精彩推荐:青光眼 白内障 近视 远视 散光 斜视弱视 角膜溃疡 角膜炎 沙眼 眼外伤 更多疾病
大众频道
专业频道
时尚频道
互动频道
疾 病 | 保 健 | 爱眼动态 | 名医名院
知 识 | 美 食 | 自检自测 | 爱眼纪事
资 讯 | 临 床 | 学 术 | 文 献
图 谱 | 医 患 | 继 教 |
五官之美 | 整 形 | 美 容
眼镜一族 | 妆 容 | 图 库
眼科在线 | 预留位置
眼科知道 | 在线咨询
  当前位置:当前位置: 中华眼科在线 → 医学频道 → 临床医学 → 病例分析 → 正文 切换到繁體中文 用户登录 新用户注册
病例学习:眼内炎人工晶体摘还是不摘?

http://www.cnophol.com 2016-3-15 10:28:08 中华眼科在线

  爱荷华大学医院与医学中心的 Eric 教授 2016 年 2 月 11 日在 JAMA Ophthalmology 分享一例慢性复发性人工晶状体眼眼内炎病例。

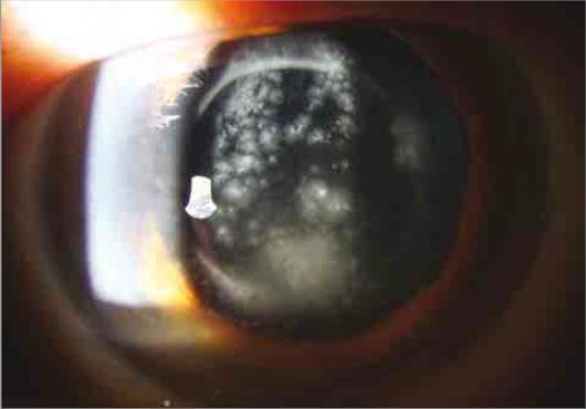
  患者为 1 名免疫力健全的 80 余岁妇女,4 个月前曾行右眼白内障手术,手术顺利,右眼最佳矫正视力(BCVA)为 0.8。两周前,患者自觉右眼视物模糊,且逐渐加重,伴眼前间断性黑影飘动,但没有眼痛或其他刺激性主诉,右眼 BCVA 为 0.4。查体可见:大的 KP,前房浮游物(+)及房闪,无积脓,3 片式后房人工晶体前后表面大量白色沉积物(如图 A)。

1.jpg

  图 A 为眼前节裂隙灯照相:可见大的 KP,前房浮游物、房闪及前后表面大量白色沉积物的人工晶体

  前部玻璃体富有细胞(++~+++),上方血管弓可见约 2 个视盘面积的脉络膜视网膜瘢痕及黄斑区外的玻璃膜疣(如图 B)。眼部 B 超检查提示:玻璃体后脱离及中度的玻璃体混浊。左眼为有晶体眼,除眼底可见类似的玻璃膜疣外无其他异常。

2.jpg

  图 B 为右眼眼底照相:上方血管弓约 2 个视盘面积的非活动性脉络膜视网膜瘢痕及黄斑外的玻璃膜疣,未及活动性脉络膜视网膜炎征象

  予以右眼玻璃体腔穿刺,微生物检查阴性,行玻璃体腔注射盐酸万古霉素、头孢他啶。局部点用醋酸泼尼松、氧氟沙星 4 次 / 日,随访过程中将激素增加至觉醒期间每 2 小时一次,4 天后右眼 BCVA 改善至 0.6。随访至 1 个月时 BCVA 仍保持尚佳,KP 消失,眼底检查同前,遂逐渐减少激素频次。然而随访至 2 个月时,右眼前房及玻璃体炎症再次出现,并伴有轻度黄斑水肿。

  您的诊断?下一步的选择是什么?

  A 再次局部使用醋酸泼尼松 / 氧氟沙星滴眼液

  B 再次玻璃体活检、玻璃体腔注射抗生素

  C 玻璃体腔或后部 Tenon 下注射曲安奈德

  D 玻璃体切除联合人工晶体、囊膜去除

  诊断:慢性复发性人工晶体眼眼内炎

  下一步:D 玻璃体切除联合人工晶体、囊膜去除

  预后

  予以此患者玻璃体切除联合人工晶体取出、玻璃体腔注射万古霉素,并对玻璃体样本、囊膜、人工晶体进行病理、微生物学分析。组织学分析尚不能够确认异常微生物。微生物培养在麦德布鲁克 7H10 琼脂上培养出龟分枝杆菌,药敏试验则提示此病例的细菌对早期及晚期予以的头孢霉素、万古霉素都耐药。

  玻璃体切除及人工晶体、囊膜去除后的无晶体眼一直平静,再无炎症复发的征象。患者 BCVA 恢复至基线,并计划行前房人工晶体植入。

  讨论

  种种风险、利弊、可行的措施悉数与患者讨论。鉴于此患者慢性复发性病程及临床发现均与人工晶体相关性眼内炎相一致,患者选择进行玻璃体切除联合人工晶体取出。玻璃体活检提示龟分枝杆菌阳性。尽管术前局部激素治疗的视力改善,但玻璃体切除联合人工晶体取出的最佳长期效果也不错。

  继发于非典型非结核杆菌—龟分枝杆菌的眼内炎不论是在诊断还是治疗上都极具挑战性。此微生物可效仿痤疮丙酸杆菌眼内炎的临床表现,但生长缓慢,且传统媒介、染料染色效果较差。长期低度眼内炎症、暂时性激素有效及囊膜沉积物均提示囊袋存在龟分枝杆菌栖居。

  龟分枝杆菌为革兰式阳性、耐酸细菌,可引起严重的、难治性感染,常为创伤、留置导管、手术、慢性病、或免疫抑制剂相关的播散性感染及局部感染。玻璃体腔注射抗生素而非玻璃体切除可治愈多数晶状体切除术后的眼内炎,但关于龟分枝杆菌眼内炎的罕见病例报道曾有严重视力下降的描述。

(来源:丁香园) (责编:cnophol)

发表评论】【加入收藏】【告诉好友】【打印此文】【关闭窗口
  • 下一条信息:
  • 更多关于(病例学习,眼内炎,人工晶体,摘还是不摘)的信息
      热门图文

    种植睫毛会对眼睛产生

    近视的你如何选一副酷

    怎么样戴彩瞳才不伤眼

    单眼皮怎么化妆才时尚
      健康新看点
      健康多视点
    ad推广
      图话健康
    点击申请点击申请点击申请点击申请点击申请点击申请点击申请点击申请点击申请
    39健康网眼病新浪福建健康21世纪药店网医脉通眼科新浪厦门健康合肥爱尔眼科一心医药集团重庆桐君阁湖北眼科网武汉眼科医院
    天津眼科医院武汉民生耳鼻喉医院中国近视网中国卫生人才网39五官科爱尔英智眼科康华眼科网久久眼科网阿里医药眼科网山水画

    Copyright © 2007 中华眼科在线 网站备案序列号: 京ICP备08009675号
    本网站由武汉五景药业主办