精彩推荐:青光眼 白内障 近视 远视 散光 斜视弱视 角膜溃疡 角膜炎 沙眼 眼外伤 更多疾病
大众频道
专业频道
时尚频道
互动频道
疾 病 | 保 健 | 爱眼动态 | 名医名院
知 识 | 美 食 | 自检自测 | 爱眼纪事
资 讯 | 临 床 | 学 术 | 文 献
图 谱 | 医 患 | 继 教 |
五官之美 | 整 形 | 美 容
眼镜一族 | 妆 容 | 图 库
眼科在线 | 预留位置
眼科知道 | 在线咨询
  当前位置:当前位置: 中华眼科在线 → 医学频道 → 临床医学 → 病例分析 → 正文 切换到繁體中文 用户登录 新用户注册
病例 发作性双眼向右侧凝视12天,左侧肢体抽动1周

http://www.cnophol.com 2016-6-20 10:37:53 中华眼科在线

  患者女性,72岁,主因“发作性双眼向右侧凝视12天,左侧肢体抽动1周”于2005年12月30日收入院。患者入院前12天无明显诱因反复出现发作性双眼向右侧凝视、头向右侧扭转,每天发作数次,每次持续不到30秒,未到医院就诊。5天后发作时伴左侧肢体抽动,左上肢屈曲,左下肢强直,发作间期缩短,每小时1次,连续4次,发作间期意识仍然清楚。

  来我院急诊肌内注射苯巴比妥钠100mg,每日1次,口服丙戊酸钠250mg,每日2次,但发作次数逐渐频繁,每次发作持续时间延长。发病第12天以症状性癫痫(部分性发作)收入神经内科癫痫病区。既往精神分裂症病史40余年,长期口服氯丙嗪(100mg,每日1次)、地西泮(5mg,每日1次)、苯海索(20mg,每日1次)。高血压史30年,长期服用北京降压0号(1粒,每日1次)。5年前脑梗死,头颅CT扫描(图8-1)证实(表8-1),未遗留肢体瘫痪;3年前脑出血,头颅CT扫描证实(图8-2),遗留右侧肢体偏瘫。否认癫痫发作史。数年前有甲状腺瘤手术史。

  表8-1 头颅影像学检查

【病例】发作性双眼向右侧凝视12天,左侧肢体抽动1周

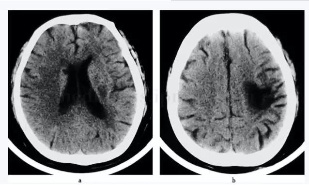
  图8-1 头颅CT(2002‐07‐05)双侧脑室旁陈旧腔隙性脑梗死(a),左颞叶陈旧性脑梗死(b)

【病例】发作性双眼向右侧凝视12天,左侧肢体抽动1周

  图8-2 头颅CT(2002‐11‐20)左侧颞叶脑出血,右侧脑室旁腔隙性脑梗死(a)。左颞叶陈旧梗死(b)

【病例】发作性双眼向右侧凝视12天,左侧肢体抽动1周

  入院时体格检查:T36.9℃,P85次/分,R20次/分,BP170/100mmHg。发育正常,肥胖体型,全身浅表淋巴结未及肿大。双肺呼吸音粗,双肺底可闻及干、湿啰音。心界向左扩大,心音有力,律齐,未闻及病理性杂音。腹部平软,肝脾肋下未及。神经系统查体:昏睡状态,双侧瞳孔等大等圆,直径3mm,对光反射灵敏,疼痛刺激可见左侧肢体活动,四肢腱反射减弱,右侧Babinski征阳性,脑膜刺激征阴性。

