精彩推荐:青光眼 白内障 近视 远视 散光 斜视弱视 角膜溃疡 角膜炎 沙眼 眼外伤 更多疾病
大众频道
专业频道
时尚频道
互动频道
疾 病 | 保 健 | 爱眼动态 | 名医名院
知 识 | 美 食 | 自检自测 | 爱眼纪事
资 讯 | 临 床 | 学 术 | 文 献
图 谱 | 医 患 | 继 教 |
五官之美 | 整 形 | 美 容
眼镜一族 | 妆 容 | 图 库
眼科在线 | 预留位置
眼科知道 | 在线咨询
  当前位置:当前位置: 中华眼科在线 → 医学频道 → 临床医学 → 经验交流 → 正文 切换到繁體中文 用户登录 新用户注册
肿瘤转移至眼 CT 检查来辨

http://www.cnophol.com 2016-6-23 11:08:23 中华眼科在线

   肿瘤转移至眼,过去认为是极少见的,但近年来的研究表明,眼内转移瘤也较为常见。本病例为累及眼外肌的转移性病变,需要与多种可引起眼外肌病变的疾病进行鉴别。现结合宾夕法尼亚大学影像中心的 Duke Duncan 医生在 auntminnie 上的病例来对该病进行介绍。

  病史

  55 岁女性,头痛急诊就诊。

  影像学检查及发现

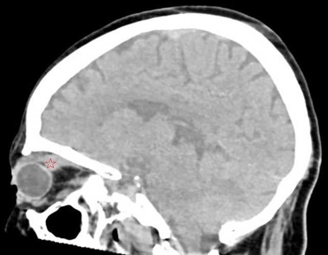
1.jpg

  图 1 为平扫 CT,可见上直肌增粗(圈)

2.jpg

  图 2 为平扫 CT,可见上直肌明显增粗(五角星)

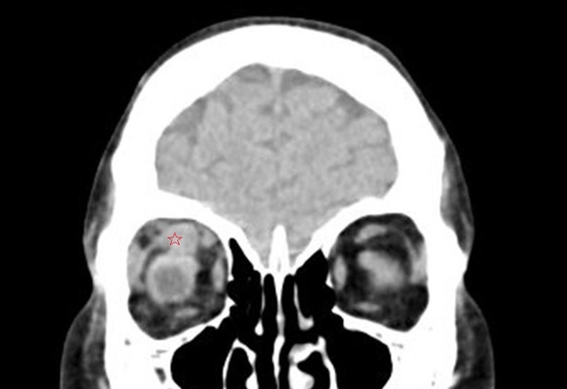
3.jpg

  图 3 为平扫 CT,可见上直肌明显增粗(五角星)

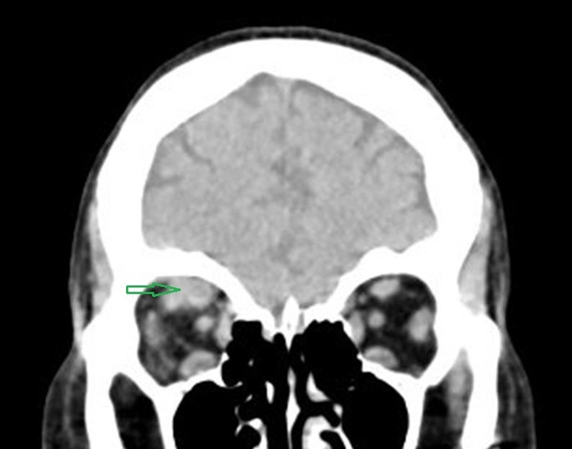
4.jpg

  图 4 为平扫 CT,可见上直肌明显增粗(箭头)

  诊断

  累及上直肌的眼内转移性病变

  鉴别诊断

  甲状腺相关性眼病、炎性假瘤、眶内淋巴瘤、转移瘤、眶内肉瘤

  病例要点

  肿瘤转移至眼,过去认为是极少见的,但近年来的研究表明,眼内最常见的恶性肿瘤是转移瘤。眼部所有结构均可受累,如眼球、眼眶、附属器、视神经、眼外肌及结膜等,眼眶内转移常见于颅骨发生转移的过程中。常见可转移至眼内的肿瘤有肺癌、黑色素瘤和乳腺癌。转移瘤可致眼外肌增粗,常呈局限性或节段性,增粗部分眼外肌形态不规则,眶壁及副鼻窦常同时受累。

  累及眼外肌的转移性病变需要与以下几个病变进行鉴别:

  1. 甲状腺相关性眼病

  是一种表现为甲状腺功能亢进的自身免疫性疾病(Graves 病)。它是引起成人眼外肌增粗最常见的原因。其显著特点是双侧、多发、对称,表现为为单侧者仅占 5%~10%。最常累及下直肌,其次为内直肌、上直肌、外直肌和斜肌。不累及肌腱,这点可以与眶内炎性假瘤鉴别。

  2. 炎性假瘤

  是一种特发性的可致眼外肌疼痛并增粗的疾病,同时累及肌腱和肌腹,在临床上比较常见,是单侧突眼的常见原因之一,该病原因不明,可能是球后组织对某种抗原所产生的自体免疫反应。CT 表现多样,主要包括眼外肌增粗,球后肿块,眼环增厚和视神经增粗等,可单独或同时出现。当鉴别困难时,可给予激素治疗,炎性假瘤对激素治疗反应非常敏感,效果显著。

  3. 眶内淋巴组织增生性疾病

  眼眶内可有多种淋巴组织增生性病变。眶内淋巴瘤最常见侵犯泪腺,位于眼外肌的淋巴结较少见,可以累及一条或多条眼外肌。CT 表现为受累眼外肌明显增粗。病变包裹肌肉和血管。多呈均匀强化,而大部分转移灶呈不均匀强化。患者有相关肿瘤病史。

(来源:丁香园) (责编:cnophol)

发表评论】【加入收藏】【告诉好友】【打印此文】【关闭窗口
  • 下一条信息: 没有了
  • 更多关于(肿瘤转移,眼 CT ,中华眼科在线)的信息
      热门图文

    如何轻松摘下隐形眼镜

    专家建议:近视眼镜最

    眼线别再情定纯黑色了

    这些人不适合佩戴角膜
      健康新看点
      健康多视点
    ad推广
      图话健康
    点击申请点击申请点击申请点击申请点击申请点击申请点击申请点击申请点击申请
    39健康网眼病新浪福建健康21世纪药店网医脉通眼科新浪厦门健康合肥爱尔眼科一心医药集团重庆桐君阁湖北眼科网武汉眼科医院
    天津眼科医院武汉民生耳鼻喉医院中国近视网中国卫生人才网39五官科爱尔英智眼科康华眼科网久久眼科网阿里医药眼科网山水画

    Copyright © 2007 中华眼科在线 网站备案序列号: 京ICP备08009675号
    本网站由武汉五景药业主办