精彩推荐:
青光眼
白内障
近视
远视
散光
斜视弱视
角膜溃疡
角膜炎
沙眼
眼外伤
更多疾病
大众频道
专业频道
时尚频道
互动频道
疾 病
|
保 健
|
爱眼动态
|
名医名院
知 识
|
美 食
|
自检自测
|
爱眼纪事
资 讯
|
临 床
|
学 术
|
文 献
图 谱
|
医 患
|
继 教
|
家 园
五官之美
|
整 形
|
美 容
眼镜一族
|
妆 容
|
图 库
眼科在线
|
预留位置
眼科知道
|
在线咨询
当前位置:当前位置:
中华眼科在线
→
医学频道
→
眼科图谱
→
病理图谱
→ 正文
切换到繁體中文
用户登录
新用户注册
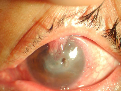
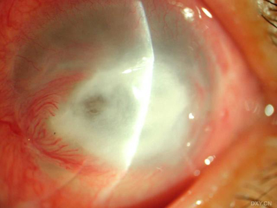
角膜病疑难眼病
http://www.cnophol.com 2009-6-11 9:00:47 中华眼科在线
角膜病疑难眼病
(来源:互联网)(责编:xhhdm)
【
发表评论
】【
加入收藏
】【
告诉好友
】【
打印此文
】【
关闭窗口
】
下一条信息: 没有了
更多关于(
眼睛,中华眼科在线,角膜病,角膜病疑难眼病
)的信息
向国外医学刊物投稿
“光明五区行,爱心送万家”
药水入眼美丽麻烦
眼睑松弛综合征
裂孔源性视网膜脱离术后黄斑区视网膜下液及
标识管理在眼科风险管理中的应用
贫困白内障患者可免费手术复明
玻璃体切割术后充气式颈椎牵引器的护理应用
LASIK术后当天电话回访患者的护理体会
LASEK手术角膜上皮瓣去除及保留两组病人护理
热门图文
今夏最抢镜的火辣活力
学化性感眼妆让诱惑电
决定女人健康的14个部
祛除鱼尾纹so easy
健康新看点
健康多视点
图话健康
Copyright © 2007 中华眼科在线 网站备案序列号: 京ICP备08009675号
本网站由
五景药业
主办
北京金鼎盛世医学传媒机构负责运营
国家医学教育发展中心提供学术支持
服务电话:010-63330565 服务邮箱:
[email protected]