  入院后诊断为症状性癫痫。经加强抗癫痫(静脉输注地西泮、肌内注射苯巴比妥钠、口服丙戊酸钠)和降颅压治疗,效果仍不满意,发作间期意识不清,呈癫痫持续状态。入院第2天转入神经内科重症监护病房(N‐ICU)。转入时体格检查:体温增高(38.2℃),脉搏加快(105次/分);双眼球固定,玩偶反射消失;双侧瞳孔等大等圆,直径2.5mm,光反射迟钝;四肢腱反射消失,双侧病理征未引出。转入后诊断为:①症状性癫痫,癫痫持续状态;②精神分裂症;③陈旧性脑血管病,右中枢性偏瘫;④高血压3级(极高危);⑤细菌性肺炎。转入后持续静脉泵入地西泮(每小时4mg)、肌内注射苯巴比妥钠(0.1g,每8小时1次)、鼻胃管注入丙戊酸钠(0.5g,每日2次)控制癫痫发作;静脉输注甘露醇(125ml,每4小时1次)降颅压,静脉输注头孢替安抗感染治疗。转入第2天体温进一步增高(39.2℃),意识仍不清,但抽搐停止,静脉抗癫痫药物渐减量至停用。转入第3天呼吸困难,双肺可闻及干、湿啰音,血氧饱和度降至80%,血氧分压63mmHg,二氧化碳分压54mmHg,立即行经口气管插管改善通气,加强抗感染治疗(停用头孢替安,改为去甲万古霉素和亚胺培南),此后体温逐渐降至正常,血氧饱和度维持在95%以上,血氧分压73~180mmHg,二氧化碳分压37~58mmHg,pH7.35~7.46,细菌性肺炎得到控制,肺通气换气恢复正常。转入第10天,因患者意识仍未恢复而行神经电生理检查,对脑功能进行判定。脑电图显示(图8-3)双侧广泛低幅快波,未见癫痫样放电(考虑与抗癫痫药物有关)。听觉诱发电位(BAEP)显示(图8-4)左侧Ⅰ、Ⅲ、Ⅴ波分化不良,Ⅴ波潜伏期延长;右侧未见Ⅰ、Ⅲ、Ⅴ波(不能除外听力障碍)。体感诱发电位(SEP)显示(图8-5)左侧N20消失;右侧N20波幅低,N13‐N20波间潜伏期延长。转入第13天再次出现发作性双眼向右侧凝视,伴咀嚼动作,左上肢抽动,持续5~10分钟自行缓解。血药浓度结果回报苯巴比妥15.05μg/ml(正常值15~40μg/ml),丙戊酸钠32.80μg/ml(正常值50~100μg/ml),重新经鼻胃管注入丙戊酸钠为0.2g,每日3次,此后未再出现抽搐发作。转入第15天行气管切开。转入第18天意识逐渐转清,可按照指令执行简单动作。随着意识状态的好转,患者出现情绪激动、哭泣表情、下颌部和左上肢不自主颤抖,考虑与以往精神分裂症所致精神障碍有关。经精神科医师会诊,建议长期服用氯丙嗪(每日100mg)、苯海索(每日2mg)。患者病情明显好转,情绪稳定,不自主颤抖减轻。转入第26天气管切开间断堵管,第46天病情平稳转出N‐ICU,住院2月好转出院。

  住院期间:①血常规中白细胞在肺部感染时增高,随着感染的控制转为正常;②血生化的丙氨酸氨基转移酶(ALT)、门冬氨酸氨基转移酶(AST)及γ‐谷氨酰转肽酶(GGT)曾一度升高,随着癫痫的控制转为正常;血糖高于正常(140~200mg/dl);尿素氮稍升高(7.5~32.7mg/dl),但肌酐正常;前白蛋白(104~158mg/L)和白蛋白(2.4~3.3g/dl)低于正常;钾、钠、氯正常;钙(6.3~7.7mg/dl)低于正常;③血气分析中pH7.31~7.48,血氧分压(PaO2)63~185mmHg,二氧化碳分压(PaCO2)37~68.1mmHg;④心电图大致正常;⑤床旁X线胸片曾显示右下肺炎,经抗感染治疗后复查正常。⑥头颅MRI显示双侧脑室旁腔隙性脑梗死,左侧颞叶脑梗死软化灶(图8-6)。

  图8-3 脑电图(2006‐01‐10)全部导联频率以14~20Hz的β波为主,波幅10~30μV;可见心电伪差提交

【病例】发作性双眼向右侧凝视12天,左侧肢体抽动1周

  图8-4 BAEP(2006‐1‐10)左侧Ⅰ、Ⅲ、Ⅴ波分化不良,重复性差,Ⅴ波潜伏期延长,Ⅴ/Ⅰ波幅比>0.5;右侧未见Ⅰ、Ⅲ、Ⅴ波。按Cant分级标准分级为Ⅲ级

【病例】发作性双眼向右侧凝视12天,左侧肢体抽动1周

  图8-5 SEP(2006‐1‐10)双侧N9、N13分化良好,重复性好,各波潜伏期及波间潜伏期在正常范围。左侧N20消失;右侧N20分化良好,波幅低,N13‐N20波间潜伏期延长。按Cant分级标准分级为Ⅲ级

