干扰素α-2b对结膜下成纤维细胞生长形态的影响
眼科 1999年第4期第8卷 临床研究
作者:熊新春 杜蜀华 魏厚仁
单位:熊新春 魏厚仁 同济医科大学附属协和医院眼科,430022武汉市;杜蜀华 同济医科大学附属同济医院
关键词:干扰素α-2b;成纤维细胞
摘 要 目的:探讨干扰素α-2b对体外培养的牛结膜下成纤维细胞是否具有抑制作用及其作用机制。
方法:采用光镜、电镜观察该细胞在含不同浓度干扰素α-2b培养液中的生长形态和粘附移动能力。
结果:干扰素α-2b能够使该细胞生长密度降低、伪足收缩、细胞变圆、移动能力减弱。
结论:干扰素α-2b具有抑制结膜下成纤维细胞粘附和移动生长的能力,提示可用于翼状胬肉、青光眼滤过术后,以减少结膜下瘢痕形成导致的手术失败。
分类号 R978.7
The effect of interferon α-2b on growth features of bovine fibroblasts subconjunctiva
Xiong Xinchun
Ophthalmol CHN.-1999,8(4).-241~242(Department of Ophthalmology,Xiehe Hospital,Tongji Medical University,Wuhan 430022)
The effect of interferon α-2b (IFN α-2b) on growth characteristics of bovine fibroblasts subconjunctiva has been observed by light,electron microscope.We found that the reduced cell density and pseudopodia compared with control indicated the inhibition of cell growth and poor movement after IFN α-2b treatment.The results raise the possibility that IFN α-2b can be used after glaucoma filtration and pterygium surgery or eye burns to reduce excessive scarring which could cause surgical failure and the chance of symblepharon formation.
Subject terms Interferon α-2b;Fibroblasts
干扰素α-2b(interferon α-2b,IFNα-2b)是人白细胞干扰素,在临床上能很好地治疗纤维瘢痕性疾病如全身硬化、肺纤维化、皮肤瘢痕疙瘩。结膜下瘢痕组织增生是青光眼滤过术后失败和翼状胬肉术后复发的主要原因[1]。本实验观察IFN α-2b对形成瘢痕的主要细胞成纤维细胞的体外培养是否具有抑制作用,为临床应用提供实验依据。
1 材料与方法
1.1 细胞培养
无菌操作取牛结膜下组织用200IU/mlⅠ型胶原酶(Sigma,USA)消化4~6小时,37℃,吹打离心,接种入含10%胎牛血清的RPMI-1640(Gibco,USA)培养液。传3代后胰酶消化,按2×105个/瓶接种入有盖玻片的15ml培养瓶中共18瓶,加入培养液4ml,18小时后加入IFN α-2b(Schering Corp.,USA),使最终浓度为0,0.005,0.05,0.5,5,7.5×104IU/ml,继续培养直到不含IFN α-2b培养瓶中细胞达到融合状态时终止培养。
1.2 光镜和电镜观察
每日用倒置相差显微镜观察细胞的生长融合状况。终止培养后,将每瓶中附有培养细胞的盖玻片取出,经2.5%戊二醛固定、脱水、临界点干燥,真空离子溅射喷镀仪喷镀,扫描电镜观察。
2 结果
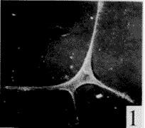
接种后的成纤维细胞大约4小时开始粘附至培养瓶底,同时细胞变长成为梭形,细胞伪足丰富(图1),移动能力强,生长迅速,大约36小时后达到融合状态。在无IFN α-2b培养瓶中生长的细胞主要为梭形细胞,细胞密度高。18小时后加入不同浓度的IFN α-2b,细胞普遍变圆,悬浮细胞多而粘附瓶底细胞少。细胞类型以多角形细胞多见,梭形细胞少见,细胞很少达到融合状态,密度低。电镜观察显示细胞伪足收缩,失去移动能力,似乎呈静止状态,在IFN α-2b浓度高时尤为明显(图2)。

图1 细胞不含INFα-2b培养液中伪足丰富,粘附迁移能力强SEM×1000

图2 细胞在含5104IU/ml INFα-2b接着液中培养36小时后伪足收缩呈多角形,粘附移动能力减弱SEM×1700
3 讨论
成纤维细胞是体内伤口愈合和瘢痕增殖的主要细胞,其粘附移动和分裂增殖是参与上述损伤修复的两个关键环节。近来发现的粘附分子等细胞外基质介导了包括肿瘤细胞浸润转移在内的多种细胞粘附与移动,例如近年来研究较多的纤维连接蛋白(fibronectin,FN)可作为一种粘附分子与细胞表面的受体结合,导致细胞骨架收缩,细胞产生移动,因此对细胞粘附移动能力的抑制同抑制其分裂增殖一样,可以达到抑制瘢痕形成的效果。本实验从光镜和超微结构形态上观察到:牛结膜下成纤维细胞在含有IFN α-2b培养液中培养后细胞普遍变圆,彼此分离、伪足收缩,失去移动生长能力,推测与IFN α-2b抑制细胞外基质的合成与分泌有关。最近报道:α及γ干扰素能够抑制成纤维细胞、骨细胞和肝上皮细胞合成胶原和纤维连接蛋白,并能增加分解细胞外基质的胶原酶的合成[2,3],进一步支持上述观点。
在临床上,一些抗代谢药物如5-氟尿嘧啶、丝裂霉素和平阳霉素因可抑制DNA或RNA合成已被用于青光眼滤过术和翼状胬肉手术后,但这些抗细胞增殖药物不仅容易引起角膜上皮缺损等不良反应,而且破坏血-房水屏障,导致青光眼滤过术后房水蛋白浓度的升高[4]。生物制剂干扰素具有毒性低的优点,即使玻璃体内大剂量(106IU/次)注射,眼组织也无形态上的改变[5]。进一步探讨干扰素α-2b的合理用药途径,将有利于开辟利用抑制细胞粘附移行来治疗眼内外纤维增生性疾病新途径。
4 参考文献
1 Gillies MC,Su T.细胞因子、纤维化与青光眼滤过术的失败.国外医学眼科学分册,1993,17(1):27.
2 Kahari VW,Heino J,Vuorio T,et al.Interferon-α and interferon-γ reduce excessive collagen synthesis and procollagen mRNA levels of scleroderma fibroblasts in culture.Biochem Biophys Acta,1988,968:45.
3 Beresford JN,Taylor GT,Triffitt JT,et al.Interferon and bone - a comparison of the effects of interferon-α and interferon-γ in cultures of human bone-derived cells and an osteosarcoma cell line.Eur J Biochem,1990,193:589.
4 Kawase K,Nishimura K,Yamamoto T,et al.Anterior chamber reaction after mitomycin and 5-flurouracil trabeculectomy:a comparative study.Ophthalmic Surg,1993,24(1):24.
5 Kertes PJ,Britton WA,Addison DJ,et al.Toxicity of intravitreal interferon alpha-2b.Invest Ophthalmol Vis Sci,1994,35(4):1534. |