精彩推荐:青光眼 白内障 近视 远视 散光 斜视弱视 角膜溃疡 角膜炎 沙眼 眼外伤 更多疾病
大众频道
专业频道
时尚频道
互动频道
疾 病 | 保 健 | 爱眼动态 | 名医名院
知 识 | 美 食 | 自检自测 | 爱眼纪事
资 讯 | 临 床 | 学 术 | 文 献
图 谱 | 医 患 | 继 教 |
五官之美 | 整 形 | 美 容
眼镜一族 | 妆 容 | 图 库
眼科在线 | 预留位置
眼科知道 | 在线咨询
  当前位置:当前位置: 中华眼科在线 → 医学频道 → 临床医学 → 病例分析 → 正文 切换到繁體中文 用户登录 新用户注册
视神经通路病例解析:七个病例一种疾病

http://www.cnophol.com 2017-5-10 10:25:38 中华眼科在线

  可以发生在视神经通路上的疾病多种多样,一下七个案例就是其中的一种肿瘤性病变,一起诊断下吧。

  案例一

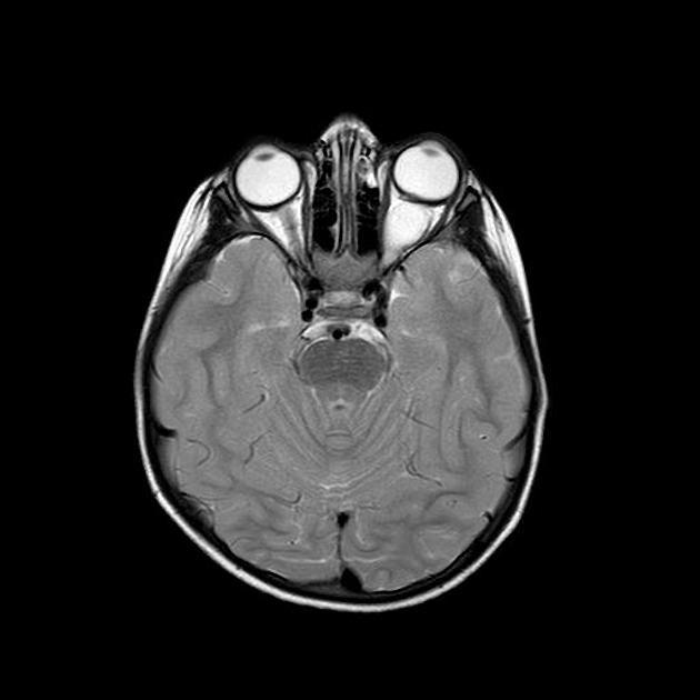
  基本病史:6 岁女孩,既往体健,近期左眼视力明显下降,行颅脑 MRI 检查结果如下。

 

  图 1 MRI 检查轴位 T2WI 序列显示鞍区及鞍上区见长 T2 异常信号实性肿块,沿视神经走行

  案例二

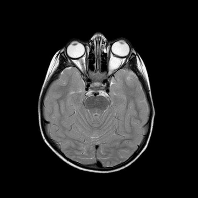
  基本病史:男孩,进行性视力丧失。

 

  图 2 MRI 检查,冠状位 T1WI 增强序列显示视神经交叉及双侧视神经走行区肿胀,呈明显强化改变

  案例三

  基本病史:神经纤维瘤病(I 型)患者。

 
 
 

  图 3 MRI 检查冠状位 T2WI 序列和 T1WI 强化序列显示,双侧视神经部分节段肿胀呈长 T2 信号,强化呈明显强化改变

  案例四

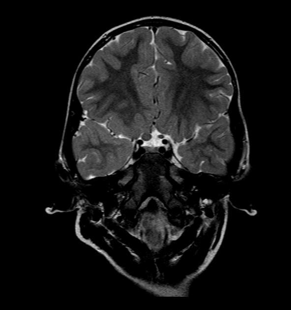
  基本病史:11 岁女孩,神经纤维瘤病(I 型)患者。

 
 

  图 4 MRI 检查 T2WI 和 T1WI 强化序列显示,双侧视神经视交叉附近呈明显肿胀,长 T2 异常信号,增强呈明显强化改变

  案例五

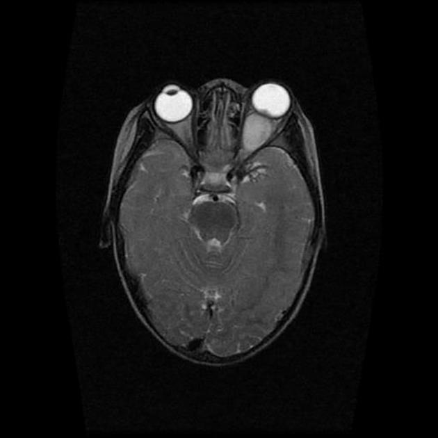
  基本病史:3 岁男孩,左眼渐进性视力丧失,眼球前突,无神经纤维瘤家族史。

 
 
 