【病例】发作性双眼向右侧凝视12天,左侧肢体抽动1周

  图8-6 头颅MRI(2006‐01‐07)双侧脑室旁腔隙性脑梗死。左侧颞叶脑梗死软化灶(a,b)

【病例】发作性双眼向右侧凝视12天,左侧肢体抽动1周

  二、病例特点与分析

  (一)病例特点

  1﹒老年女性,亚急性起病,渐进性加重。

  2﹒主要症状为发作性双眼向右侧凝视,头向右侧扭转,伴左侧肢体抽动,早期未能及时就诊治疗,随后发展为癫痫持续状态。既往精神分裂症40年,长期服抗精神病药。高血压30年,长期服降压药。脑梗死5年,未遗留明显后遗症。脑出血3年,遗留右侧肢体偏瘫。

  3﹒入院时主要发现双肺干、湿啰音;意识呈昏睡状态,疼痛刺激仅左侧肢体可动,四肢腱反射减低和右侧病理征阳性。入院第2天因体温增高,意识障碍加重,对疼痛刺激无反应,癫痫发作呈持续状态而转入重症监护病房加强监测与治疗。

  4﹒本次发病后头颅MRI显示双侧脑室旁腔隙性脑梗死。左侧颞叶脑梗死软化灶。

  (二)病例分析

  1﹒定位分析

  患者发作时双眼向右侧凝视、头向右转,但左侧肢体抽动(部分性发作),提示右大脑半球存在刺激性病变。右侧中枢性肢体瘫痪和病理征阳性,提示左皮质脊髓束受累。意识障碍的发生发展与癫痫发作相伴随,提示异常放电导致的大脑半球广泛抑制或脑干网状激活系统抑制。影像学检查证实为双侧脑室旁和左颞叶陈旧病灶。

  2﹒定性分析

  患者早期无明显诱因出现双眼向右凝视、头向右转、左肢体抽动,并具有反复性、发作性和刻板性特点,故符合癫痫诊断,既往有两次脑血管病史,故考虑为症状性癫痫。后期因发作次数频繁,同时发作间期意识不能清醒,而进一步诊断为癫痫持续状态。影像学检查显示双侧大脑半球陈旧病灶以及数年前明确的脑卒中病史,提示卒中后迟发性癫痫可能。

  三、文献复习

  (一)脑卒中并发癫痫几率

  脑卒中并发癫痫较为常见,有时表现为癫痫持续状态(status epilepticus,SE)。1864年Hghlings首先对脑血栓形成患者并发癫痫进行了报告,继而类似报道逐渐增多。但其发生几率各家报道不尽相同(表8-2)。多数作者研究证实不同类型脑卒中并发癫痫的几率不同,Kipatrick对各种类型脑卒中患者进行了分析,脑叶或广泛脑出血并发癫痫为15.4%(SE的4.5%),蛛网膜下腔出血为8.5%(SE为3.3%),皮层梗死6.5%(SE为1.3%),大脑半球短暂缺血发作3.7%(SE为1.8%)。Bladin的前瞻性多中心研究,出血性卒中并发癫痫的几率为10.6%(28/265例),缺血性卒中的几率为8.6%(140/1632例)。国内报告不同类型卒中并发癫痫的几率分别为:蛛网膜下腔出血18.63%~27.3%,脑出血4.83%~11%,脑梗死6.31%~15.7%。

  表8-2 部分文献脑卒中并发癫痫几率

【病例】发作性双眼向右侧凝视12天,左侧肢体抽动1周

  近年来,随着脑卒中发病率增加,并发癫痫或SE的患者有所增加,尤其是老龄患者更为突出。2001年Waterhouse等报告老年人SE发生率为86/10万,几乎是普通人群的2倍。随着老年人口的增长,SE还会增加,并成为临床医师与公共卫生人员面临的重要问题。

  (二)脑卒中并发癫痫机制

  脑卒中并发癫痫分为早发性和迟发性两种类型,早发性癫痫(卒中发病2周内)与多种因素有关,如:①病变或病变邻近脑组织缺血缺氧,神经细胞膜稳定性改变,出现过度除极化;②病变直接刺激局部神经元;③脑水肿和颅内压增高影响神经元正常生理活动;④应激反应使体内相关激素水平发生改变;⑤水、电解质和酸碱失衡引起痫性放电。迟发性癫痫(发病2周后)主要与:①病灶中心区域脑组织坏死、软化,中风囊机械性刺激;②神经细胞变性;③脑卒中后其中心区神经细胞死亡,代之以胶质细胞增生。总之,脑循环紊乱导致的细胞能量代谢急剧耗竭,特别是葡萄糖代谢障碍是早发性癫痫的启动因素;而兴奋性氨基酸增多,N‐甲基‐D‐天冬氨酸(NMDA)和非NMDA受体启动,钙通道激活,钙离子大量内流以及神经元减少和反应性胶质细胞增生是迟发性癫痫的发生机制。

