|
3 讨论
霉菌病由存在于环境中的大量腐物寄生菌所引起,霉菌是一种机会致病菌,它常存在于正常人的口咽、 鼻腔和身体的其它开口处,人体健康时它不会致病,但当人们患有严重的糖尿病,或长期大量使用抗生素、皮质类固醇、抗代谢药物、放射治疗和吸毒引起机体免疫功能严重受损时,霉菌乘机而入,导致局部或全身的霉菌病[3-5]。而坏死性视网膜脉络膜炎多由血液循环中的霉菌所致,大多数为曲霉菌,其余则是念株菌和毛霉菌等。本组资料依据霉菌组织培养,即霉菌生长速度、数量、颜色和显微镜观察,结合病变组织的特殊染色和光、电镜所见的菌丝形态学,7例中的6例为曲霉菌,1例为毛霉菌感染。7例患者因长期使用大剂量皮质类固醇、免疫抑制或吸毒使机体免疫功能严重下降,视网膜和脉络膜的病变由血循环播散引起,霉菌先引起视网膜脉络膜受损,再扩散到玻璃体和眼前节。
霉菌性坏死性视网膜脉络膜炎发病急,1~3天内视功能严重受损,视力急剧下降,患者经常感到眼痛,有的畏光流泪[3]。我们收集的均属严重病例,眼部检查见结膜深充血,Tentall征阳性,瞳孔对光反射迟钝或消失,玻璃体浑浊,视网膜出血和灰白色坏死,2例发生视网膜脱离,2例出现玻璃体脓肿。因患者视力无光感,眼压低和发炎,最后摘除眼球。




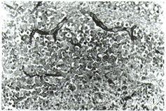
图1 在视网膜坏死区(N)和周围组织内有大量菌丝存在 PAS ×40 图2 菌丝阻塞视网膜血管,存在于视网膜和玻璃体内,视网膜严重受损 六胺银 ×40 图3 菌丝栓塞脉络膜血管(V),分布于脉络膜内,破坏脉络膜,部分菌丝穿过色素上皮(RPE)到达视网膜内 六胺银 ×40 图4 视网膜内毛菌丝粗大,呈钝角分支,视网膜受破坏 PAS ×40
fig.1 Numerous hyphae in retinal necrotic area and surrunding tissue PAS ×40 Fig.2 Hyphae thrombosed retinal vessel,existed in the retina,vitreous and severely damaged retina Silver methenamine ×40 Fig.3 Hyphae thrombosed choroid blood vessel and damaged choroid,a part of hyphae passed through retinal pigment epithelium(PRE)and reached in retina Silver methenamine ×40 Fig.4 Mucoraceous hyphae in retina were big and branching in obtuse angle,and destroyed retina PAS ×40
图5 电镜示苍白和密度高的菌丝,一菌丝部分跨过玻璃膜(B)、RPE和脉络膜严重破坏 醋酸铀,枸橼酸铅 ×3 000
Fig.5 Electron microscopy(EM)showed pale and dense hyphae,a hypha crossed bruch′s membrane(B),and RPE and choroid were damaged severely.uranium,lead ×3 000 |
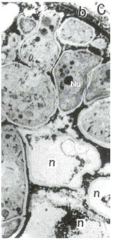
图6 电镜证实菌丝隔、核(Nu)、部分细胞器和坏死的菌丝(n),b示玻璃膜,C示脉络膜 醋酸铀,枸橼酸铅 ×1 000
Fig.6 EM revealed fungal septa,nucleus,a part of organelle and necrotic hyphae.b:bruch′s membrane,C:choroid uranium,lead ×1 000 |
霉菌性坏死性视网膜脉络膜炎所以出现如此严重的临床表现,有其独特组织病理学改变。霉菌通过血液循环到达视网膜脉络膜并阻塞其小动脉,使血管供应的组织发生梗塞坏死,阻塞小静脉易造成视网膜出血[6]。霉菌穿透能力强,可穿过血管壁进入视网膜脉络膜引起病变,霉菌也可通过组织坏死区向周围的视网膜脉络膜扩散,故在短期内造成视网膜脉络膜大量坏死,病人视力迅速下降。
深部霉菌感染一般采用静脉输入二性霉素B治疗,若二性霉素B与5氟胞嘧啶联合静脉输入,则抗菌能力更强。我们收集的病例虽静脉输入二性霉素B,但治疗效果不好,这可能与病人免疫功能低下,抗菌能力不强有关,与抗霉菌药物眼穿透能力差,霉菌阻塞血管使药物不能到达病变区也不无关系。因此霉菌性坏死性视网膜脉络膜炎的早期诊断早期治疗尤为重要[7]。因各种原因引起机体免疫功能下降,或有全身霉菌感染的病人,突然视力下降、眼痛,证实为视网膜脉络膜霉菌感染,应作患眼玻璃体切割,清除玻璃体内霉菌,玻璃体腔内再注入二性霉素B,全身亦静脉输入二性霉素B,可能有希望挽救部分病人视力。参考文献
1 惠延年,胡明,王琳等.人工晶体植入术后霉菌性眼内炎1例,中华眼科杂志,1994,30:229.
2 夏风华,黄翠萍.视网膜脱离术后霉菌性眼内炎1例.中华眼科杂志,1994,30:340.
3 Weishaar PD,Flynn HW Jr,Murray TG,et al.Endogenous aspergillus endophthalmitis.Clinical feature and treatment outcome.Ophthalmology,1998,105:57-65.
4 Anteby I,Kramer M,Rahav G,Benera D.Necrotizing choroiditis-retinitis as presenting symptom of disseminated aspergillosis after lung transplantation.Eur j Ophthalmology,1997,7:2394-2396.
5 Hunt KE,Glasgow BJ.Aspergillus endophthalmitis.An unrecoganized endemic disease in orthotopic liver transplatation.Ophthalmology,1996,103:757-767.
6 Bodoia RD,Kinyoun JL,Qingli L,et al.Aspergillus nercotizing retinitis.A clinico pathologic study and review.Retina,1989,9:226-231.
7 Scherer WJ,Lee K.Implication of early systemic therapy on the incidence of endogenous fungal endophthalmitis.Ophthalmology,1997,104:1593-1598.
(收稿:1999-01-04 修回:1999-05-03) 上一页 [1] [2] |