精彩推荐:青光眼 白内障 近视 远视 散光 斜视弱视 角膜溃疡 角膜炎 沙眼 眼外伤 更多疾病
大众频道
专业频道
时尚频道
互动频道
疾 病 | 保 健 | 爱眼动态 | 名医名院
知 识 | 美 食 | 自检自测 | 爱眼纪事
资 讯 | 临 床 | 学 术 | 文 献
图 谱 | 医 患 | 继 教 | 家 园
五官之美 | 整 形 | 美 容
眼镜一族 | 妆 容 | 图 库
眼科在线 | 预留位置
眼科知道 | 在线咨询
  当前位置:当前位置: 中华眼科在线 → 医学频道 → 临床医学 → 病例分析 → 正文 切换到繁體中文 用户登录 新用户注册
泪腺Castleman病二例

http://www.cnophol.com 2011-11-8 9:02:56 中华眼科在线

  作者:四川大学华西医院眼科 刘陇黔 刘春玲 夏瑞南 罗清礼

  来源:中华眼科杂志2006年4月第42卷第4期

  Castleman病( Castleman’s d isease, CD )又称血管滤泡淋巴结增生( angio follicular lymph node hyperplasia) 或巨大淋巴结增生( giant lymph node hyperplasia),多发生于胸内(纵隔或肺门淋巴结),其次为颈部、锁骨上淋巴结及腹膜后等,可发生于肾、骨髓或脑,罕见于泪腺[1] 或眼眶[2]。我们诊治了2例泪腺Castleman病, 现就其临床表现、病理改变及治疗报道如下。

  例1

  患者女性,35岁,因右上睑无痛性结节,缓慢长大3年,于2003年4月18日入住我院。体格检查: 全身情况良好,除右上眼睑有肿块外,余无异常。眼部检查: 右眼裸眼视力0.3,左眼0.6;右上睑皮肤增宽,颞侧半睑皮下可扪及多结节状硬性肿块,大小约2.5 cm×1.5 cm, 上睑缘略呈“S”形, 睑裂稍缩窄, 右眼球突出并向鼻侧下方移位。眼球突出度: 右眼16.0 mm, 左眼12.5 mm, 眶距96.0 mm (图1 )。眼眶CT扫描(冠状位及轴位): 右侧上睑泪腺区可见大小约2.5 cm ×1.5 cm 软组织密度肿块影, 肿块密度均匀, 肿块包绕眼球颞上缘, 但与眼球能分开, 肿块推挤眼球向下移位(图2)。推断: (1)右眼睑泪腺区软组织肿块(性质待定) ; (2)双上颌窦、筛窦及右额窦炎性反应。临床诊断: 右泪腺肿块( 性质待定)。4月29日,全身麻醉下切开右眶上缘皮肤,切除肿瘤,术中可见右泪腺区肿块大小约3.0 cm×2.8 cm×1.5 cm, 呈卵圆形, 有纤维性包膜, 与周围组织无明显粘连,切开包膜层, 肿块呈分叶状。

  

图1 右上睑颞侧多结节状硬性肿块, 上睑缘略呈“S”形, 右眼球前突并向鼻下方移位  图2 眼眶CT 扫描(轴位)显示右眼球颞上方软组织块影, 肿块内呈多结节状

  图1 右上睑颞侧多结节状硬性肿块, 上睑缘略呈“S”形, 右眼球前突并向鼻下方移位

  图2 眼眶CT 扫描(轴位)显示右眼球颞上方软组织块影, 肿块内呈多结节状

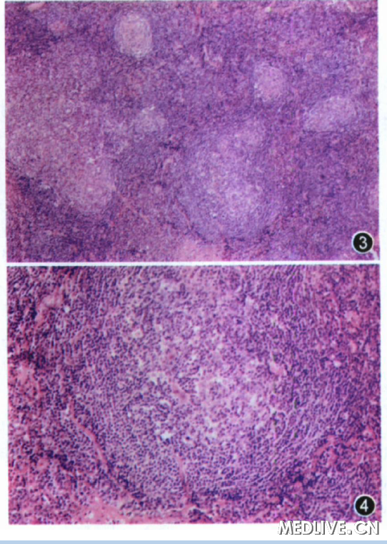
  组织病理学改变: 大体检查可见暗褐色质中组织, 大小约3.9 cm×3.6 cm×2.8 cm, 切面暗红色和灰白色。显微镜下可见肿块有薄纤维包膜,病变内有较多的淋巴样滤泡, 滤泡大小不一,多数较小,滤泡之间血管较丰富,可见玻璃样变血管,浆细胞和淋巴细胞浸润,另有血管长入滤泡内,滤泡中心周围淋巴细胞呈“葱皮样”环绕( 图3,4) 。以上病变形成多个结节并有纤维分隔。病变中少数残存的泪腺组织。免疫组织化学检查( ABC 法): 滤泡间区细胞轻链kappa( kappa light chains)和轻链lambda ( lambda light chains), 双轻链表达, 提示多克隆增生。滤泡树枝状细胞CD21染色阳性, Bc l-2染色阴性。最后诊断: 右泪腺Castleman病(玻璃样变血管与浆细胞混合型)侵犯睑部和眶部的泪腺。

