎,滴眼药治疗(具体不详),之后右眼视物模糊逐渐加重,出现上方黑影遮挡,就诊于我院,门诊诊断为右眼视网膜脱离,为进一步治疗收入院。

既往史:

血糖偏高2年

风湿性关节炎1年,中药治疗

否认其他全身病

个人史:

吸烟40支/天×40年,饮酒半斤/天×40年

过敏史:否认

家族史:

否认家族性遗传病史

Medical History

Present Medical History:

The patient suffered from vision decrease in the right eye for three months. Initially, he had red eye and foreign body sensation without pain, distortion or vision block. He was diagnosed as conjunctivitis and administratedsome antibiotic eye drops in a local clinic, but the symptoms remained. The vision decreased gradually in the right eye, and vision block in superior visual field developed. He was admitted for further treatment options.

Past Medical History:

Hyperglycemia for 2 years.Rheumatoid arthritis for 1 year , currently on traditional Chinese medicine therapy

Personal History:

Smoking :40 Cigarettes/ day ×40 years.

Drinking :250g / day×40 years

Family history:

Unremarkable.

眼部检查

右眼:

Vod 0.1,IOP 12.0mmHg,1米光定位:右上,上方,左上(-),余方向(+),晶状体后囊下混浊,玻璃体条带状混浊,眼底模糊,坐位:下方4点-8点位周边部视网膜脱离呈球形隆起;卧位:下方视网膜脱离变扁平,后极部视网膜脱离累及黄斑;颞上方远周边部可见一圆形隆起。

左眼:

Vos 0.6 ,IOP 14.7mmHg,晶状体后囊下轻混,玻璃体条带状混浊,眼底:视盘界清色淡,C/D 0.7,黄斑区未见明显异常,周边视网膜未见脱离。

Ocular examinations

Right eye:

Vod 0.1, IOP 12.0mmHg. A superior visual field defect, subcapasular opacity of the lens, and mild vitreous opacity were noticed Fundusexamination in upright position found bullous retinal detachment at 4-8o’clock in the peripheral portion of the retina, whereas in the supine positionthe retinal detachment shifted to the posterior part of the retina involving the macular. No retinal hole was found. A protuberant lesion was noticed in the temporal-superiorquadrant of the peripheral retina.

Left eye:

Vos 0.6, IOP 14.7mmHg. There was subcapasular opacity of the lens and mild vitreous opacity. The C/D ratio was 0.7. No significant abnormality was found.

辅助检查

Accessory Examination:

图1 右眼彩色眼底图像

图2 B超:右眼视网膜脱离,脉络膜脱离?

Fig 2 B- scan showed retinal detachment in the right eye, and choroidal detachment was suspected in the temporal-superior part.

图3 CDI:右眼玻璃体腔内可见Y形底端与视乳头相连隆起条索,其内可见红蓝色血流信号。颞上方可见半圆形隆起,基底宽20.75px,高12px,边界清楚,内部无回声,未探及红蓝血流信号及能量信号,隆起表面可见血流信号,与后极部隆起在基底后缘相连。

Fig3 CDI showed a Y-shapedstrip with rich blood supply connecting to the optic papilla. In the temporal region. There was a semicircular bulge with a base of 20.75px×12px.Blood flow signals were not visible on the surface of the bulge, and was continuous with the uplift of the posterior pole at the base margin.

图4 UBM:前方中央深度1.94mm,全周小梁虹膜夹角开放,全周睫状体水肿脱离,颞上方睫状体见较大囊腔,内无回声.

Fig 4 UBM showed circumferential ciliary body edema and a localized ciliary cyst in the temporal-superior part. No echo sound was detected inthe cavity.

图5 OCT:右眼黄斑色素上皮病变,神经上皮脱离

Fig5 OCT revealed RPEirregularity in the macula and retinal detachment.

