精彩推荐:青光眼 白内障 近视 远视 散光 斜视弱视 角膜溃疡 角膜炎 沙眼 眼外伤 更多疾病
大众频道
专业频道
时尚频道
互动频道
疾 病 | 保 健 | 爱眼动态 | 名医名院
知 识 | 美 食 | 自检自测 | 爱眼纪事
资 讯 | 临 床 | 学 术 | 文 献
图 谱 | 医 患 | 继 教 | 家 园
五官之美 | 整 形 | 美 容
眼镜一族 | 妆 容 | 图 库
眼科在线 | 预留位置
眼科知道 | 在线咨询
  当前位置:当前位置: 中华眼科在线 → 医学频道 → 临床医学 → 病例分析 → 正文 切换到繁體中文 用户登录 新用户注册
【经典病例】Cogan-Reese综合征1例

http://www.cnophol.com 2012-3-2 13:23:14 中华眼科在线

  作者: 鞍山市第三医院眼科 韩凤荣

  北京同仁医院眼科中心 唐圻

  (一)病例介绍

  患者女,62岁。因右眼异物感,时有疼痛,视力逐渐下降2年就诊。8年前因“双眼闭角型青光眼”曾行手术治疗。全身检查未见异常。

  眼部检查:

  视力:右眼颞侧光感,左眼0.4,矫正不提高。

  眼压:右眼35mmHg,左眼18mmHg。

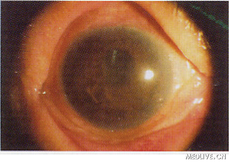
  右眼球结膜混合充血,角膜全层水肿,下方角膜上皮多个水泡,内皮附有较多色素,下方周边虹膜与角膜缘相粘,上方虹膜根切部与房角相粘,中央前房深约1.5CT,虹膜表面较多散在黑褐色带蒂小结节,虹膜隐凹消失,稍呈铺席状外观。下方虹膜有部分萎缩,瞳孔呈垂直椭圆形,开大约5mm×3mm,瞳孔缘色素外翻,虹膜后粘于晶状体表面,瞳孔直接间接对光反应消失,晶状体混浊,眼底窥不清(图1)。左眼晶状体混浊,余未见异常。

  诊断:(1)右眼Cogan-Reese综合征;(2)双眼老年性白内障。

  治疗:建议右眼经巩膜睫状体半导体激光光凝及角膜层间灼烙术。患者暂不同意手术治疗,予降眼压药控制眼压,对症治疗。

  

图1瞳孔缘色素外翻,虹膜后粘于晶状体表面,瞳孔直接间接对光反应消失,晶状体混浊,眼底窥不清

  图1 瞳孔缘色素外翻,虹膜后粘于晶状体表面,瞳孔直接间接对光反应消失,晶状体混浊,眼底窥不清

  (二)讨论

  1、Cogan-Reese综合征的特点有哪些?

  Cogan-Reese综合征是虹膜角膜内皮综合征系列中三个类型之一[1],其病因尚不清楚。本病例特点:①老年女性,单眼发病;②右眼角膜上皮水泡,实质水肿,内皮污秽;③右眼周边虹膜与房角和角膜缘相粘;④右眼虹膜表面有较多散在黑褐色带蒂小结节,部分虹膜萎缩。

  2、临床上如何鉴别诊断Cogan-Reese综合征?

  鉴别诊断:①结节病性色素膜炎。结节病为一病因不明的良性慢性全身疾病。约有10%~50%患者眼部受累,虹膜面及瞳孔缘可见散在灰白色或黄灰色小结节,多有前色素膜炎表现。往往合并视网膜、脉络膜及玻璃体病变。因小梁网炎症肿胀,被渗出物阻塞或虹膜周边前粘连,可继发青光眼。②先天性虹膜色素痣综合征[2]。③原发性闭角型青光眼。

  3、临床上如何治疗Cogan-Reese综合征?

  Cogan-Reese综合征所致青光眼属难治性青光眼,早期首选复合式小梁切除术,但随着病程的进展,膜样物堵塞滤过道后,眼压再次升高,可再次行滤过手术。但已发生角膜内皮失代偿性大泡性角膜病变者,角膜移植成功率极低。药物控制眼压有助于减轻角膜水肿,但不能使水肿消退。该例患者用药治疗眼压仍高,并有异物感和偏头痛,视功能不佳,故建议做角膜层间灼烙术和二极管睫状体光凝,以消除角膜刺激症状和降低眼压。

  【参考文献】

  [1]周文炳.临床青光眼[M].北京:人民卫生出版社,2000,206-211.

  [2]卢凤荷,叶天才.先天性虹膜色素痣综合征一例[J].中华眼科杂志,1998,34:364.

(来源:医脉通网) (责编:王艳丽)

发表评论】【加入收藏】【告诉好友】【打印此文】【关闭窗口
  • 下一条信息: 没有了
  • 更多关于(Cogan-Reese,视力,眼压)的信息
      热门图文

    达人示范完美眼妆教程

    王菲重庆个唱造型惊艳

    打造完美无瑕妆容的技

    打造情人节靓妆 让你甜
      健康新看点
      健康多视点
    ad推广
      图话健康
    点击申请点击申请点击申请点击申请点击申请点击申请点击申请点击申请
    华夏近视网39健康网眼病中国眼镜网新浪福建健康21世纪药店网千龙求医查疾病114个性导航眼科时讯中华网健康频道国家健康网
    我友健康眼科新闻中华碑林医学网整形美容英智眼科浙江眼科网中国眼网眼科医学网久久眼科网阿里医药眼科网

    Copyright © 2007 中华眼科在线 网站备案序列号: 京ICP备08009675号
    本网站由五景药业主办 北京金鼎盛世医学传媒机构负责运营 国家医学教育发展中心提供学术支持
    服务电话:010-63330565 服务邮箱: [email protected]