  图 5 MRI 检查轴位 T2WI,冠状位 T2WI 和矢状位 T1WI 序列显示左侧视神经脊椎内段可见类圆形肿物,呈稍长 T1 长 T2 异常信号

  案例六

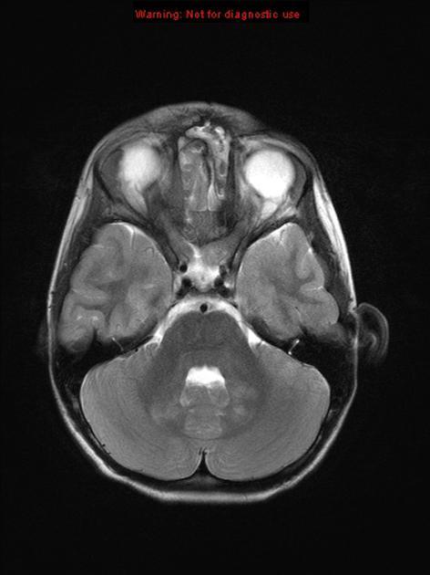
  基本病史:2 岁男孩,近期发现左眼突出。

 
 
 

  图 6 MRI 检查轴位 T2WI,T1WI 和矢状位 T1WI 增强序列显示,左侧视神经肌锥内段见类圆形稍长 T1 长 T2 明显异常信号,呈明显强化

  案例七

  基本病史:2 岁女孩,摇头,双侧眼球震颤一年余。

 
 

  图 7 MRI 检查轴位 T2WI 及 T1WI 强化序列显示双侧视神经肿胀呈长 T2 信号,强化呈明显强化,累及视交叉及颅内脑组织

  以上七个病例具有相似的影像学表现,病例结果为同一种肿瘤,给出你的诊断吧~

 

  病理结果

  视神经通路胶质瘤

 

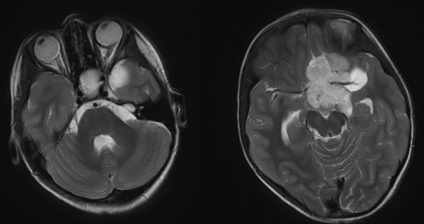
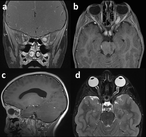
  图 8 两例视神经胶质瘤影像学表现:a 和 b 为一例,双侧视神经肿胀,可见强化改变,累及视交叉;c 和 d 为另一例,可见左侧视神经迂曲改变,结果证实为视神经胶质瘤

  视神经胶质瘤是发生于视神经内胶质细胞的良性肿瘤,可沿视神经向颅内蔓延,可见于球后视神经、视交叉、下丘脑、视束至外侧膝状体通路上的任何部位。该病好发于 10 岁以内儿童,部分与神经纤维瘤病伴发,疑有遗传倾向。

  临床表现

  视神经胶质瘤的临床表现也因其累及部位不同而不同。

  前路视神经胶质瘤首发症状为视力下降及视野缺损、单侧眼球突出等(最为多见);

  视交叉胶质瘤以双侧视力下降、视野改变多见,无单眼视力下降或视野改变;

  弥散型视神经胶质瘤累及下丘脑则多伴有下丘脑损伤症状,表现为性早熟、精神淡漠、肥胖、多饮、多尿等。

  MRI 影像学表现

  MRI 检查常能清楚显示解剖结构的移位受压和视神经、视交叉的增粗,外观似梨状,信号多为 T1 稍长信号,T2 高信号,FLAIR 呈高信号,强化呈明显强化。无明显特异性征象。

  总结

  10 岁以下儿童出现视力下降,视野改变或眼球突出,MRI 检查时发现视神经形态及信号的改变时应想到视神经胶质瘤的可能。

  参考资料

  https://radiopaedia.org/articles/optic-pathway-glioma

  https://www.aao.org/pediatric-center-detail/neuro-ophthalmology-optic-pathway-gliomas-in-child

(来源:丁香园) (责编:cnophol)

发表评论】【加入收藏】【告诉好友】【打印此文】【关闭窗口
  • 下一条信息: 没有了
  • 更多关于(视神经通路,病例解析,七个病例一种疾病,中华眼科在线)的信息
      热门图文

    防蓝光眼镜是炒概念还

    双眼皮是个小手术?错了

    闺女”关晓彤都有黑眼

    血的教训告诉你隐形眼
      健康新看点
      健康多视点
    ad推广
      图话健康
    点击申请点击申请点击申请点击申请点击申请点击申请点击申请点击申请点击申请
    39健康网眼病新浪福建健康21世纪药店网医脉通眼科新浪厦门健康合肥爱尔眼科一心医药集团重庆桐君阁湖北眼科网武汉眼科医院
    天津眼科医院武汉民生耳鼻喉医院中国近视网中国卫生人才网39五官科爱尔英智眼科康华眼科网久久眼科网阿里医药眼科网山水画

    Copyright © 2007 中华眼科在线 网站备案序列号: 京ICP备08009675号
    本网站由武汉五景药业主办