精彩推荐:青光眼 白内障 近视 远视 散光 斜视弱视 角膜溃疡 角膜炎 沙眼 眼外伤 更多疾病
大众频道
专业频道
时尚频道
互动频道
疾 病 | 保 健 | 爱眼动态 | 名医名院
知 识 | 美 食 | 自检自测 | 爱眼纪事
资 讯 | 临 床 | 学 术 | 文 献
图 谱 | 医 患 | 继 教 |
五官之美 | 整 形 | 美 容
眼镜一族 | 妆 容 | 图 库
眼科在线 | 预留位置
眼科知道 | 在线咨询
  当前位置:当前位置: 中华眼科在线 → 医学频道 → 临床医学 → 病例分析 → 正文 切换到繁體中文 用户登录 新用户注册
眼肌病变:别忘了眼部结节病

http://www.cnophol.com 2016-6-12 9:44:40 中华眼科在线

   结节病是一种多器官多系统受累的非干酪样肉芽肿性疾病,多为自限性,是引发眼局部炎症的常见原因之一。但累及眼外肌者少见,需要与其他引起眼外肌病变的疾病鉴别。现结合亚特兰大健康管理中心影像科的 James 医生在 ACR 上的病例来对该病进行介绍。

  病史

  77 岁男性,左侧眼眶肿胀。

  影像学检查及发现

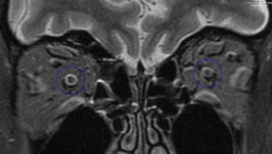
1.jpg

  图 1 为平扫冠状 T1,示左侧眼眶上内侧异常信号(椭圆)

2.jpg

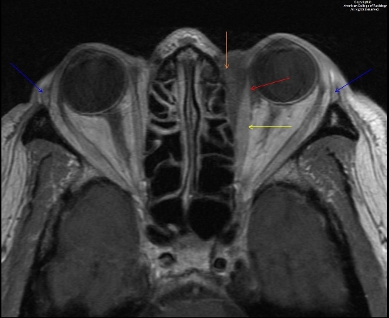
  图 2 为平扫横断 T1 ,示病变主要位于眶内肌锥外间隙内(黄色箭头),并累计内直肌及肌腱、眼球筋膜(红色椭圆),蔓延内肌锥间隙内和眶后间隙内(橘黄色箭头)

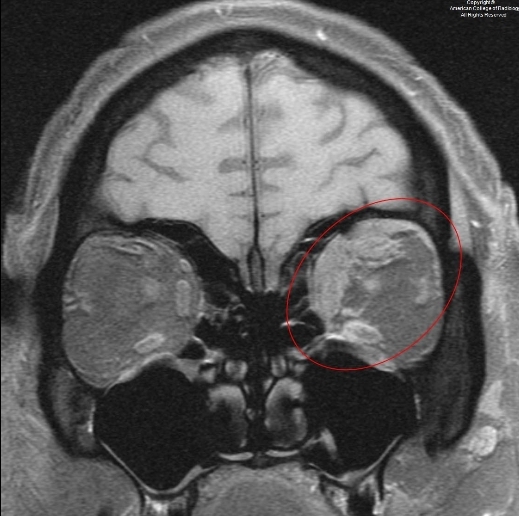
3.jpg

  图 3 为平扫冠状压脂 T1 示,左侧眼眶内上方异常信号(椭圆),与周围脂肪不同,病灶压脂后信号并没有降低

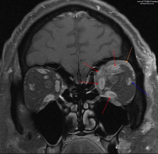
4.jpg

  图 4 为增强 T1 压脂冠状位,示上直肌、内直肌、下直肌和上斜肌增粗且强化(红色箭头),外直肌受累不明显(蓝色箭头),并有肌锥外脂肪和眶骨膜浸润性表现(桔色箭头)

5.jpg

  图 5 为横断强化 T1,示病灶呈明显强化(桔色箭头),内直肌肌腹(黄色箭头)和肌腱(红色箭头)均有增粗和强化表现。双侧泪腺对称,未见增大(蓝色箭头)

6.jpg

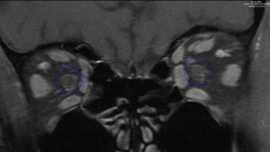
  图 6 为冠状 STIR 序列示视神经未见异常(圈)

