精彩推荐:青光眼 白内障 近视 远视 散光 斜视弱视 角膜溃疡 角膜炎 沙眼 眼外伤 更多疾病
大众频道
专业频道
时尚频道
互动频道
疾 病 | 保 健 | 爱眼动态 | 名医名院
知 识 | 美 食 | 自检自测 | 爱眼纪事
资 讯 | 临 床 | 学 术 | 文 献
图 谱 | 医 患 | 继 教 |
五官之美 | 整 形 | 美 容
眼镜一族 | 妆 容 | 图 库
眼科在线 | 预留位置
眼科知道 | 在线咨询
  当前位置:当前位置: 中华眼科在线 → 医学频道 → 临床医学 → 经验交流 → 正文 切换到繁體中文 用户登录 新用户注册
视神经炎诊断中的这些误区 你需要当心

http://www.cnophol.com 2016-6-27 10:03:25 中华眼科在线

  视神经炎是神经内科常见疾病之一,但在实际临床实践中却也存在过度诊断和误诊的情况。近期,Pract Neurol 杂志发表了一篇由澳大利亚学者 Lueck 等撰写的综述,描述了神经内科医师最熟悉的特发性脱髓鞘性视神经炎(IDON)的典型特征,以及在诊断中可能存在的误区,包括各种变异的情况以及可能误诊为 IDON 的疾病。

  特发性脱髓鞘性视神经炎的临床特征

  1. 典型临床表现

  (1)眼周疼痛、通常在眼球运动时加重,可在视力损害之前或同时出现;

  (2)在数小时至数天内出现单侧视力丧失,其严重程度从色觉、中心视力损害到完全性视力丧失;

  (3)色觉、视密度、对比敏感度下降;

  (4)视野缺损;

  (5)相对性瞳孔传入障碍;

  (6)眼底检查正常,但约有 1/3 的患者出现视乳头水肿;

  (7)发病 4 周内出现视力改善。

  2. 其他也可被认为是「典型表现」的临床特征

  (1)多发性硬化病史(33%);

  (2)光幻视 / 闪光幻觉,常因眼球运动引起(30%);

  (3)视盘水肿(36%);

  (4)轻微的后葡萄膜炎或静脉周围炎(6%);

  (5)恢复期的其他症状,比如:Uhthoff 现象(与热或运动相关的短暂性视力恶化)、Pullfrich 现象(对运动物体深度感知障碍)。

  特发性脱髓鞘性视神经炎的临床变异

  1. 疼痛:约有 10% 的患者没有疼痛表现,12% 的患者疼痛严重,可能会痛醒。少数患者疼痛与眼球运动无关。

  2. 病程:视力恶化的持续时间很少会超过 7~10 天。对 2 周后仍持续恶化的患者,应及时考虑其他诊断。

  3. 视敏度、色觉和视野缺损:

  (1)视敏度范围可从正常(10%)到无光感(3%),低对比度下的视敏感度受累更明显;在视敏度正常的患者中,有 88% 的人对比敏感度已经受损。

  (2)在视神经炎急性期,蓝 / 黄色觉缺陷最常见。在恢复期,红 / 绿色觉缺陷会更常见。

  (3)视野缺损的模式各不相同,缺损模式对 IDON 的鉴别意义不大。75% 患者非患侧眼也有轻微视野异常。

  4. 眼部检查结果:一般无异常,前部视神经炎可能会有视盘水肿。极少数出现视乳头周围出血、视网膜渗出及玻璃体内细胞。

  5. 瞳孔反应:受累眼出现相对性瞳孔传入障碍(RAPD)提示为单眼、或双眼不均衡受累。少见双侧、对称性视神经受累(如出现,强烈提示为其他病因)。

  6. MRI 结果:可正常或异常,对诊断意义不大,但可提示预后:如正常,15 年内发展为 MS 几率为 15%;若异常,出现 MS 风险增加。

  7. 脑脊液检查结果:约 1/2 的患者出现轻度淋巴细胞增多。约 30%~70% 的患者出现寡克隆区带,这些患者出现 MS 风险轻度增加。

  容易误诊为 IDON 的疾病

1_meitu_1.jpg
1.png

  图 1 小而拥挤的视盘(「危险视盘」)

2.png

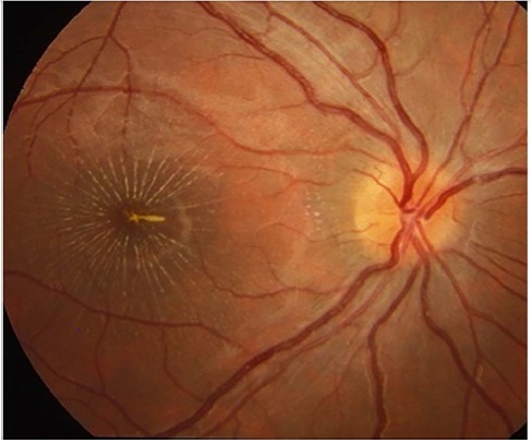
  图 2 病毒感染后视神经视网膜炎患者出现黄斑星型渗出

(来源:丁香园) (责编:cnophol)

发表评论】【加入收藏】【告诉好友】【打印此文】【关闭窗口
  • 下一条信息: 没有了
  • 更多关于(视神经炎诊断,误区,中华眼科在线)的信息
      热门图文

    如何轻松摘下隐形眼镜

    专家建议:近视眼镜最

    眼线别再情定纯黑色了

    这些人不适合佩戴角膜
      健康新看点
      健康多视点
    ad推广
      图话健康
    点击申请点击申请点击申请点击申请点击申请点击申请点击申请点击申请点击申请
    39健康网眼病新浪福建健康21世纪药店网医脉通眼科新浪厦门健康合肥爱尔眼科一心医药集团重庆桐君阁湖北眼科网武汉眼科医院
    天津眼科医院武汉民生耳鼻喉医院中国近视网中国卫生人才网39五官科爱尔英智眼科康华眼科网久久眼科网阿里医药眼科网山水画

    Copyright © 2007 中华眼科在线 网站备案序列号: 京ICP备08009675号
    本网站由武汉五景药业主办