精彩推荐:青光眼 白内障 近视 远视 散光 斜视弱视 角膜溃疡 角膜炎 沙眼 眼外伤 更多疾病
大众频道
专业频道
时尚频道
互动频道
疾 病 | 保 健 | 爱眼动态 | 名医名院
知 识 | 美 食 | 自检自测 | 爱眼纪事
资 讯 | 临 床 | 学 术 | 文 献
图 谱 | 医 患 | 继 教 |
五官之美 | 整 形 | 美 容
眼镜一族 | 妆 容 | 图 库
眼科在线 | 预留位置
眼科知道 | 在线咨询
  当前位置:当前位置: 中华眼科在线 → 医学频道 → 临床医学 → 病例分析 → 正文 切换到繁體中文 用户登录 新用户注册
婴儿突眼:原来是眼眶血管瘤

http://www.cnophol.com 2017-1-3 14:05:00 中华眼科在线

  婴儿型血管瘤(IH)是婴儿最常见的血管源性肿瘤,约占所有眼眶疾病的 3%。大部分不经治疗即可消退,但某些病例需要治疗。现结合朴茨茅斯海军医学中心的 Hall 博士在 ACR 上的病例来对该病进行介绍。

  病史

  2 个月女婴,突发性左眼球突出。

  影像学检查

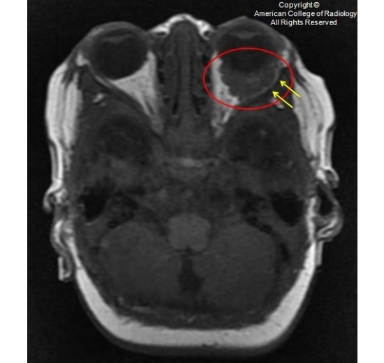
1.jpg

  图 1 为 T1,可见一分叶状眶内肿块(红圈),信号与脑实质和肌肉相比表现为等、长 T1。可见临近的蝶骨局部呈扇形改变(黄色箭头)。未侵犯临近骨质,病变和骨质之间可见一条状短 T1 信号

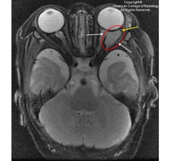
2.jpg

  图 2 为 T2,眼眶内可见一均匀长 T2 信号(红圈),未侵及眶内肌肉和神经(白色箭头)。外前方可见一流空信号(黄色箭头)

3.jpg

  图 3 为 T2,眼眶内可见一均匀长 T2 信号(红圈),未侵及眶内肌肉和神经(白色箭头)。外前方可见一流空信号(黄色箭头)

4.jpg

  图 4 为冠状压脂强化 T1,可见一均匀强化的分叶状眶内肿块(红色箭头),完全包绕视神经(红圈),可见血管流空信号(黄色箭头)

5.jpg

  图 5 眶内分叶状肿块(红色箭头),可见多发流空信号(黄色箭头)。眼外肌被包绕,但未被破坏(白色箭头)

6.jpg

  图 6 横断强化 T1,可见肿块累及眶内(红色箭头)及眶外间隙(黄色箭头)。此外,肿块包绕外直肌(红圈),肿块和眶骨见可见一正常条状的组织信号(白色箭头)

7.jpg

  图 7 为患者 2 个月和 5 个月时分别随访 MR,可见眶骨膜和眼球间的组织间隙存在(红色箭头)。可见血管流空信号(黄色箭头)

8.jpg

  图 8 为患者 2 个月和 5 个月时分别随访 MR,可见眶骨膜和眼球间的组织间隙存在(红色箭头)。可见血管流空信号(黄色箭头)。此外,T2 上病变部分区域信号变得不均匀(白色箭头),表明有退行性的纤维化和脂肪化

9.jpg

  图 9 为患者 2 个月和 5 个月时分别随访 MR,可见肿块包绕视神经程度减轻,从 270°(红色圈)减少到 180°(黄色圈)。增强扫描后肿块强化变得不均匀(白色箭头),表明有退行性的纤维和脂肪组织

