精彩推荐:青光眼 白内障 近视 远视 散光 斜视弱视 角膜溃疡 角膜炎 沙眼 眼外伤 更多疾病
大众频道
专业频道
时尚频道
互动频道
疾 病 | 保 健 | 爱眼动态 | 名医名院
知 识 | 美 食 | 自检自测 | 爱眼纪事
资 讯 | 临 床 | 学 术 | 文 献
图 谱 | 医 患 | 继 教 |
五官之美 | 整 形 | 美 容
眼镜一族 | 妆 容 | 图 库
眼科在线 | 预留位置
眼科知道 | 在线咨询
  当前位置:当前位置: 中华眼科在线 → 医学频道 → 临床医学 → 病例分析 → 正文 切换到繁體中文 用户登录 新用户注册
TREX1 基因突变引起大脑视网膜血管病变 1 例

http://www.cnophol.com 2016-10-10 10:03:56 中华眼科在线

  视网膜血管病变伴有大脑白质脑病(retinal vasculopathy with cerebral leukodystrophy,RVCL)属常染色体显性遗传性疾病,发病年龄 30~50 岁。它包括脑视网膜血管病(cerebroretinal vasculopathy,CRV),遗传性血管视网膜病(hereditary vascular retinopathy,HVR)和遗传性内皮细胞病伴视网膜病变、肾病和卒中(hereditary endotheliopathy with retinopathy,nephropathy,and stroke HERNS)。

  MRI 表现为不规则深部白质增强病灶,具有水肿占位效应,并逐渐进展为多病灶。近日,来自美国弗吉尼亚大学的 Dhamija 博士等人发表了一篇关于 TREX1 基因突变引起的大脑视网膜血管病变的病例报道,刊登在最新一期的 Neurology 杂志上。

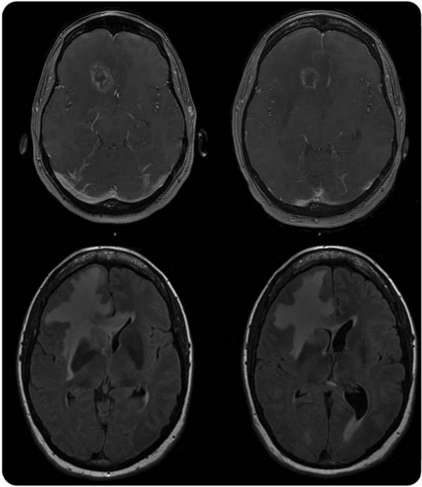
  患者女性,44 岁,有视网膜血管病变的病史,主要症状为头痛和轻偏瘫。MRI 大脑显示右额叶周边有高信号的肿块且其周围水肿 (如图 1),考虑为恶性神经胶质瘤。然而,病理显示为反应性胶质增生坏死,没有证据提示是肿瘤 (如图 2)。家族中多个亲戚的头部 MRI 显著相似的可疑肿瘤病变,但是组织活检排除肿瘤。怀疑为潜在的家族性脑白质病,异常的杂合无义突变在 TREX1 基因的 c.1359 G> T;p.Glu285 * 被确认,C 端的移码突变导致常染色体显性遗传视网膜血管病变伴有大脑白质脑病。

【病例】TREX1 基因突变引起大脑视网膜血管病变 1 例

  图 1 2008 年的头颅 MRI:右额叶边界不规则的高信号肿块伴广泛血管性水肿

【病例】TREX1 基因突变引起大脑视网膜血管病变 1 例

  图 2 2008~2014 年 6 年的核磁共振系列成像显示增加支流 FLAIR 在前额和右室周旁白质高信号

(来源:丁香园) (责编:cnophol)

发表评论】【加入收藏】【告诉好友】【打印此文】【关闭窗口
  • 下一条信息: 没有了
  • 更多关于(TREX1基因突变,大脑视网膜血管病变,中华眼科在线)的信息
      热门图文

    想招桃花想减龄?没有卧

    VR视网膜眼镜,让你一

    埋线双眼皮 帮你轻松塑

    隐形眼镜竟然这么恐怖
      健康新看点
      健康多视点
    ad推广
      图话健康
    点击申请点击申请点击申请点击申请点击申请点击申请点击申请点击申请点击申请
    39健康网眼病新浪福建健康21世纪药店网医脉通眼科新浪厦门健康合肥爱尔眼科一心医药集团重庆桐君阁湖北眼科网武汉眼科医院
    天津眼科医院武汉民生耳鼻喉医院中国近视网中国卫生人才网39五官科爱尔英智眼科康华眼科网久久眼科网阿里医药眼科网山水画

    Copyright © 2007 中华眼科在线 网站备案序列号: 京ICP备08009675号
    本网站由武汉五景药业主办