  (三)脑卒中并发癫痫时间

  脑卒中后早发癫痫与迟发癫痫的时间界定尚有争议,以往Kipatrick和Fukujima认为2周为宜,而近几年来Velioglu、Labovitz和Ferro等学者提出7天更好,因为7天之内癫痫与SE是脑卒中急性期的特征之一。目前,脑卒中并发早发癫痫与迟发癫痫的关系尚不清楚。早发癫痫并不预示一定有迟发癫痫。Kilpatrick等分别对31例脑卒中伴早发癫痫与不伴早发癫痫两组患者进行随访观察,发现早发癫痫患者中约1/3出现迟发癫痫;无早发癫痫患者仅1/10出现迟发癫痫,两组比较具有显著统计学差异。至于脑卒中伴早发癫痫的多,还是迟发癫痫的多,有两种不同的结果(表8-3),2001年朱培俊的调查报告更为详尽,其包括两所医院近8年收治的2100例脑卒中患者。其中192例患者并发癫痫,脑卒中后即刻癫痫发作的12例(6.25%),卒中后1周癫痫发作的71例(36.98%),2周癫痫发作的24例(12.5%),3周癫痫发作的17例(8.85%),4周癫痫发作的3例(1.56%),1~2个月癫痫发作的32例(16.67%),2~3个月癫痫发作的28例(14.58%),3~6个月癫痫发作的4例(2.08%),卒中后遗症期癫痫发作的仅1例(0.52%)。如果以2周为界,早发性癫痫(55.73%)稍多于迟发性癫痫。尽管国内外早发癫痫与迟发癫痫比例不尽相同,但积极的抗癫痫治疗是一致的,至于是否需要预防性用药暂不能确定。

  表8-3 部分文献脑卒中并发癫痫的时间

【病例】发作性双眼向右侧凝视12天,左侧肢体抽动1周

  (四)脑卒中并发癫痫类型

  脑卒中并发癫痫的最常见类型有部分性发作(partial seizure)和全面性发作(generalized seizure),二者均可表现为癫痫持续状态(status epilepticus,SE)。脑卒中并发SE又分为惊厥性SE(convulsive SE,CSE)和非惊厥性SE(nonconvulsive SE,NCSE),前者病死率和致残率均很高。

  1997年Fukujima等研究发现脑卒中并发部分性癫痫发作比全面性癫痫发作更常见,国内何伋、唐家琦的调查结果与之一致。而国内徐评议、杨明华调查结果显示脑卒中并发全面性癫痫发作更常见。朱培俊研究显示两者差别不明显(表8-4)。2002年杨明华对癫痫类型进行了更详尽的分析:50例脑卒中后癫痫患者,2周内癫痫发作34例患者中,全面强直-阵挛发作22例,部分性发作6例,持续状态6例;两周后癫痫发作的16例,其中全面强直-阵挛发作4例,部分性发作12例。从而提示脑卒中早发性癫痫中,全面强直-阵挛发作明显多于部分性发作;而迟发性癫痫刚好相反,部分性发作多于全面强直-阵挛发作,两者比较均有显著性差异。2003年Afsar等发现脑卒中伴早发癫痫患者中非惊厥性SE较惊厥性SE更多见。脑卒中伴非惊厥性SE存在治疗延迟问题,从而成为临床上急需解决问题。

  表8-4 部分文献脑卒中并发癫痫发作类型

【病例】发作性双眼向右侧凝视12天,左侧肢体抽动1周

  (五)脑卒中并发癫痫病灶部位

  多数文献报道,脑卒中并发癫痫与病灶部位关系明确。2000年Bladin等前瞻性研究证实,无论缺血性卒中还是出血性卒中,只要病灶位于皮层癫痫危险增大。2001年Labovitz等在904例早发性癫痫研究发现,深部脑梗死0.6%(2/356),脑叶梗死5.9%(20/341);深部脑出血4.0%(4/101),脑叶出血14.3%(7/49),从而提示脑叶病变比深部病变更易发生癫痫。2001年朱培俊报告脑卒中并发癫痫的病灶位于皮质的占61.98%,皮质下的38.02%;病变累及一个脑叶的39.86%,累及一个以上脑叶占60.14%。由此提示,卒中伴癫痫发作的病灶多位于皮质,特别是病变累及2个脑叶时。有学者认为单纯基底核病变患者癫痫的发生率较低,或基底核病变不会引起癫痫发作。小脑和脑干病变偶有癫痫发作。

