精彩推荐:青光眼 白内障 近视 远视 散光 斜视弱视 角膜溃疡 角膜炎 沙眼 眼外伤 更多疾病
大众频道
专业频道
时尚频道
互动频道
疾 病 | 保 健 | 爱眼动态 | 名医名院
知 识 | 美 食 | 自检自测 | 爱眼纪事
资 讯 | 临 床 | 学 术 | 文 献
图 谱 | 医 患 | 继 教 | 家 园
五官之美 | 整 形 | 美 容
眼镜一族 | 妆 容 | 图 库
眼科在线 | 预留位置
眼科知道 | 在线咨询
  当前位置:当前位置: 中华眼科在线 → 医学频道 → 文献 → 正文 切换到繁體中文 用户登录 新用户注册
伴癫痫和可逆性枕叶损害的Leber遗传性视神经病一例

http://www.cnophol.com 2012-6-27 10:17:50 中华眼科在线

  Leber遗传性视神经病(LHON)是母系遗传的线粒体疾病,以急性或亚急性双侧视力损害为特点,通常双眼先后发生,可伴有中心视野暗点。大多数患者没有其他神经系统表现,头颅MRI正常,出现运动障碍,癫痫、智能减退或周围神经病的患者少见[1]。近年来,LHON合并中枢神经系统白质损害不断被报道[2-3],但合并可逆性枕叶损害国内外未见报道。我们诊断l例基因确诊的LHON,头颅MRI显示可逆性枕叶病变,报道如下。

  临床资料

  患者男性,13岁,主因“视物不清进行性加重2个半月”于2010年4月30日入院。患者2010年2月14日晨起时发现左眼视物不清,2~3 d后右眼也出现视物不清,无眼红、眼痛等眼局部症状。此后双眼视力进一步下降,于3月19日就诊于外院眼科,测视力:右眼0. 05,左眼0. 04。眼底:右视盘略红,视盘旁可见片状出血点。视野:双眼中心视野类椭圆形视野缺损。按双眼视神经炎给予激素冲击治疗,4月1日(激素已减量)患者出现前额部疼痛,随后出现意识不清,面色青紫、四肢抽搐,无舌咬伤和尿便失禁,持续2—3 min缓解,共发作4次。按“脑炎”治疗10余天后,视力仍继续下降,为进一步诊治来我院就诊。患者自幼学习成绩好,体育成绩中等。家族中无同类疾病患者。

  神经系统体检:意识清楚,语言流利。高级皮质功能正常。双眼视力20 cm指数,中心暗点。眼底:左眼视盘颜色淡。双眼睑无下垂,双侧眼球居中,眼动好,无眼震及复视,双侧瞳孔等大等圆,直径约4 mm,光反射略迟钝。其余脑神经未见异常。运动系统、感觉系统、深浅反射检查未见异常。脑膜刺激征阴性。

  脑电图检查:清醒状态下,基本节律9 Hz,全部导联轻度节律失调,两侧无波幅差;闭眼反应,α波抑制完全;睡眠中双侧峰波、锤波对称。

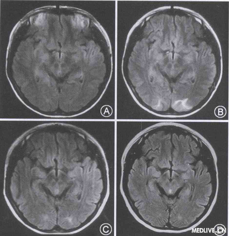
  眼底照相:左眼视神经萎缩,右眼部分视神经萎缩。红绿色盲。测视力双眼0. 06。乳酸丙酮酸试验:最小运动量试验轻度异常;前臂半缺血运动试验大致正常。2010年3月29日头颅MRI未见异常(图1);4月5日复查显示双枕叶片状长T.、T2信号,以左侧为著;4月18日复查双枕叶可见长T1、T2信号,以左侧为著,病变较前缩小;5月5日MRI病变消失。肌肉活体组织检查大致正常。基因检测:mtDNA G11778A突变,mtDNA 3243位点未见突变。

  

  图1患者4次头颅MRI(FLAIR像)。A:首次MRI检查未见异常(病程第42天);B:第2次MRI检查示双侧枕叶病变(病程第52天,癫痫发作后第5天);C:第3次MRI检查显示病灶缩小(病程第63天);D:第4次MRI显示病变完全消失(病程第81天)

