印度的 Kapoor 教授与大家分享了一例病例,其研究报告发表于 BMJ Case Rep 杂志上。 患者男性,44 岁,主诉右眼疼痛,红肿,流泪及畏光 10 天,否认外伤史,糖尿病病史。于当地医院就诊,给予局部点氟米龙滴眼液,6 次 / 天;环孢霉素滴眼液,4 次 / 天;无环鸟苷眼膏,5 次 / 天;羧甲基纤维素钠眼药水,4 次 / 天;使用药物后患者右眼不适症状明显加重,建议转入上级医院进一步诊治.
眼科查体:右眼:视力:20/50,矫正不提高,眼睑水肿,结膜弥漫性充血,角膜间质水肿,角膜后弹力层皱褶,角膜后可见新鲜 KP,房闪(++),晶状体透明,眼底检查未见明显异常。故诊断为单纯疱疹性角膜炎,诊断后给予右眼局部点氟米龙滴眼液及阿托品眼药水,使用药物 3 天后,自述眼部不适症状有改善,但角膜可见大片渗出,故停用激素类眼药水,建议患者行角膜组织活检。
行角膜活检 3 天后,患者右眼角膜上皮缺损,角膜呈现中央环状浸润,放射状角膜神经炎,角膜基质水肿增厚并伴有片状浑浊,前房积脓,故诊断为棘阿米巴性角膜炎。给予药物治疗后,症状较前加重,且患者出现严重的角膜溃疡。由于病人角膜溃疡情况加重,故给予穿透性角膜移植术。

(图 1) 图 1 发病初期(a)角膜上皮完整,基质水肿;(b)3 天后,角膜浸润;(c)角膜上皮出现缺损,环状浸润,放射状角膜神经炎(白色箭头),角膜基质水肿;(d)角膜全层致密浸润;(e)角膜移植术后,无感染及复发倾向
切除的角膜行组织病理学和微生物学检查,最后检查结果示,角膜中存在真菌微生物。在术后的 5 周随访中,患者最佳矫正视力为 20/40,角膜感染也无复发。

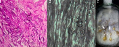
(图 2) 图 2 切除的角膜组织行病理检查及微生物学检查(a)HE 染色(b)甲胺银染色,基质中显示短的真菌丝(c)真菌生长环境,葡萄糖琼脂
讨 论
真菌性角膜炎患者的临床表现呈多样性变化,本文呈现的真菌性角膜炎患者的病例中可见,患者眼部呈现为单纯疱疹性角膜炎的临床特点,随着病情的发展,呈现出棘阿米巴角膜炎的眼部临床表现,最后通过病理活检及微生物检查,才明确该疾病为真菌性角膜炎。
放射状角膜神经炎被认为是棘阿米巴角膜炎的典型临床表现,但是通过该病例,需要强调一下,比较有特征性的临床表现可以作为部分角膜炎的辅助诊断依据,但是在条件允许的情况下,尽量做微生物检查,这样才可以明确的找到真菌及菌丝才能确诊。
总之,真菌性角膜炎的临床表现可以呈现出不同的眼部表现,例如放射状角膜神经炎。因此,在临床工作中,微生物学及组织病理学是比较重要的明确临床诊断的辅助检查。除此之外,对于原因不明的严重角膜溃疡,且药物治疗效果差的患者,角膜移植术对于患者来说,是更好的选择。
作者:程程
链接:http://ophth.dxy.cn/article/513284 |