  (六)脑卒中并发癫痫危险因素

  脑卒中后癫痫发生危险与病变性质和部位有关。出血性脑卒中发生癫痫的危险大于缺血性脑卒中。出血性脑卒中的蛛网膜下腔出血并发癫痫高于脑出血;缺血性脑卒中的脑栓塞并发癫痫高于脑血栓形成。病变部位比脑卒中性质更重要,大脑皮质病变无论出血还是缺血均比大脑深部病变发生癫痫的危险性大。有研究提示颈内动脉系统阻塞性疾病是癫痫发作的独立危险因素。2001年Labovitz等报告提示,病灶部位和脑卒中类型是早发癫痫的危险因素,而糖尿病、高血压、吸烟、饮酒、年龄、性别以及种族不是决定性因素。2003年cheung的一项中国人脑卒中后癫痫的回顾性研究表明,单变量分析中男性、大于65岁、前循环梗死、皮质损害和大面积损害是有意义的危险因素,但多变量分析后只有男性和皮质损害为独立危险因素。

  (七)脑卒中并发SE的系统性影响

  脑卒中并发SE时将发生系统性损害,如下丘脑自主神经中枢和脑干自主神经核团受累,神经体液调节紊乱和内脏迷走神经功能紊乱,各脏器血管舒缩功能和腺体细胞功能受损,多器官功能衰竭。这一过程的具体机制是:①大量兴奋性氨基酸释放和钙超载,神经元受损。但神经元损伤由持续过度放电引起,还是代谢紊乱所至,并不十分清楚;②全身肌肉剧烈收缩和中枢性交感神经兴奋,体温增高(可达40~42℃);③呼吸抑制,二氧化碳分压升高(和氧分压降低),引起呼吸性酸中毒;骨骼肌持续收缩,氧过度消耗和供氧不足,大量乳酸释放,导致代谢性酸中毒;④持续剧烈的肌肉收缩,骨骼肌溶解,大量K+释出,血钾增高;⑤儿茶酚胺类物质大量释放,血糖增高。随着SE的进展,血中儿茶酚胺类物质逐渐减少,血糖下降;⑥血浆儿茶酚胺水平增高,体循环压力迅速上升,血液从高阻力的体循环转移到低阻力的肺循环,肺毛细血管压力增大,肺泡通透性增高,血液漏入肺泡腔,急性神经源性肺水肿发生;⑦自主神经受刺激,唾液及呼吸道分泌增多,反流或吸入导致吸入性肺炎;⑧心肌处于缺氧状态,加之交感与副交感神经失衡,引起心律失常;⑨肌溶解后肌红蛋白超过15mg/L时大量管型形成,其堵塞或毒害肾小管引起急性肾小管坏死和急性肾衰竭;⑩全身炎性反应和组织氧代谢障碍,自由基反应加剧,引起肝功能衰竭。

  (八)脑卒中的癫痫发作脑电图

  2000年邵景芳报道脑卒中并发癫痫患者EEG改变以局部θ波为主,而脑出血患者以局部δ波为主,其差异有统计学意义。通常卒中急性期并发癫痫的脑电图改变为普遍性或局限性慢活动以及痫样放电,而恢复期则为痫样放电。2001年毕桂南报告的资料表明,脑卒中后早期发性癫痫的脑电图以α波变慢多见,年纪较大的存在α波泛化的趋势;其他还常见于局限性高波幅慢节律和高波幅锐波发放。迟发性癫痫可见到背景活动不对称、α波波率不规则、局限性高波幅慢节律(θ波为主)或高波幅锐波发放。2003年王惠娟报告脑出血和脑梗死的EEG异常率为89.4%。部分病例出现痫性放电,而爆发性痫性放电出现较少。如果出现周期性单侧痫性放电,提示脑内可能形成慢波癫痫病灶,是脑卒中后癫痫发作的危险因素。