图6:造影所见

右眼:FFA:动静脉充盈时间略延迟,视盘周围、后极部及黄斑周围血管弓附近可见多灶性小类圆形,条形低荧光斑,边界清晰,部分融合成片。随时间延长,低荧光斑周未见着染。视盘边界不清,颞上圆形弱荧光,边界清楚,下方网膜血管漂浮(网脱),晚期:视盘强荧光,颞上圆形弱荧光呈稍强荧光,ICGA:相应部位始终类圆形低荧光,晚期无变化。

左眼:FFA:中周可见大片斜行脉络膜褶皱,黄斑区可见片状强荧光,晚期:脉络膜褶皱不变。黄斑区强荧光片退行,ICGA黄斑区可见小片荧光遮蔽(色素堆积?)

Right eye: The dye transit was slightly retarded. There were multiple round-shaped, well demarcated hypofluorescence spots in the posterior portion of the retina, with no staining in the late phase. The margin of the optic disc wasblurred and was hyperfluorescen in the late phase. In ICGA, the hypofluorescence spots remained unchanged from the beginning to the end.

Left eye: FFA showed clusters of choroid folds in the mid-peripheral retina. Two hyperfluorescent spotsin the macular was shown in the early phase, laterthe hyperfluorescence gradually diminished.

初步诊断

右眼渗出性视网膜脱离

右眼脉络膜脱离?

双眼葡萄膜渗漏综合症?

双眼老年性白内障

Impression

Exudative retinal detachment OD

Choroidal detachment OD?

Uveal effusion syndrome OU?

Age-related cataract OU

二、查房记录

Discussion

程朝晖主治医师:

患者单眼发病,视力逐渐下降,近期出现眼前黑影遮挡。眼科检查:双眼晶状体后囊下混浊,右眼明显,眼底:右眼视网膜脱离随体位改变,未查见裂孔,颞上方周边部可见一边缘整齐的隆起病灶;左眼底视乳头杯盘比大,黄斑区未见明显异常,视网膜平伏。根据眼底表现,右眼为渗出性视网膜脱离,眼底颞上方局限性隆起因玻璃体混浊无法看清,为排除占位性病变,遂行B超,彩超,眶CT检查,结果提示该隆起性病变为脉络膜脱离。目前患者右眼为渗出性视网膜脱离合并局限性脉络膜脱离,双眼老年性白内障。右眼渗出性视网膜脱离原因待查。

Dr. Cheng Zhao-Hui

The patient had an onset involving only single eye and gradual progression . Eye examination revealed subcapasular opacity of the lens in both eyes with the right eye more affected. Fundus examination in the right eye showed retinal detachment shiftingwith the position and no retinal tear or hole was found. In the temporal-superior portion of the retina of the right eye, there was a localized protrusion blocked by nonclear optical media.The contralateral eye was normal except a relatively large cup. The above findings suggests exudative retinal detachment in the right eye. However, in order to exclude the possibility of any occupying lesion inthe temporal-superior portion, further investigation by B ultrasound scan, CDI and orbital CT are required for the patient. Theresults of these accessory examinations suggestchoroidal detachment.The diagnosis of this patientis exudative retinal detachmentcombined with localized choroidal detachment in the right eye and age-related cataract in both eyes. The cause of the exudative retinal detachment needs to be found out.

张珑俐副主任医师:

该患者眼底检查见右眼转移性视网膜脱离,脱离的视网膜表面光滑,对称,无固定褶皱,未见视网膜裂孔。诊断为渗出性视网膜脱离。渗出性视网膜脱离是一种继发性视网膜脱离,常因视网膜脉络膜肿瘤、炎症、血管病以及全身血液和血管性疾病引起。其发生机制主要是视网膜毛细血管和色素上皮屏障功能受到破环,导致血浆和脉络膜液体大量渗出和聚集在视网膜下形成渗出性视网膜脱离。该患者眼底表现和眼底造影检查可基本排除肿瘤、血管性病变和炎症性病变,患者全身风湿性关节炎1年,未用激素治疗,且眼底无炎症性表现,因此系统性原因亦可排除。应考虑葡萄膜渗漏综合症,该病眼底表现为转移性视网膜脱离,发病原因仍不清楚,可能与巩膜组织异常和涡静脉回流受阻有关。应行巩膜厚度检测。

