精彩推荐:青光眼 白内障 近视 远视 散光 斜视弱视 角膜溃疡 角膜炎 沙眼 眼外伤 更多疾病
大众频道
专业频道
时尚频道
互动频道
疾 病 | 保 健 | 爱眼动态 | 名医名院
知 识 | 美 食 | 自检自测 | 爱眼纪事
资 讯 | 临 床 | 学 术 | 文 献
图 谱 | 医 患 | 继 教 | 家 园
五官之美 | 整 形 | 美 容
眼镜一族 | 妆 容 | 图 库
眼科在线 | 预留位置
眼科知道 | 在线咨询
  当前位置: 中华眼科在线 >> 医学频道 >> 前沿动态 >> 研究进展 切换到繁體中文 用户登录 新用户注册
干眼症结膜印迹细胞学研究

http://www.cnophol.com 2008-11-25 14:21:57 中华眼科在线

  1.3.3 分级:据NELSON’s分级标准进行分级[4]

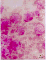
  0级:结膜上皮细胞形态正常,层状、大小一致,胞浆蓝绿色,N/C为1∶2,杯状细胞密集分布。目镜10倍、物镜10倍条件下观察5个视野分别计杯状细胞数,取其均值,则平均1个低倍视野下见12.1个杯状细胞。见图1、2所示。

图1 CIC分级0级(×100)

图2 CIC分级0级(×400)

  1级:结膜上皮细胞轻扩大,胞浆蓝绿色,N/C为1∶3,无角化,杯状细胞开始减少,密度下降,平均1个低倍视野下见7.4个杯状细胞。见图3、4所示。

图3 CIC分级1级(×100)

图4 CIC分级1级(×400)

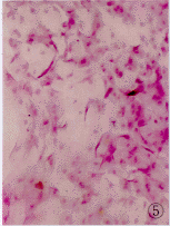
  2级:所有结膜上皮细胞均扩大,变扁平,胞浆兰绿或粉红色,N/C为1∶4~1∶5,轻度角化,杯状细胞明显减少,平均1个低倍视野下见2.7个杯状细胞。见图5所示。

图5 CIC分级2级(×100)

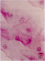
  3级:结膜上皮细胞胞浆内出现颗粒状物,核固缩崩解,上皮细胞胞浆成粉红色,N/C为1∶6~1∶8,出现不同程度的角化,杯状细胞完全丧失,视野下不见杯状细胞。见图6~8所示。

图6 CIC分级3级(×400)

图7 CIC分级3级(×400)

图8 CIC分级3级(×100)2 结果

  三组间各项检查均值经SPSS统计软件包处理,单因素方差分析,除S-I-T在非SS干眼组与SS干眼组差异无显著性外,其它检查在任何两组间差异均具显著性意义。结果见表1所示。

上一页  [1] [2] [3] [4] 下一页

(来源:互联网)(责编:zhanghui)

下一条:
更多关于(眼睛,中华眼科在线,眼科,结膜印迹细胞学CIC,杯状细胞,SS干眼,非SS干眼)的信息
  热门图文

今冬最IN尹恩惠贵妇烟

让你更美丽的6条化妆妙

13款最适合你的今冬眼

熬夜族试试敷木瓜除眼
  健康新看点
  健康多视点
  图话健康

Copyright © 2007 中华眼科在线 网站备案序列号: 京ICP备08009675号
本网站由五景药业主办 北京金鼎盛世医学传媒机构负责运营 国家医学教育发展中心提供学术支持
服务电话:010-63330565 服务邮箱: [email protected]