  

图3 多个淋巴样滤泡大小不一, 滤泡中心外周有“葱皮样”淋巴细胞环绕, 有些滤泡互相融合形成较大、形状各异的淋巴样滤泡,滤泡间区有浆细胞和淋巴细胞及玻璃样变的血管  HE染色×70  图4 有较大的淋巴样滤泡,滤泡中心及其外周有淋巴细胞和浆细胞,并可见血管长入滤泡内  HE 染色×176

  图3 多个淋巴样滤泡大小不一, 滤泡中心外周有“葱皮样”淋巴细胞环绕, 有些滤泡互相融合形成较大、形状各异的淋巴样滤泡,滤泡间区有浆细胞和淋巴细胞及玻璃样变的血管 HE染色×70

  图4 有较大的淋巴样滤泡,滤泡中心及其外周有淋巴细胞和浆细胞,并可见血管长入滤泡内 HE 染色×176

  术后右上眼睑轻度下垂,眼球外展轻度受限,裸眼视力0.3,余未见异常,术后1年6个月随访,未见复发,全身情况良好。

  例2

  患者男性, 55岁, 因双眼睑肿胀3年,于2003年7月10日来我院就诊。患者近视30多年, 全身除消瘦外未见其他异常。眼部检查: 右眼裸眼视力0.1、左眼0.1, 双眼睑明显肿胀, 眼球突出度双侧均为16.5 mm, 眶距100 mm ( 图5)。我院曾拟诊为甲状腺功能亢进性突眼,但是查甲状腺功能正常,未见其他甲状腺相关眼病的体征。遂拟诊断: 双侧泪腺Castleman病。眼眶CT扫描(冠状位和轴位): 双眼眶外、上部肌锥外可见不规则软组织均匀密度影,边界模糊,与泪腺分界不请,强化不明显(图6),余未见异常。推断: (1)双侧眼眶外上部肌锥外软组织密度影,考虑为炎性假瘤;(2)双侧蝶窦、前后组筛窦、左额窦及上颌窦炎; (3) 右侧中鼻道上颌窦开口区见软组织密度影。7月14日局部麻醉下做右眉弓皮肤切口,切除大部分泪腺区肿块。组织病理学改变: 大体检查可见暗褐色质中组织,大小约1.6 cm×1.6 cm×0.8 cm,切面灰白色。显微镜下可见泪腺组织中散在淋巴样滤泡,有血管长入滤泡中心,滤泡中心外周有“葱皮样”排列的淋巴细胞环绕,滤泡间区有玻璃样变的血管、散在分布的嗜酸细胞及纤维结缔组织。病理诊断: 双侧泪腺Castleman病(玻璃样变血管型)。术后口服泼尼松35 mg /d, 服药2 d后,眼睑肿胀明显减轻,泼尼松缓慢减量。术后1年随访,病情稳定。

  

