|
Ⅳ期患者共26例,9例伴有筛板后浸润,5例伴有筛板浸润,8例伴有筛板前浸润,仅4例视神经无浸润。除6例外,其余20例均接受了治疗。死亡3例,其中2例伴有筛板后浸润(接受了治疗),1例视神经无浸润(未接受治疗)。
291例患者中有5例死亡,肿瘤细胞分化均不良,其中3例PEC-stage达Ⅳ期(2例伴有视神经手术断端的肿瘤细胞浸润);1例为双眼患者,一眼摘除,另一眼行放射治疗,摘除眼的PEC-stage为0期,视神经仅筛板前浸润,放射治疗眼眼底检查无复发征象,患儿因颅内压增高,行腰椎穿刺发现脑脊液内有肿瘤细胞。这4例均因肿瘤细胞颅内转移死亡。第5例为双眼RB患者,PEC-stage为Ⅰ期,视神经也仅筛板前浸润,其死因系发生了第二肿瘤急性淋巴细胞白血病。Ⅱ期和Ⅲ期无一例发生死亡。若仅考虑因RB瘤细胞转移导致的死亡,则0期至Ⅲ期死亡1例,其转移率为0.4%,而Ⅳ期死亡3例,其转移率达12.0%。

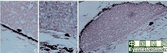
图1 视网膜色素上皮反应前期(0期)。视网膜色素上皮完整(箭) HE×400 图2 视网膜色素上皮反应期(Ⅰa期)。肿瘤细胞(RB)与玻璃膜直接接触,该处的视网膜色素上皮消失。玻璃膜完整(箭) PAS×400 图3 视网膜色素上皮反应期(Ⅰb期)。视网膜色素上皮(RPE)显示反应性变化,与玻璃膜脱离并隆起,肿瘤细胞位于其间,形成“夹层现象”。玻璃膜完整(箭) PAS×200 Fig.1 Prereactive phase of retinal pigment epithelium (phase 0).Retinal pigment epithelium was intact(arrow) HE×400 Fig.2 Reactive phase of retinal pigment epithelium(phase Ⅰa).The tumor cells(RB)had direct contact with Bruchs membrane,and retinal pigment epithelium was disappeared here.The Bruchs membrane was intact(arrow) PAS×400 Fig.3 Reactive phase of retinal pigment epithelium(phase Ⅰb).The retinal pigment epithelium(RPE)detached from the Bruchs membrane and the tumor cells located among them to form a“in press phenomenon”.The Bruchs membrane was intact(arrow) PAS×200

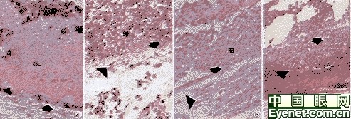
图4 视网膜色素上皮反应期(Ⅰb期)。视网膜色素上皮与玻璃膜形成的夹层内的肿瘤细胞发生坏死(Nc)。玻璃膜完整(箭) PAS×400 图5 脉络膜浸润早期(Ⅱ期)。玻璃膜结构被破坏(箭),肿瘤细胞(RB)位于脉络膜毛细血管层(箭头)表面 PAS×400 图6 脉络膜浸润中期(Ⅲ期)。肿瘤细胞(RB)侵入脉络膜毛细血管层内(箭)并向中血管层(箭头)浸润 HE×200 图7 脉络膜浸润晚期(Ⅳ期)。肿瘤细胞向深层大范围浸润脉络膜(箭),巩膜可同时受累(箭头) HE×200 Fig.4 Reactive phase of retinal pigment epithelium(phase Ⅰb).The tumor cells that were located among retinal pigment epithelium and Bruchs membrane had necrosis (Nc).The bruchs membrane was intact(arrow) PAS×400 Fig.5 Early phase of choroidal invasion(phase Ⅱ).The structure of Bruchs membrane was destroyed(arrow).The tumor cells(RB)were localed at the surface of choroidal capillary layer(arrowhead) PAS ×400 Fig.6 Middle phase of choroidal invasion(phase Ⅲ).The tumor cells(RB)infiltrated into choroidal capillary(arrow)and middle blood vessel layers(arrowhead) HE×200 Fig.7 Late phase of choroidal invasion(phase Ⅳ).The tumor cells infiltrated deep into the choroid(arrow)and involvement of sclera(arrowhead) HE×200
3 讨论