Dr. Zhang Longli

The fundus examination of the right eye displayed shifting retinal detachment.The detached retina was smooth and symmetrical, with no fold or retinal hole. Exudative retinal detachment is usually secondary to retinal choroid tumor, inflammation, vascular disease or systemic blood and vascular diseases. The mechanisms relies on disfunction of retinal capillaries and the pigment epithelial barrier, leading to plasma and choroidal effusion and accumulation of fluid in the subretinal space. Based on the fundus examinations and FFA of the right eye, the possibility of tumor, inflammation or vascular disease could be excluded. Although the patient suffered from rheumatoid arthritis for one year, he was not on corticosteroidstherapy. There is no evidence showing the concomitant systemic disease is relevant of the fundus disease. The differential diagnosis also include uveal effusion syndrome, which is characteristic by exudative retinal detachment.The mechanism of uveal effusion syndrome is still unknown. It may be caused by scleral abnormalities or vortex venous obstruction. Measurement of the sclera thickness can help to establish the diagnosis.

张晓敏副主任医师:

葡萄膜渗漏又称睫状脉络膜渗漏,以特发性浆液性脉络膜、睫状体和视网膜脱离为特征。该病原因不明,临床分为特发性和继发性,前者为正常眼球,后者为真性小眼球,正常眼球又可分为巩膜异常和巩膜正常两型。临床表现为随体位移动的半球状或球形视网膜脱离,常在眼底下方,无裂孔且眼压基本正常;视网膜表面光滑,一般无固定褶皱,很少发生增殖性玻璃体视网膜病变。眼底荧光造影晚期视网膜色素上皮增生呈豹斑状,多位于后极部,无染料渗漏。UBM检查可见睫状体和脉络膜脱离。该患者体征和辅助检查符合葡萄膜渗漏。

Dr. Zhang Xiaomin

Uveal effusion syndrome is also known as ciliary choroidal uveal leakage, and is characterized by idiopathic serous detachment of choroid, ciliary body and neurosensary retina. Theetiology is stillunclear. Clinically it’s classified as idiopathic and secondary uveal effusion. The idiopathic type usually presents normal eyeball, whereas the secondary type is related to pure microphthalmia. The former type is further divided into two subtypes, one with normal sclera and the other with abnormal sclera. The clinical feature of this disease is shifting spherical or semiglobular retinal detachment, frequently involving the inferior portion of fundus. The surface of the detached retina is smooth, no fixed fold and rarely forms PVR. Angiographic feaures include leopard spot in the posterior portion of the fundus, corresponding to RPE proliferation. Staining and leakage are usually absent . Ultrasound biomicroscopy can detect ciliary body and choroidal detachment. The signs and accessory examination of this patient strongly indicate uveal effusion syndrome.

李筱荣主任医师:

渗出性脉络膜脱离可以由多种情况导致(表1),包括内眼术后低眼压,巩膜扣带术后,巩膜炎等。此外,也可在健康成人无明显原因情况下发生单眼或双眼自发性脉络膜脱离。此种情况称为特发性脉络膜渗漏综合征。在这类患者可能存在如下情况:表层巩膜血管扩展,Schlemm管内见血性液,眼压可以正常,可见少量玻璃体细胞,视网膜下液随体位改变的非孔源性视网膜脱离,视网膜下液中蛋白含量可以超过正常血清浓度二至三倍,脑脊液蛋白升高(见于半数病人),临床过程迁延,病情可自行缓解或加重,对皮质类固醇、抗代谢药物及放液和巩膜扣带等治疗无明显反应。

该病潜在发病机制可能巩膜或涡静脉先天异常导致脉络膜静脉引流异常。在赤道部多处部分板层巩膜切开、切除及涡静脉减压可能有效。术中联合晶状体超声乳化以便于术中进一步检查眼底。

Dr. Li Xiaorong

Exudative detachment of the choroid and ciliary body may be caused by a variety of disease states(Table 1), eg, postoperative hypotony, scleral buckling procedures, scleritis, etc. In addition, it may occur spontaneously with no apparent cause in one or both eyes of healthy individuals. These patients are defined as having the idiopathic uveal effusion syndrome.