  (九)脑卒中并发癫痫治疗

  脑卒中后癫痫患者绝大多数可以通过抗癫痫药物控制。卒中急性期过后是否继续抗癫痫治疗存在争议。有人认为须继续服药治疗,也有人认为长期服药对抗癫痫无所帮助,因卒中急性期导致癫痫的因素,如脑血管痉挛、颅内压增高等已基本消除。多数学者认为脑卒中后早发性癫痫患者随着病情的好转而自行停止,抗癫痫药持续2周后应逐渐停药。迟发性癫痫患者须长期服用抗癫痫药,甚至终生服药。抗癫痫药物的选择视癫痫发作类型而定。早发性癫痫,单药口服即可,SE可联合静脉用药,一旦癫痫控制,改为单药治疗。2004年王贵清提出老年患者早发性癫痫治疗经验,即抗癫痫治疗见效后,脑电图随访3个月至半年,不再发作者逐渐停药。EEG提示阵发性发放的局灶高幅慢波或周期性单侧痫样放电时,可能出现迟发性癫痫,故应继续服药治疗。

  (十)脑卒中并发癫痫预后

  大多数脑卒中后癫痫治疗得当患者预后良好。SE患者如不能及时终止发作则病死率增加,随着抽搐持续时间的延长,脑损伤和并发症增多,如脑水肿、脑组织缺血缺氧、水电解质酸碱平衡紊乱、继发感染以及智能减退。有研究表明癫痫发作持续20分钟,大脑皮质氧分压降低,脑细胞受损伤;持续超过1小时,脑细胞出现不可逆转的器质性损害;持续状态超过13小时,多数死亡。也有学者提出惊厥状态应在1.5小时内得到控制,患者可获得完全恢复;如果惊厥持续10小时才控制,则常引起脑损伤。人们对SE的认识已经有了很大的提高,SE的病死率从50%下降至12%,如果治疗水平再有提高,病死率和致残率将进一步下降。

  四、危重疑难点分析

  1﹒患者入院前12天在无新发脑卒中(陈旧病灶)基础上频繁癫痫发作,故诊断为脑卒中后迟发性癫痫。虽然最初的发作并非持续性(发作间期意识清醒),但治疗时间延迟太久,最终发展为癫痫持续状态。

  2﹒患者对抗癫痫药物反应不佳。除了药物干预措施延迟外,患者因长期服用抗精神病药物(治疗精神分裂症)而耐药性增强是抗癫痫治疗不理想的另一原因。转入N‐ICU后,经进一步调整抗癫痫药物以及降颅压、抗感染、降温、纠正水电解质酸碱平衡等综合治疗后抽搐停止。由此提示,对特殊患者癫痫持续性状态的控制除了调整好抗癫痫药物外,还须注意稳定内环境,消除引起病灶异常放电的危险因素。

  3﹒患者抽搐控制后,静脉和肌内注射抗癫痫药逐渐停用,但意识障碍在较长一段时间(17天)内无改善。究竟意识障碍为暂时性的还是永久性的,很难判定。经过电生理技术的脑功能评估,如脑电图提示大脑皮质仍处于药物抑制状态,体感诱发电位提示单侧(左侧)皮层功能障碍(且不能排除陈旧性脑梗死影响),考虑意识障碍与频繁癫痫发作和大剂量抗癫痫药物有关。经继续支持治疗后患者逐渐清醒。

  来源:《危重神经疾病病例研究》

  作者:宿英英

  页码:81-90

  出版:人民卫生出版社

(来源:中国眼网) (责编:cnophol)

发表评论】【加入收藏】【告诉好友】【打印此文】【关闭窗口
  • 下一条信息: 没有了
  • 更多关于(发作性双眼向右侧凝视,左侧肢体抽动,中华眼科在线,病例,眼科)的信息
      热门图文

    专家建议:近视眼镜最

    眼线别再情定纯黑色了

    这些人不适合佩戴角膜

    日系眼妆教程 无辜可爱
      健康新看点
      健康多视点
    ad推广
      图话健康
    点击申请点击申请点击申请点击申请点击申请点击申请点击申请点击申请点击申请
    39健康网眼病新浪福建健康21世纪药店网医脉通眼科新浪厦门健康合肥爱尔眼科一心医药集团重庆桐君阁湖北眼科网武汉眼科医院
    天津眼科医院武汉民生耳鼻喉医院中国近视网中国卫生人才网39五官科爱尔英智眼科康华眼科网久久眼科网阿里医药眼科网山水画

    Copyright © 2007 中华眼科在线 网站备案序列号: 京ICP备08009675号
    本网站由武汉五景药业主办