|
3 讨论
VEGF是高效的内皮细胞有丝分裂素,直接促进内皮细胞增生;并作用于内皮细胞,增加内皮细胞的通透性,对肿瘤血管基质的形成及肿瘤细胞生物学行为均有重要影响。VEGF在多种人类恶性肿瘤中有高表达,但RB中的表达情况报道甚少。




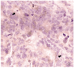
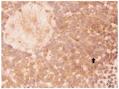
图1 RB组织VEGF免疫组织化学染色(未分化型)。VEGF阳性表达,RB细胞浆呈阳性染色(箭)。RPE:视网膜色素上皮层 LSAB法 ×1000 图2 RB组织假菊形团VEGF免疫组织化学染色。假菊形团中VEGF阳性表达,VEGF阳性细胞分布于外围的RB细胞浆(箭) LSAB法 ×250 图3 RB组织血管内皮细胞VEGF免疫组织化学染色。RB组织血管内皮细胞浆呈阳性染色(箭) LSAB法 ×1000 图4 正常视网膜VEGF免疫组织化学染色。正常视网膜视锥视杆层VEGF阳性表达(箭) LSAB法 ×200 图5 分化型RB组织VEGF免疫组织化学染色。分化型RB组织RB细胞浆呈VEGF弱阳性表达(箭)。OPL:外丛状层;IPL:内丛状层 LSAB法 ×250
Fig.1 VEGF immunohistochemical reaction of RB tissue(non-differentiated)、VEGF positive expressed,cytoplasm of RB cells showed positive reaction(arrow) LSAB method ×1000 Fig.2 VEGF immunohistochemical reaction in paeudorosete VEGF potitive expressed cells located at outer part of paudorosette(arrow) LSAB method ×250 Fig.3 VEGF immunohistochemical reaction in vascular endothelial cells of RB tessiue.Cytoplasm of vascular endothelial cells in RB showed VEGF positive reaction(arrow) LSAB method ×1000 Fig.4 VEGF immunohistochemical recction in normal retina.Rods and cones of normal retina.showed positive VEGF reaction(arrow) LSAB method ×200 Fig.5 VEGF immunohistochemical reaction in differentiated RB tissue.Cytoplasm of differentiated RB cells showed weak positive VEGF expression(arrow) LSAB method ×250
表1 VEGF表达与RB组织学分型的关系
Tab.1 Correlation between VEGF expression and
RB cell differentiation
| Defferentiation |
No. |
Intensity of VEGF expression |
P value |
| - |
+ |
++ |
+++ |
| Differentiated |
13 |
2 |
8 |
3 |
0 |
<0.05 |
| Non-differentiated |
27 |
1 |
7 |
11 |
8 |
表2 VEGF表达与RB浸润视神经的关系
Tab.2 Correlation between VEGF expression and
infltration of optic nerve
| Defferentiation |
No. |
Intensity of VEGF expression |
P value |
| - |
+ |
++ |
+++ |
| Infiltrated |
14 |
1 |
2 |
4 |
7 |
<0.05 |
| Non-infiltrated |
26 |
2 |
13 |
10 |
1 |
本实验结果表明,VEGF表达与RB的组织学分型相关,未分化型RB细胞VEGF表达明显高于分化型。Tanigawa等[5]对胃癌的研究中发现胃癌中VEGF表达与组织学分型相关,但高分化癌组织VEGF表达强于低分化癌组织,其报道胃癌中VEGF表达阳性率为71%。本研究中,RB组织VEGF阳性表达率为92.5%。Ellis等[6]报道VEGF在几乎所有的良、恶性结肠上皮中均表达。这种VEGF在不同组织类型中表达的差异可能与不同肿瘤细胞的生物学特性及不同肿瘤组织的肿瘤微环境有关。
本研究显示肿瘤细胞浸润视神经组的RB组织,其VEGF表达明显高于视神经未浸润组(P<0.05)。这一结果表明,RB细胞表达VEGF与RB肿瘤进展浸润能力有关。其机制可能通过自分泌方式刺激肿瘤细胞自身增生或通过增加肿瘤微血管密度,改善肿瘤组织微环境来实现。
本研究发现VEGF阳性染色细胞除RB细胞外,还可见于肿瘤血管内皮细胞,与Kvanta等[7]研究结果相一致。Kvanta认为血管内皮细胞的阳性染色是肿瘤细胞分泌的VEGF积聚于邻近血管所致。但Qu-Hong等[8]对肿瘤血管内皮细胞的超微免疫组织化学研究发现在肿瘤血管内皮的囊状空泡样细胞器中有VEGF的过表达,故RB组织中血管内皮细胞VEGF阳性染色是自身分泌抑或局部面积聚尚须进一步研究。
在实验性肿瘤模型中,抗VEGF单克隆抗体可以减少肿瘤内微血管密度并抑制肿瘤生长[9]。玻璃体内注射VEGF抗体可以抑制与视网膜缺血性疾病有关的虹膜新生血管的产生[10]。对其深入研究,不仅有助于RB预后的判断,也将为RB的治疗开辟新的前景。
参考文献
1 Ferrara N.The role of vascular endothelial growth factor in patholo-gical angiogenesis.Breast Cancer Res Treat,1995,36:127-137.
2 Berkman RA,Merrill MJ,Reinhold WC,et al.Expression of the vascular permeability factor/vascular endothelial growth factor gene in central nervous system neoplasms.J Clin Invest,1993,91:153-159.
3 王延华,许云海.视网膜母细胞瘤的病理分型方法.眼科新进展,1984,4:161.
4 Sinicrop FA,Ruan SB,Cleary KR,et al.Bcl-2 and p53 oncoprotein expression during colorectal tumorigenesis.Cancer Res,1995,55:237-241.
5 Tanigawa N,Amaya H,Matsumura M,et al.Correlation between expression of vascular endothelial growth fadctor and tumor vascu-larity,and patient outcome in human gastric carcinoma.J Clin Oncol,1997,15:826-832.
6 Ellis LM,Atha T,Cai S.Angiogenic factor expression in primary and metastatic human colorectal cancers.Proc Assoc Cancer Res,1994,35:67-69.
7 Kvanta A,Steen B,Seregard S.Expression of vascular endothelial growth factor(VEGF) in retinoblastoma but not in posterior uveal melanoma.Exp Eye Res,1996,63:511-518.
8 Qu-Hong,Nagy JA,Senger DR,et al.Ultrastructural localization of vascular permeability factor/vascular endothelial growth factor(VPF/VEGF)to the abluminal plasma membrane and vesiculovacu-olar organelle of tumor microvascular endothelium.J Histochem Cytochem,1995,43:381-389.
9 Kim KJ,Li B,Winer J,et al.Inhibition of vascular endothelial
growth factor-induced angiogenesis supresses tumor growth in vivo.Science,1993,362:841-844.
10 Adamis AP,Shima DT,Tolentino MJ,et al.Inhibition of vascular
endothelial growth factor prevents retinal ischemia-associated iris-
neoveacuarization in a nonhuman primate.Arch Ophthalmol,1996,114:66-71.
(收稿:1999-02-01 修回:1999-07-05) 上一页 [1] [2] |