In this latter group of patients other findings which may be present include: dilation of episcleral blood vessels, blood in Schlemm's canal, normal intraocular pressure, few vitreous cells, nonrhegmatogenous retinal detachment with shifting of subretinal fluid, elevation of subretinal fluid protein to two or three times the normal plasma level, elevation of cerebrospinal fluid protein (50% cases), protracted clinical course with remissions and exacerbations, and poor response to treatment with corticosteroids, antimetabolites, drainage of subretinal exudate and scleral buckling.

Its underlying cause was a congenital anomaly of the sclera and vortex veins that resulted in intermittent obstruction of the flow of the venous outflow of the posterior uveal tract. It may be helpful by multiple segmental equatorial partial thickness sclerectomies and sclerostomies with decompression of the vortex veins. Besides, the cataract was severe in the right eye, phacoemusification and intraocular lens implantation should be combined with the UES surgery in order to facilitate further examination of the fundus with BIO.

三、治疗经过

Treatment and Outcome

2010年12月8日:右眼巩膜探查+巩膜开窗术+白内障超声乳化吸除术+人工晶状体植入术

术中:见巩膜瓷白色增厚,于颞下、鼻下巩膜开窗,见清亮液体渗出,取部分巩膜组织送病理检查

术后第1天:Vod 0.15,IOP 8.8mmHg;Vos 0.6,IOP 9.1mmHg。右眼底颞上方脉络膜隆起度减小,下方视网膜脱离幅度略有下降。

术后1周: Vod 0.15,IOP 5.5mmHg;Vos 0.6,IOP 8.1mmHg。右眼颞上方脉络膜脱离基本消失,下方视网膜脱离幅度减少。

The right eye underwent operative scleraexploration combined with sclerectomies. Phacoemusification combined with IOL implantation was performed simultaneously.

A piece of sclera tissue was collected during the operation for pathologic examination .

PE on the first daypost-operation:

Vod 0.15,IOP 8.8mmHg;Vos 0.6,IOP 9.1mmHg

The choroidal detachment in the temporal-superior portiondecreased in size. The retinal detachmentimproved.

PE at one week post-operation:

Vod 0.15,IOP 5.5mmHg;Vos 0.6,IOP 8.1mmHg

The choroidal detachment disappeared and the subretinal fluid further decreased.

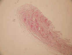
图7 病理检查结果:巩膜胶原化及灶性淋巴细胞浸润。

Fig7 Pathologic results showed focal lymphocytes infiltration.

表一:葡萄膜渗漏

TABLE 1: UVEAL EFFUSION

 

 

(来源:天津医科大学眼视学院) (责编:cnophol)

发表评论】【加入收藏】【告诉好友】【打印此文】【关闭窗口
  • 下一条信息: 没有了
  • 更多关于(视网膜脱离的分类,中华眼科在线)的信息
      热门图文

    10个小窍门和“黑眼圈

    美瞳与隐形眼镜有什么

    开眼角还嫌眼不够大?

    眼部、面部三招教你KO
      健康新看点
      健康多视点
    ad推广
      图话健康
    点击申请点击申请点击申请点击申请点击申请点击申请点击申请点击申请点击申请
    39健康网眼病新浪福建健康21世纪药店网医脉通眼科新浪厦门健康合肥爱尔眼科一心医药集团重庆桐君阁湖北眼科网武汉眼科医院
    天津眼科医院武汉民生耳鼻喉医院中国近视网中国卫生人才网39五官科爱尔英智眼科康华眼科网久久眼科网阿里医药眼科网山水画

    Copyright © 2007 中华眼科在线 网站备案序列号: 京ICP备08009675号
    本网站由武汉五景药业主办