精彩推荐:青光眼 白内障 近视 远视 散光 斜视弱视 角膜溃疡 角膜炎 沙眼 眼外伤 更多疾病
大众频道
专业频道
时尚频道
互动频道
疾 病 | 保 健 | 爱眼动态 | 名医名院
知 识 | 美 食 | 自检自测 | 爱眼纪事
资 讯 | 临 床 | 学 术 | 文 献
图 谱 | 医 患 | 继 教 | 家 园
五官之美 | 整 形 | 美 容
眼镜一族 | 妆 容 | 图 库
眼科在线 | 预留位置
眼科知道 | 在线咨询
  当前位置:当前位置: 中华眼科在线 → 医学频道 → 临床医学 → 病例分析 → 正文 切换到繁體中文 用户登录 新用户注册
11岁男孩视力差 查为虹膜异色症

http://www.cnophol.com 2012-2-3 10:04:43 中华眼科在线

  作者:南昌大学第二附属医院眼科 熊小艳 赵菊莲

  (一)病例资料

  患者男,11岁。因于学校体检时发现双眼视力差,2个月于2010年8月10日来我院就诊。患者无家族病史,足月顺产,父母均为汉族,非近亲联姻。发育及智力正常,平素身体健康。全身皮肤、毛发与正常人相同。全身检查未见其他异常。

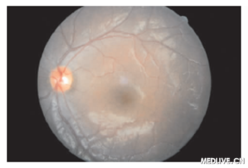
  眼科检查:视力右眼为0.4,左眼为0.5;矫正视力右眼+5.25/+1.5×700 =0.6,左眼+4.75/+2.0×1100 =0.80眼压正常,色觉、立体视觉正常。双眼角膜透明,前房中深,双侧瞳孔直径约4nun,对光反射灵敏。右眼瞳孔区呈红色反光,虹膜呈淡褐色,色泽明显淡于左眼(图1).晶状体及玻璃体透明,眼底呈橙红色,视乳头红色与周围红色难于分清,中周部脉络膜血管清晰透见(图2)。左眼前节及眼底未见明显异常(图3)。光学相干断层扫描检查(OCT)示双眼黄斑区未见明显异常(图4、5)。

  

图1有眼虹膜呈淡褐色,色泽明显淡于左眼

  图1有眼虹膜呈淡褐色,色泽明显淡于左眼

  

图2右眼底呈橙红色,视乳头红色与周围红色难于分清,黄斑中心    凹反光不清,中周部脉络膜脉络膜血管清晰透见。

  图2右眼底呈橙红色,视乳头红色与周围红色难于分清,黄斑中心 凹反光不清,中周部脉络膜脉络膜血管清晰透见。

  

图3左眼底未见异常

  图3左眼底未见异常

  

图4右眼OCT未见明显异常
图5右眼OCT未见明显异常

  图4左眼OCT未见明显异常图5左眼OCT未见明显异常

  临床诊断:双眼复性远视性散光,有限虹膜异色症。

  (二)病例讨论

  虹膜异色症是指因虹膜病变引起色素脱失所表现的以虹膜色泽改变为特点的一类病变。发生虹膜异色症的原因主要包括遗传因素、虹膜炎症或其他因素。通常可将其分为先天性与获得性两种类型[1]。虹膜的颜色是由虹膜组织的色素沉淀及分布决定的,因此在形成过程中任何因素影响以上的色素分布都会造成眼睛颜色的不同,同时虹膜的颜色与遗传有密切的关系,因种族不同,颜色不同,白色人种因缺乏色素,虹膜呈浅黄色或浅蓝色,有色人种因色素多,虹膜色深,呈棕褐色。而先天性虹膜异色主要是由遗传因素所决定的[2]。

  本例患者双眼复性远视性散光,右眼虹膜色淡,眼底呈橙红色,中周部可清楚透见脉络膜血管。而相比之下,左眼前节及眼底均未见异常。鉴于上述临床表现及检查,考虑本病为单眼先天性虹膜异色症。此类病例临床报道较少,因先天性虹膜异色症患者一般影响视力不大,无特殊不适,多在体检时发现。临床上应与ruchs虹膜异色性睫状体炎相鉴别。后者多伴有炎症表现,以虹膜异色、白色KP和并发白内障、青光眼等为主要特点。目前先天性虹膜异色症尚无有效的治疗手段,虹膜颜色明显异常者可以通过配戴周边涂色的角膜接触镜达到美容效果。

  【参考文献】

  [1]杨钧主编.眼科学彩色图谱[M].第二版.北京:人民卫生出版社,2002:253.

  [2]杨钧主编.现代眼科手册[M].北京:人民卫生出版社,1993:27.

  病例发表:《中国实用眼科杂志》2011年2月第29卷第2期

(来源:中国实用眼科杂志) (责编:王艳丽)

发表评论】【加入收藏】【告诉好友】【打印此文】【关闭窗口
  • 下一条信息: 没有了
  • 更多关于(视力,虹膜)的信息
      热门图文

    春节倍有面子 甜美名媛

    吸脂减肥有年龄限制吗

    妙用眼膜使其升值护明

    东方人隆鼻最重要的五
      健康新看点
      健康多视点
    ad推广
      图话健康
    点击申请点击申请点击申请点击申请点击申请点击申请点击申请点击申请
    华夏近视网39健康网眼病中国眼镜网新浪福建健康21世纪药店网千龙求医查疾病114个性导航眼科时讯中华网健康频道国家健康网
    我友健康眼科新闻中华碑林医学网整形美容英智眼科浙江眼科网中国眼网眼科医学网久久眼科网阿里医药眼科网

    Copyright © 2007 中华眼科在线 网站备案序列号: 京ICP备08009675号
    本网站由五景药业主办 北京金鼎盛世医学传媒机构负责运营 国家医学教育发展中心提供学术支持
    服务电话:010-63330565 服务邮箱: [email protected]