图5 双上、下眼睑肿胀,睑裂缩窄,上睑缘略呈“S”形 图6 眼眶CT 扫描(冠状位)显示双眼眶上方及颞侧软组织块影,肿块内略呈多结节状

  图5 双上、下眼睑肿胀,睑裂缩窄,上睑缘略呈“S”形

  图6 眼眶CT 扫描(冠状位)显示双眼眶上方及颞侧软组织块影,肿块内略呈多结节状

  讨论

  Castleman病分为单中心性(或称局限型)和多中心性两类[1] 。临床表现为单侧或双侧泪腺睑部或眶部(眶颞上方)质硬或呈结节状肿块。肿块大小多为3.0 cm×2.0cm,上睑呈“S”形,表示泪腺睑叶受累,眼球不同程度突出或偏位是由于眶部泪腺受累所致[3] ,可伴全身症状,但是单中心性者伴全身症状较少见。组织病理学分为三型: 玻璃样变血管型( hyaline-vascular type,HV ),浆细胞型( plasma celltype,PC ),混合型( mixedvariant,MV) 。本文例1为单中心性玻璃样变血管-浆细胞混合型。例2为多中心玻璃样变血管型。病理诊断时应与泪腺良、恶性淋巴上皮病变,炎性假瘤,反应性淋巴样增生,Kimura 病及恶性淋巴瘤浸润泪腺等相鉴别[4]。本病病因不详[5,6] 。Castleman病预后一般较好,有报道眼眶Castleman病患者存活20年以上[7-9],但需长期随访检查。

  参考文献

  1 罗清礼,王琳,夏瑞南,等. 泪腺Castleman病伴颌下腺受累4 例.中华眼科杂志,1997,33: 390-391.

  2 Park KS, C hoi Y J, Song KS. Hyaline-voscular type Castleman’s disease involving bothorbits. Acta Ophthalmic Scand,2002,80: 537-539.

  3 Bowne WB,Lew is JJ,F ilippa DA,et a.l The management of unicentric and multicentric Castleman’s disease. A report of 16 casesand a review of th e literature. C ancer,1999,85: 606-717.

  4 夏瑞南. 泪腺和泪囊肿瘤. 见: 孙为荣, 牛膺筠, 主编. 眼科肿瘤学. 北京: 人民卫生出版社, 2004. 311-338.

  5 Am in HM, Medeiros LJ, Manning JT,et a.l D issolut ion of the lymphoid follicle is a feature of HHV8 + variant of plasm a cell Castleman’s d isease. Am J Su rg Patho,l 2003,27: 91-100.

  6 Pauwals P,C in PD,Vlasveld LT,et a.l Achromosomal abnormalityin hyaline vascular castleman’s disease evidence for clonal proliferation of dysplastic stromal cells. Am J Surg Patho,l 2000,24:882-888.

  7 Chronow sk iGM, Ha CS,Wilder RB,et a.l Treatment of unicentric and multicentric castleman’s disease and the role of radioth erapy. Cancer,2001,92: 670-676.

  8 A lyahya GA,Prause JU,Heegaard S. Castleman’s disease in theorbit. A 20-year follow up. Acta Ophthalmic Scand,2002,80: 540-542.

  9 VasefM, Katzin WE, Mendelssohn G,et a.l Report of a case of localized Castleman’s disease with progression to malignantlymphom a. Am J C lin Patho,l 1992,98: 633-636.

  图3 多个淋巴样滤泡大小不一, 滤泡中心外周有“葱皮样”淋巴细胞环绕, 有些滤泡互相融合形成较大、形状各异的淋巴样滤泡,滤泡间区有浆细胞和淋巴细胞及玻璃样变的血管 HE染色×70

  图4 有较大的淋巴样滤泡,滤泡中心及其外周有淋巴细胞和浆细胞,并可见血管长入滤泡内 HE 染色×176

  图5 双上、下眼睑肿胀,睑裂缩窄,上睑缘略呈“S”形

  图6 眼眶CT 扫描(冠状位)显示双眼眶上方及颞侧软组织块影,肿块内略呈多结节状

(来源:中华眼科杂志2006年4月第42卷第4期) (责编:xhhdm)

发表评论】【加入收藏】【告诉好友】【打印此文】【关闭窗口
  • 下一条信息: 没有了
  • 更多关于(眶内壁,泪腺)的信息
      热门图文

    内双眼皮的MM如何画好

    眼妆小物 瞬间令你眼睛

    本季流行彩妆 打造国际

    眼部化妆 不同眼型眼影
      健康新看点
      健康多视点
    ad推广
      图话健康
    点击申请点击申请点击申请点击申请点击申请点击申请点击申请点击申请
    华夏近视网39健康网眼病中国眼镜网新浪福建健康21世纪药店网千龙求医查疾病114个性导航眼科时讯中华网健康频道我友健康
    眼科新闻中华碑林医学网整形美容英智眼科浙江眼科网中国眼网眼科医学网久久眼科网阿里医药眼科网首席医学网

    Copyright © 2007 中华眼科在线 网站备案序列号: 京ICP备08009675号
    本网站由五景药业主办 北京金鼎盛世医学传媒机构负责运营 国家医学教育发展中心提供学术支持
    服务电话:010-63330565 服务邮箱: [email protected]