精彩推荐:青光眼 白内障 近视 远视 散光 斜视弱视 角膜溃疡 角膜炎 沙眼 眼外伤 更多疾病
大众频道
专业频道
时尚频道
互动频道
疾 病 | 保 健 | 爱眼动态 | 名医名院
知 识 | 美 食 | 自检自测 | 爱眼纪事
资 讯 | 临 床 | 学 术 | 文 献
图 谱 | 医 患 | 继 教 |
五官之美 | 整 形 | 美 容
眼镜一族 | 妆 容 | 图 库
眼科在线 | 预留位置
眼科知道 | 在线咨询
  当前位置:当前位置: 中华眼科在线 → 医学频道 → 眼科图谱 → 病理图谱 → 正文 切换到繁體中文 用户登录 新用户注册
眼科病例高清图片

http://www.cnophol.com 2017-9-30 13:56:09 中华眼科在线

▼两个不同的患者,同样的OCT表现

实用贴:眼科病例高清图片 

▼人工晶体移位(散瞳后,后部反光法 )

实用贴:眼科病例高清图片 

▼人工晶体移位(直接焦点照明法)

实用贴:眼科病例高清图片 

▼人工晶体移位(弥散光)

实用贴:眼科病例高清图片 

▼蚕蚀性角膜溃疡(弥散光)

实用贴:眼科病例高清图片 

▼结膜囊肿(弥散光,宽裂隙,30度)

实用贴:眼科病例高清图片 

实用贴:眼科病例高清图片 

实用贴:眼科病例高清图片 

实用贴:眼科病例高清图片 

实用贴:眼科病例高清图片 

实用贴:眼科病例高清图片 

▼晶体脱位(弥散光) 注:晶体脱位,包括人工晶体移位,在不是混浊很明显的情况下,需要散大瞳孔,弥散光,后部反光法(裂隙打在虹膜一侧,裂隙灯臂夹角为零拍摄),还可以直接焦点照明打到脱位对侧。

实用贴:眼科病例高清图片 

▼晶体异物(弥散光),这张图片欠佳,看看别的战友们有什么拍晶体异物的好建议

实用贴:眼科病例高清图片 

▼晶体前囊(裂隙背景光下)

实用贴:眼科病例高清图片 

▼晶体前囊(裂隙,直接对焦法)

实用贴:眼科病例高清图片 

▼颞上分支静脉阻塞

实用贴:眼科病例高清图片 

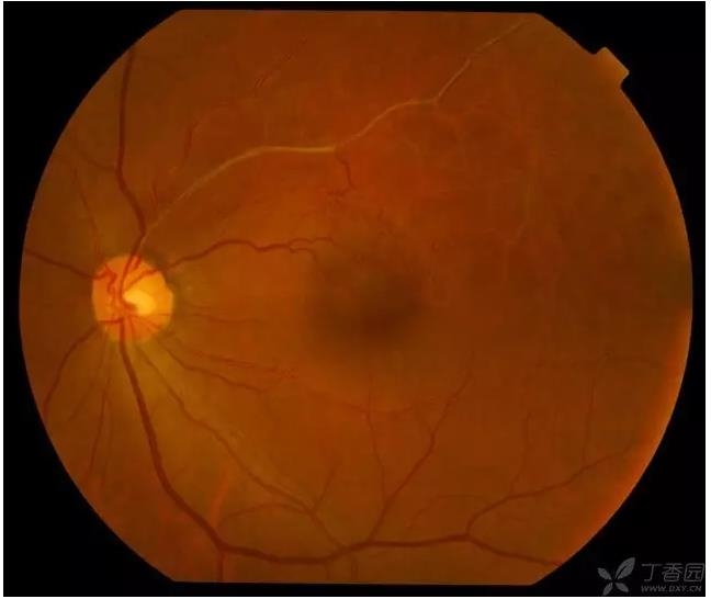
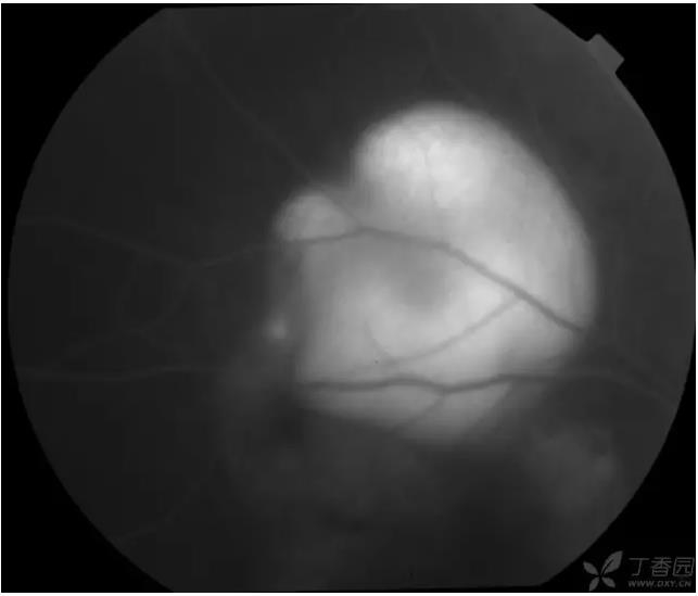
▼视乳头高度水肿

