1.CSC是以浆液性视网膜脱离伴或不伴有RPE脱离;经常局限于黄斑,与液体经过RPE渗漏至视网膜下相关。
2. CSC曾经有很多名字
a。最早的相关描述来源于1866年Von Graefe,他描述CSC为复发性中央视网膜炎(recurrent central retinitis)
b.1922年Horniker称其为毛细血管痉挛中央视网膜炎(capillarospastic central retinitis)
c.其他名字还有:central angiospastic retinopathy 和 central serous retinopathy
3.Maumenee描述其在FFA下面的特征,并解释choroid和RPE是主要病变因素
4.Gass进一步确证了FA检查下的表现并将其称为CSC--central serous chorioretinopathy
流行病学特点:
通常描述多见于30-40岁男性;但最近大型研究发现发病年龄在45-51岁左右
2.年发病率为男性9.9人每10万,女性1.7人每10万;男女比例约2.7-7:1
3.危险因素:
a 糖皮质激素与其关系密切---1966年Jain和Singh初次怀疑,1985年左右Wakakura、IShikawa与Harada等初次报道。
b 怀孕与CSC关系密切,血浆皮质醇水平增高为主要原因,主要发生于晚期妊娠(third trimester),多与分娩后自行消退
c A型血与CSC之间的关系存在一定的争议
d 治疗精神病的药物、系统性高血压、酗酒等可能存在的危险因素
分型:
慢性多为3-6个月
慢性CSC可导致广泛的RPE损伤
慢性长期液体积聚会导致光感受器细胞死亡,从而可能引起永久视力丧失
2.急性虽然容易复发,但是也会自行缓解。
基于RPE状态的新分类:
classic CSC:较少的RPE损伤和液体渗漏
2. diffused retinal pigment epitheliopathy (DRPE):广泛的RPE损伤和广泛的渗漏
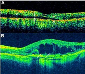
OCT检查可以提供详细的断层结构信息:
FA检查下最常见的是RPE水平出现的针尖样渗漏
一些患者会表现为多个针尖样渗漏点或者烟囱样荧光渗漏
某些无症状的患者会表现为黄斑区之外的FA渗漏表现
某些患者长期积液无法吸收,会出现液体重力下垂导致的视网膜下通道样表现--FA和FAF下可见
在FAF表现:早期为高自发荧光表现,随着后期RPE细胞的不断死亡,后期表现为低自发荧光
中期ICGA造影可见后极部和周边着染的脉络膜内层的斑片状高荧光
因此,CSC应该是后极部视网膜功能异常,并不是单纯黄斑区病变。
EDI--enhanced depth imaging发现CSC会出现脉络膜厚度增加的改变。

脉络膜:

目前对于CSC的发病机制多集中在choroid。认为其在CSC时表现为高通透性,可能原因是:缺血、血液瘀滞或者炎症反应。
前面提及的ICGA检查看到的内脉络膜片状高荧光着染也表明了脉络膜的高通透性。同时在EDI检查发现CSC患者脉络膜厚度增加也从另一个角度反应出这种改变。但是有趣的是,ICGA高荧光区与EDI OCT检查下的脉络膜增厚区并不是一一对应的,这一点尚需进一步研究揭示。
高通透性的脉络膜血管会使其静水压增高,从而导致PED的产生,最终打破RPE的正常屏障功能,导致RPE与视网膜之间液体积聚。
激素会影响到包括肾上腺素类受体等多种基因的转录;而且激素可以通过一系列通路导致血管反应性增强。
CSC很可能是由于激素或其他系统因素诱发异常脉络膜血管自身调节机制。
CSC脉络膜血管病变相关研究发现中期脉络膜着染区域出现脉络膜充盈延迟的现象,这也进一步反映出与周边静脉扩张区域相关的脉络膜片状缺血区。
表达升高的血浆纤溶酶原激活体抑制剂-1从另一方面反映出血栓机制与以上血管改变相关。
研究发现在运动时,黄斑区下脉络膜血流与对侧正常眼相比,慢性CSC患眼出现明显增高。 |