精彩推荐:
青光眼
白内障
近视
远视
散光
斜视弱视
角膜溃疡
角膜炎
沙眼
眼外伤
更多疾病
大众频道
专业频道
时尚频道
互动频道
疾 病
|
保 健
|
爱眼动态
|
名医名院
知 识
|
美 食
|
自检自测
|
爱眼纪事
资 讯
|
临 床
|
学 术
|
文 献
图 谱
|
医 患
|
继 教
|
家 园
五官之美
|
整 形
|
美 容
眼镜一族
|
妆 容
|
图 库
眼科在线
|
预留位置
眼科知道
|
在线咨询
当前位置:
中华眼科在线
>>
医学频道
>>
眼科图谱
>>
病理图谱
切换到繁體中文
用户登录
新用户注册
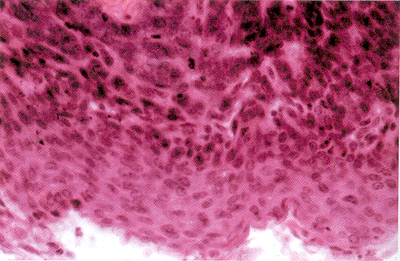
睑基底细胞癌
http://www.cnophol.com 2008-12-22 15:25:46 中华眼科在线
上皮细胞增生排列较紊乱,但也有上皮细胞规则地排列成栅状或环状。细胞大小不太一致,染色深,有丝分裂多见。
(来源:互联网)(责编:zhanghui)
下一条: 没有了
更多关于(
眼睛,中华眼科在线,睑基底细胞癌,眼科图谱
)的信息
verkalkte斑
白内障超声乳化术后应用科恒及非甾体类抗炎
分支动脉阻塞
白化病合并孔源性视网膜脱离2例
黄斑中心凹营养不良
LASIK术后角膜前表面曲率的分析与预测
LASIK手术中眼球旋转的观察研究
治疗圆锥角膜的几种方法
眼科CT、MRI检查适应症
株洲18岁女孩因病去世后捐眼角膜 将光明留在
热门图文
08冬季流行的金色彩妆
长着“桃花眼”的男星
三款必看时尚圣诞眼妆
圣诞节迷倒情人时尚眼
健康新看点
健康多视点
图话健康
Copyright © 2007 中华眼科在线 网站备案序列号: 京ICP备08009675号
本网站由
五景药业
主办
北京金鼎盛世医学传媒机构负责运营
国家医学教育发展中心提供学术支持
服务电话:010-63330565 服务邮箱:
[email protected]