精彩推荐:青光眼 白内障 近视 远视 散光 斜视弱视 角膜溃疡 角膜炎 沙眼 眼外伤 更多疾病
大众频道
专业频道
时尚频道
互动频道
疾 病 | 保 健 | 爱眼动态 | 名医名院
知 识 | 美 食 | 自检自测 | 爱眼纪事
资 讯 | 临 床 | 学 术 | 文 献
图 谱 | 医 患 | 继 教 |
五官之美 | 整 形 | 美 容
眼镜一族 | 妆 容 | 图 库
眼科在线 | 预留位置
眼科知道 | 在线咨询
  当前位置:当前位置: 中华眼科在线 → 医学频道 → 临床医学 → 病例分析 → 正文 切换到繁體中文 用户登录 新用户注册
高血压导致增殖性视网膜病变一例

http://www.cnophol.com 2016-2-15 10:15:28 中华眼科在线

   2016-02-14 20:54来源:丁香园作者:Dr. Yang字体大小-|+

  增殖性视网膜病变常见于糖尿病视网膜病变、视网膜中央静脉阻塞等疾病,但过去从未报道过因未控制的恶性高血压导致的病例。美国马萨诸塞州眼耳医院的 Vavvas 教授于 2016 年 1 月在 JAMA Ophthalmology 上与我们分享了一例高血压导致双眼增殖性视网膜病变的案例。

  病例介绍

  患者为近 50 岁中年男子,因「双眼视力下降 8 月余,右眼加重数日」至急诊就诊,入院时血压 270/160 mmHg。

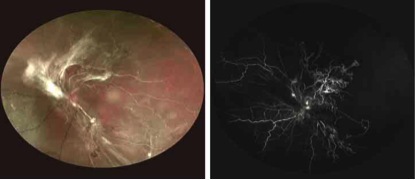
  眼科检查示:右眼指数,左眼手动。眼前节检查无明显异常。眼底检查示右眼浓密玻璃体出血,左眼轻度玻璃体出血,伴有上下血管弓之间纤维血管增生,导致黄斑处牵拉性视网膜脱离,以及眼底多发新生血管(图 A)。广视野血管荧光素造影(FA)显示脉络膜供血差,动脉硬化,视网膜毛细血管退化,新生血管区域渗漏(图 B,C,D)。

HT-1.jpg

  左图 A 为眼底大面积纤维血管增生;右图 B 为 FA 示脉络膜早期灌注差

HT-2.jpg

  左图 C 为 FA 示新生血管渗漏;右图 D 为 FA 示晚期血管渗漏

  病人自诉已 10 年未就诊,也未服用任何药物,家族中有高血压患者。病史采集未发现可能引起高血压及增殖性视网膜病变的其他原因,肾脏超声、肾功能检查及其他实验室检查未见明显异常,毛细血管血糖未见异常。

  病例讨论

  新生血管化导致眼底增殖性视网膜病变在缺血性视网膜疾病中很常见,包括增殖性糖尿病视网膜病变、镰状细胞病视网膜病变、早产儿视网膜病变、视网膜中央静脉阻塞等。然而,尽管缺血也是高血压性视网膜病变、脉络膜病变以及视神经病变的原因之一,此前却尚无高血压导致增殖性视网膜病变的报道。

  文献回顾仅有的两例高血压导致视网膜新生血管的病例报道,一例为 33 岁男性,由醛固酮增多症继发高血压导致的眼底渗出、出血、棉绒斑和大面积新生血管区域形成。第二例为子痫前期导致的视网膜外周部新生血管。

  Vavvas 教授认为,由于该患者在过去从未接受过任何眼科检查治疗,也未采取任何措施控制血压,在几个月中发生的视力下降展示了未控制的原发性高血压导致视网膜病变的自然病程,对临床高血压性视网膜病变的诊治有一定的临床意义。

(来源:丁香园) (责编:cnophol)

发表评论】【加入收藏】【告诉好友】【打印此文】【关闭窗口
  • 下一条信息: 没有了
  • 更多关于(病例学习,高血压导致增殖性视网膜病变)的信息
      热门图文

    新型仿生镜片让近视眼

    99%的人,都会搞错的八

    什么是卧蚕眼 卧蚕掀起

    不用整形!眼距过宽or过
      健康新看点
      健康多视点
    ad推广
      图话健康
    点击申请
    点击申请点击申请点击申请点击申请点击申请点击申请点击申请点击申请点击申请
    39健康网眼病新浪福建健康21世纪药店网医脉通眼科新浪厦门健康合肥爱尔眼科一心医药集团重庆桐君阁中国近视网39五官科
    爱尔英智眼科康华眼科网久久眼科网阿里医药眼科网山水画泉州新视力眼科武汉普瑞眼科眼科疾病点击申请点击申请

    Copyright © 2007 中华眼科在线 网站备案序列号: 京ICP备08009675号
    本网站由武汉五景药业主办