精彩推荐:青光眼 白内障 近视 远视 散光 斜视弱视 角膜溃疡 角膜炎 沙眼 眼外伤 更多疾病
大众频道
专业频道
时尚频道
互动频道
疾 病 | 保 健 | 爱眼动态 | 名医名院
知 识 | 美 食 | 自检自测 | 爱眼纪事
资 讯 | 临 床 | 学 术 | 文 献
图 谱 | 医 患 | 继 教 | 家 园
五官之美 | 整 形 | 美 容
眼镜一族 | 妆 容 | 图 库
眼科在线 | 预留位置
眼科知道 | 在线咨询
  当前位置: 中华眼科在线 >> 医学频道 >> 前沿动态 >> 研究进展 切换到繁體中文 用户登录 新用户注册
视网膜脱离模型的实验研究

http://www.cnophol.com 2008-11-20 15:57:37 中华眼科在线

  2 结果

  2.1 术中并发症 术中2眼在视网膜上造孔时发生视网膜表面出血,1眼量少,1眼 出血量稍多,未进入玻璃体腔,平铺在视网膜表面,色鲜红,范围约5~6 PD,但2眼均继续 实验,直至术毕未见出血增多。4眼术中发生裂孔扩大。其他所有眼手术经过顺利。

  2.2 术后观察 术后第1天观察实验组兔眼,除1眼结膜囊有少量黄白色分 泌 物外,其余眼结膜稍充血,所有眼角膜透明,前房清亮,晶状体透明,眼底可见玻璃体无混 浊,视网膜均有脱离,呈灰白色隆起3~4D,范围达75%~85%,裂孔可见约1~2PD, 最 大的1眼裂孔有4PD,裂孔均位于赤道部。结膜囊有少量分泌物的1眼,亦无眼内炎表现,予0 .3%氧氟沙星眼药水滴眼,庆大霉素4万单位/天,肌肉注射,2天后分泌物消失。另有2眼视 网 膜表面可见有出血,3天后基本吸收。所有模型眼RD维持4~6天,平均5.2天。1周后所有眼 视网膜在眼底镜下观察均已复位。

  2.3 病理组织学观察 对照组视网膜组织结构排列整齐,形态正常,光感受器细 胞与色素上皮细胞紧密相连,M%26uuml;ller细胞框架纤维结构完整(图1)。

  RD对照组光镜下可见2眼神经视网膜上皮层与色素上皮层分离。玻璃体内见少量炎症细 胞浸润和游离的色素上皮细胞(图2,3)。

  实验组中1周组和2周组各有1眼光镜下局部有浆液性扁平RD,其中色素上皮游离、肥大、增 生,少量淋巴样细胞浸润(图4)。1眼色素上皮细胞有轻度增生。其余10眼光镜下视网膜均 已复位,未见明显炎症细胞浸润。复位3周后视网膜组织结构与正常对照组无明显差异(图5 )。

图1 正常对照组(×10)

图2 脱离的视网膜(×10)

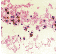
图3 玻璃体内的炎症细胞和RPE细胞(×40)

图4 浆液性RD(×40)

图5 复位3周的视网膜

上一页  [1] [2] [3] 下一页

(来源:互联网)(责编:duzhanhui)

下一条: 没有了
更多关于(眼睛,中华眼科在线,眼科,视网膜脱离,透明质酸钠,动物模型)的信息
  热门图文

让你更美丽的6条化妆妙

13款最适合你的今冬眼

熬夜族试试敷木瓜除眼

突发性眼袋试试冰敷
  健康新看点
  健康多视点
  图话健康

Copyright © 2007 中华眼科在线 网站备案序列号: 京ICP备08009675号
本网站由五景药业主办 北京金鼎盛世医学传媒机构负责运营 国家医学教育发展中心提供学术支持
服务电话:010-63330565 服务邮箱: [email protected]