7.jpg

  图 7 为冠状 T1 强化伴压脂序列示双侧视神经对称,未见异常强化(圈)

  诊断

  结节病累及眶内眼外肌(眼眶内结节病)

  病例要点

  多种疾病均可导致眼外肌增粗,如甲状腺眼病、特发性炎性假瘤、淋巴组织增生、淋巴瘤、转移瘤、近期创伤、蜂窝组织炎和肉芽肿性疾病。眼眶内结节病多累及泪腺,且为双侧,泪腺外器官受累少见,且几乎均为单侧。影像学检查有助于眼外肌结节病与甲状腺相关性眼病鉴别。

  讨论

  结节病是一种全身性的,累及多个器官的非干酪性肉芽肿病,最常见的受累部位为肺部和淋巴结。多为自限性,是引发眼局部炎症的常见原因之一。

  结节病多见于中青年人,老年人及儿童亦可罹患。所有结节病患者中,眼部受累约占 20%~25%,通常还累及其他器官,也可以表现为单一眼部受累。结节病的发病年龄约为 30 岁左右,眼眶内结节病好发于 50 岁以上妇女。

  结节病的眼部病变可影响眼及其附属器的各个部位,如眼部血管、神经炎、眼外肌肉、眼眶壁、泪腺以及眼周皮肤。结节病单独累及眼眶少见,且通常只累及泪腺,双侧同时累及多见。泪腺外病变非常少见,包括视神经和 / 或神经鞘、眼外肌、眼睑和眶膈前软组织。眼眶结节病最常见的临床表现为葡萄膜炎及慢性泪囊炎。

  强化压脂 MR 序列对于眼眶结节病的诊断非常有帮助,受累结构表现为长 T1 信号,且为均匀强化。有病例报道称,病变表现为等或低 T2 表明病变倾向于良性浸润。PET/CT 也有助于诊断眼部的活动性结节病,有病例报道称患者眼球的 FDG 摄取量增加,伴纵膈淋巴结肿大。最终确诊需要组织活检。

  累及眼外肌的结节病与特发性炎性假瘤鉴别困难,因为其临床和影像学表现类似。两种疾病均可以出现单侧眼痛,眼外肌肌腱和肌腹均受累,以及出现眶周脂肪的炎症和其他眶内结构受累。流行病学和辅助检查有助于这两种疾病的鉴别诊断。

  结节病女性多于男性,患者表现为高钙尿症和特征性血清标记物升高,如血管紧张素转化酶。特发性炎性徦瘤多累及上直肌和内直肌,而眼眶内结节病累及的眼外肌没有特异性。与其他眶内疾病相比,特发性炎性徦瘤也可表现为 T2 信号降低,这是由于细胞和纤维成分增多导致。甲状腺相关性眼病通常表现为无痛性突眼、眼外肌肌腹增粗而不累及肌腱,特异性的眼外肌受累,且多为双侧受累。

  结节病的治疗包括 2 周的大剂量激素冲击,并逐渐减量。有案例报道称使用抗结核药物可以缓解慢性眼眶和皮肤结节病。

(来源:丁香园) (责编:cnophol)

发表评论】【加入收藏】【告诉好友】【打印此文】【关闭窗口
  • 下一条信息: 没有了
  • 更多关于(眼肌病变,眼部结节病,中华眼科在线)的信息
      热门图文

    专家建议:近视眼镜最

    眼线别再情定纯黑色了

    这些人不适合佩戴角膜

    日系眼妆教程 无辜可爱
      健康新看点
      健康多视点
    ad推广
      图话健康
    点击申请点击申请点击申请点击申请点击申请点击申请点击申请点击申请点击申请
    39健康网眼病新浪福建健康21世纪药店网医脉通眼科新浪厦门健康合肥爱尔眼科一心医药集团重庆桐君阁湖北眼科网武汉眼科医院
    天津眼科医院武汉民生耳鼻喉医院中国近视网中国卫生人才网39五官科爱尔英智眼科康华眼科网久久眼科网阿里医药眼科网山水画

    Copyright © 2007 中华眼科在线 网站备案序列号: 京ICP备08009675号
    本网站由武汉五景药业主办