  讨论

  本例患者通过基因检测确诊为LHON。患者13岁发病,病程初期双眼几乎同时出现无痛性中心视野视力下降。随后发现红绿色盲,眼底检查示双侧视神经萎缩,与LHON的临床特点相符。该病的早期很多病例被误诊为“双眼视神经炎”。患者在起病47 d出现线粒体脑肌病伴高乳酸血症和卒中样发作综合征( MELAS)的最常见症状:头痛和癫痫发作。MELAS患者的卒中样发作常累及枕叶和顶叶,临床表现为局灶性力弱、言语障碍、偏头痛或癫痫发作,伴随相应的脑实质损害,典型表现为灰白质均受累,类似脑梗死。本例患者头颅MRI表现与患者的癫痫发作密切相关,病灶累及皮质一皮质下结构,MRI显示病灶逐渐缩小,41 d后完全消失,类似MELAS病灶的演变过程[4]。

  有文献报道,LHON与MELAS可重叠出现,与线粒体呼吸链复合酶I基因突变相关[5]。本例患者无骨骼肌受累的临床表现,肌肉活体组织检查未发现不整红边纤维,基因检测未发现MELAS的热点突变mtDNA 3423点突变,却检测到mtDNA 11778点突变,证实为LHON[6]。MELAS患者脑梗死样损害的机制是非缺血性神经血管源性细胞机制,急性氧化磷酸化障碍可能在卒中样发作病理生理过程中起关键作用。本例患者枕叶损害的具体机制不明,我们推测可能与MELAS具有相似的机制,因为二者同属线粒体病。

  参考文献

  [1] Newman NJ, Lott M'r, Wallace DC. The clinical characteristics of pedigrees of I,eber's hereditary optic neuropalhy with the 11778 mutiation. Am J Ophthalmol, 1991, 111: 750-762

  [2] Horvdth R,Abicht A,Shoubridge EA, et al.Leber's hereditary optic neuropachy presenting as mulciple sclerosis-like disease of the CNS. J Neurol, 2000, 247: 65-67.

  [3] Perez F,Anne 0,Debruxelles S,et a1.Leber's optic neuropathy associated with disseminated white matter disease: a case report and review. Clin Neurolieurosurg, 2009, 111: 83-86.

  [4]Ito H,Mori K,Harada M, et al.Serial hrain imaging analysis of stroke-like episodes in MELAS. Brain Dev, 2008, 30: 483-488.

  [5] Blakely EL, de Silva R,King A,et al.LHOhl/MELAS overlap syndrome associated with a mitochondrial MTNDI gene mutation Eur J Hum Genet, 2005, 13: 623-627.

  [6]唐兴华,吴洵畎,章悦,等.伴自身免疫病样表现的Leber遗传性视神经病叠加综合征一例,中华神经科杂志,2010,43:74 -76.

   

  作者:首都医科大学附属宣武医院 笪宇威 张新卿 贾建平

  病例来源:中华神经科杂志2011年11月第44卷第11期

(来源:医脉通) (责编:xhhdm)

发表评论】【加入收藏】【告诉好友】【打印此文】【关闭窗口
  • 下一条信息: 没有了
  • 更多关于(眼神经,动脉)的信息
      热门图文

    大地色裸眼妆深邃无辜

    夏日化妆教你八大化妆

    去脸颊红血丝的有效方

    上睑下垂整形手术的常
      健康新看点
      健康多视点
    ad推广
      图话健康
    点击申请点击申请点击申请点击申请点击申请点击申请点击申请
    华夏近视网39健康网眼病中国眼镜网新浪福建健康21世纪药店网千龙求医查疾病眼科时讯中华网健康频道国家健康网医脉通眼科
    中国风湿网眼科英才网蓝莓眼科网中国眼科网39五官科中华碑林医学网整形美容英智眼科中国眼网久久眼科网

    Copyright © 2007 中华眼科在线 网站备案序列号: 京ICP备08009675号
    本网站由五景药业主办 北京金鼎盛世医学传媒机构负责运营 国家医学教育发展中心提供学术支持
    服务电话:010-63330565 服务邮箱: [email protected]