  诊断

  眼眶婴儿型血管瘤

  鉴别诊断

  横纹肌肉瘤、小儿纤维瘤病、海绵状血管瘤、淋巴管瘤

  病例要点

  婴儿型血管瘤(IH)是婴儿最常见的血管源性肿瘤,约占所有眼眶疾病的 3%。

  生后 6~12 个月血管瘤快速生长,在 1 岁左右病灶不经治疗即可开始缩小。若部分病例需要或患者要求治疗,普萘洛尔是一种有效和安全的治疗方法。

  体格检查时发现临近眼球的血管瘤,但无典型红色、分叶状外观时,需要进一步的影像学检查(此时可能会有深部组织,比如眶周结构的累及)。

  MR 上,眼眶婴幼儿血管瘤表现为分叶状、边界清楚的、周围可见血管流空,增强扫描呈快速均匀强化。

  讨论

  婴儿中最常见的血管源性肿瘤即为婴儿型血管瘤(IH)。发病率约为 4%~10%。约 60% 的病例发生于头颈部。该年龄段中,血管瘤是最常见的眼眶血管源性肿瘤。典型的 IH 出生时或出生后短时间内出现,并快速生长,直至 6~12 个月。此后 5~7 年,肿瘤自发性消退,发生脂肪和纤维化,因此大多数 IH 无需治疗。

  某些情况下需要干预治疗,如 IH 位于上呼吸道内导致呼吸阻塞时,或多发 IH、或病变较大时,并发凝血并发症或心衰时,或 IH 较大影响美观时,或病灶临近眼球、有可能影响视力时。

  临床有多种治疗方法,如全身应用糖皮质激素、病变内局部注射糖皮质激素、长春新碱或激光治疗。这些治疗方法可有效的限制 IH 的增长。但是,这些治疗方法均有明显的副作用或花费较大。有一个治疗方法不仅效果好,而且无严重并发症和大量花费,那就是使用β- 肾上腺素能受体阻断剂普萘洛尔。

  IH 可位于表皮或深部。当位于表皮软组织时,体格检查可发现一特征性的分叶状、红色、可触及的病灶。当病灶位于深部软组织时,可表现为蓝色,局部皮肤无肉眼改变。眼球突出是非常重要的临床表现。当体格检查病变表现不典型时,需要进一步影像学检查来评级是否累及深部组织结构。肿瘤生长可导致弱视、视神经拉伸 / 损伤、角膜溃疡、出血、永久性视力障碍等并发症。

  IH 典型的影像学表现为:分叶状、边缘光滑、边界清楚的肿块。眶骨受累罕见,但可有临近骨质的膨胀性或扇形改变。MR 可显示 IH 的血管来源性的特征,即病灶周围可见血管流空信号。MRA 可见扩张的供血动脉。增强扫描可见快速、均匀的强化。典型 IH 信号为等、短 T1、长 T2。

  查看信源地址编辑: 陈曦

(来源:丁香园) (责编:cnophol)

发表评论】【加入收藏】【告诉好友】【打印此文】【关闭窗口
  • 下一条信息: 没有了
  • 更多关于(婴儿突眼,眼眶血管瘤,经验分享,中华眼科在线)的信息
      热门图文

    重睑线过宽修复术经验

    别怪眼霜无效!很可能是

    美瞳,你了解多少?

    超声波去眼袋PK外切法
      健康新看点
      健康多视点
    ad推广
      图话健康
    点击申请点击申请点击申请点击申请点击申请点击申请点击申请点击申请点击申请
    39健康网眼病新浪福建健康21世纪药店网医脉通眼科新浪厦门健康合肥爱尔眼科一心医药集团重庆桐君阁湖北眼科网武汉眼科医院
    天津眼科医院武汉民生耳鼻喉医院中国近视网中国卫生人才网39五官科爱尔英智眼科康华眼科网久久眼科网阿里医药眼科网山水画

    Copyright © 2007 中华眼科在线 网站备案序列号: 京ICP备08009675号
    本网站由武汉五景药业主办