实用贴:眼科病例高清图片 

▼硅油乳化后的眼底

实用贴:眼科病例高清图片 

▼孔源性视网膜脱离

实用贴:眼科病例高清图片 

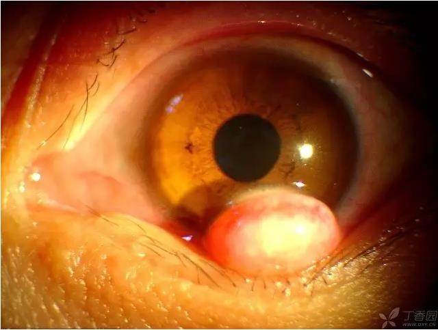
▼角膜皮样瘤

实用贴:眼科病例高清图片 

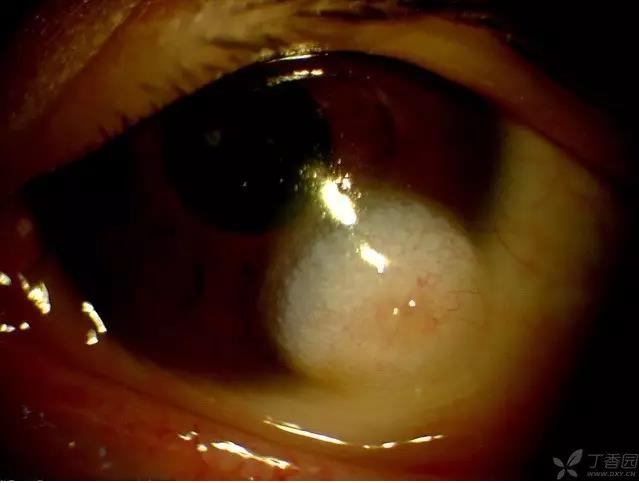
▼角膜皮样瘤(不同的患者,弥散光照明)

实用贴:眼科病例高清图片 

▼角膜移植术后

实用贴:眼科病例高清图片 

▼角膜异物(直接焦点照明法,裂隙偏左侧)

实用贴:眼科病例高清图片 

▼ICL术后

实用贴:眼科病例高清图片 

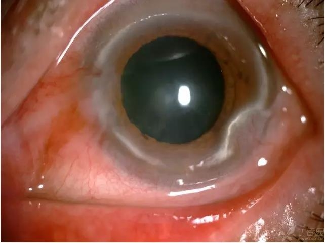
▼YAG虹膜打孔术后

实用贴:眼科病例高清图片 

▼白内障术后瞳孔膜闭,虹膜前粘

实用贴:眼科病例高清图片 

▼玻璃体嵌顿,晶状体半脱位

实用贴:眼科病例高清图片 

来源:丁香园网友gxjhlz
(来源:本站原创) (责编:cnophol)

发表评论】【加入收藏】【告诉好友】【打印此文】【关闭窗口
  • 下一条信息: 没有了
  • 更多关于(眼科病例,高清图片,中华眼科在线)的信息
      热门图文

    10个小窍门和“黑眼圈

    美瞳与隐形眼镜有什么

    开眼角还嫌眼不够大?

    眼部、面部三招教你KO
      健康新看点
      健康多视点
    ad推广
      图话健康
    点击申请点击申请点击申请点击申请点击申请点击申请点击申请点击申请点击申请
    39健康网眼病新浪福建健康21世纪药店网医脉通眼科新浪厦门健康合肥爱尔眼科一心医药集团重庆桐君阁湖北眼科网武汉眼科医院
    天津眼科医院武汉民生耳鼻喉医院中国近视网中国卫生人才网39五官科爱尔英智眼科康华眼科网久久眼科网阿里医药眼科网山水画

    Copyright © 2007 中华眼科在线 网站备案序列号: 京ICP备08009675号
    本网站由武汉五景药业主办