RB患者摘除的眼球组织病理学检查对判断RB患者预后极其重要,因此,在常规的光镜组织学检查中,对肿瘤细胞在眼组织内的浸润程度需有一个组织学上的判断标准。但肿瘤细胞的脉络膜浸润与预后的关系众说纷纭,需要有一个大家认可的组织学标准来统一认识。我们制定的色素上皮-脉络膜分期考虑到了RPE及Bruch膜在肿瘤细胞向脉络膜浸润过程中的屏障作用(Ⅰ,Ⅱ期)[9],并对肿瘤细胞侵入脉络膜的范围按其大小程度进行划分(Ⅲ期,Ⅳ期),在光镜下易辨认,便于在不同的个体和研究中对肿瘤细胞的浸润程度进行比较。
肿瘤细胞脉络膜浸润的比例以及对预后的影响各家报道不一,一般常规病理切片对脉络膜浸润的检出率为22.0%~43.2%[3-6],而连续切片的检出率可达62.0%[4]。这些结果是建立在不同的脉络膜浸润分期的基础上的,因而难以进行比较、判断。根据我们的分期得出本组患眼脉络膜浸润的比例为24.24%,与Shields等[3]的结果(23.0%)一致。Ⅳ期(脉络膜全层浸润)伴随视神经浸润的发生率较高(22/26,84.6%),其中筛板后浸润达34.6%,转移率高达12.0%,是0~Ⅲ期的30倍。Olver等[6]的研究结果表明,脉络膜浸润的高发生率对预后并不重要,重要的是脉络膜浸润的范围大小。Shields等[3]则认为,脉络膜浸润是预示转移的重要指征,尤其是当同时伴有视神经浸润时。但如果积极给予治疗,对预后的改善可起到一定的作用。本组26例Ⅳ期患者有20例接受了治疗,死亡2例,存活18例。因此,对病理诊断Ⅳ期的患者,要进行严密随诊,尤其同时伴有视神经浸润者,其发生转移的可能性明显增高,有必要进行特殊检查(如骨髓穿刺),给予相应的化疗或放射治疗。
4 参考文献
[1] Heinrich TH,Messmer EP,Hoepping W,et al.Das metastasierun-
gsrisiko beim retinoblastom.Klin Mbl Augenheilk,1991,199:319-324.
[2] Acquaviva A,Capolongo A,Hadjistilianou TH,et al.Risk and influence factors for metastasis as well as for second non-ocular tumors in retinoblastoma patients.In:Bornfeld N,ed.Tumors of the eye:proceeding of the international symposium on tumors of the eye.Amsterdam:Kugler Publications,1991.145-147.
[3] Shields CL,Shields JA,Baez KA,et al.Choroidal invasion of retino-
blastoma:metastatic potential and clinical risk factors.Br J Ophth-
almol,1993,77:544-548.
[4] Redler LD,Ellsworth RM.Prognostic importance of choroidal invasion in retinoblastoma.Arch Ophthalmol,1973,90:294-296.
[5] Stannard C,Lipper S,Sealy R,et al.Retinoblastoma:correlation of invasion of the optic nerve and choroid with prognosis and metastasis.Br J ophthalmol,1979,63:560-570.
[6] Olver JM,McCartney ACE,Kingston J,et al.Histological indicators of the prognosis for survival following enucleation for retinoblastoma.In:Bornfeld N,ed.Tumors of the eye:proceeding of the international symposium on tumors of the eye.Amsterdam:Kugler Publications,1991.59-67.
[7] Zimmerman LE.Retinoblastoma and retinocytoma.In:Spencer WH,ed.Ophthalmic pathology:an atlas and textbook.vol.Ⅱ.3rd ed.Philadelphia:W B Saunders,1985.1292-1351.
[8] Murphree AL,Rother C.Retinoblstoma.In:Ryan SJ,ed Retina.vol 1St.Louis:Mosby,1989.517-556.
[9] 杨红,Schilling H,Effert R,et al.297例视网膜母细胞瘤眼内色素上皮变化.同济医科大学学报,1998,27:103-105. 上一页 [1] [2] |