精彩推荐:青光眼 白内障 近视 远视 散光 斜视弱视 角膜溃疡 角膜炎 沙眼 眼外伤 更多疾病
大众频道
专业频道
时尚频道
互动频道
疾 病 | 保 健 | 爱眼动态 | 名医名院
知 识 | 美 食 | 自检自测 | 爱眼纪事
资 讯 | 临 床 | 学 术 | 文 献
图 谱 | 医 患 | 继 教 | 家 园
五官之美 | 整 形 | 美 容
眼镜一族 | 妆 容 | 图 库
眼科在线 | 预留位置
眼科知道 | 在线咨询
  当前位置: 中华眼科在线 >> 医学频道 >> 临床医学 >> 病例分析 切换到繁體中文 用户登录 新用户注册
三眶单眼伴脑部畸形一例

http://www.cnophol.com 2008-11-6 14:54:58 中华眼科在线

中华眼科杂志 1999年第5期第35卷 病例报告

作者:童 绎 郑一中 方哲明 陈国华 江一平

单位:(童 绎) 350005 福州,福建医科大学附属第一医院眼科;(郑一中) 福建省莆田县医院眼科;(方哲明) 福建医科大学附属第一医院磁共振室;(陈国华、江一平) 福建医科大学组织胚胎学教研室

  三眶单眼伴脑部畸形,甚为罕见,现将我院遇见的1例报告如下。

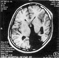
  患者男,25岁,生后即发现3眼眶畸形,哭时仅见右眼及第眼有泪液,而左眼无泪,但可见粘液样分泌物。患者为第2胎,无家族史。体检:上唇外翻,左侧近正中唇裂已修补,神经系统检查为见异常。眼部检查:颜面部呈3眼外貌(图1,2)。右眼球大小无异常,呈明显水平性眼震,视力0.3(不能矫正),右眼睑及泪器未见异常。视乳头色淡、边界清楚,余未见异常。左眼无光感,睑裂4 mm×10 mm,有睫毛,上、下泪小点位置正常,左眼无眼球,仅见灰白色团块状混浊,通过眼睑可触及圆形球状物。颞侧第3眼浓后的眉毛下仅有圆形裂隙,眼睑仅2 mm×3 mm,可见睫毛,无上、下泪点,通过眼睑亦可触及圆形球状物。眼B超探查:右眼正常。左眼约17 mm×15 mm,第3眼为1.5 mm×14.0 mm,均未见明显玻璃体回声,后部未见液性暗区。眼眶X线片示右眼眶大小正常,左侧可见双眼眶,其内侧与右眼眶在同一平面约4 mm×3 mm,左眼外上方可见一小约2.5 mm×2.6 mm眼眶,双眼眶间有间隔(图3)。头颅MRI分别取横断、矢状和冠状3个截面,均行加权T1和加权T2扫描。右眼无异常,左眶内无正常眼球,仅见脂肪组织包绕一圆锥囊泡,左眼未见视神经,左视交叉及外侧膝状体亦未显示。第3只眼眶内大部分填以脂肪组织,内见少量条索状组织向后连于颞叶。左枕叶缺如,左侧侧脑室与第3脑室扩大融合,左侧丘脑与大脑脚明显萎缩,磁共振血管造影:左侧大脑后动脉仅见一小段主干,大部分分支缺如(图4~9)。脊髓MRI未见异常。1997年1月2日在局麻下行左眶内组织取出术,术中见两块肉样团块,经组织学连续切片未见眼球的任何结构,组织块以结缔组织为主,其中一块可见较发达的似为泪腺的粘液性腺,并可见完整的导管系统,在其附近尚有较集中的弥散性淋巴细胞浸润,另外一块也有类似的腺体存在,尚可见一块较大的透明软骨,发育较好(图10,11)。

图1 患者正面像

图2 患者侧面像

图3 X线片显示三眼眶

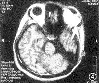
图4 MRI右眼球及视神经正常

图5 MRI左眼眶内无正常眼球,无视神经

图6 MRI示左视神经、视交叉及外侧睫状体均未显示

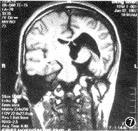
图7 MRI冠状面示左大脑脚萎缩,左侧脑室扩大

图8 MRI横断面示,左诊叶缺如,枕大池与第三脑室相通

图9 MRI示左大脑后动脉分支减少

图10 可见较发达的似为泪腺的粘液性腺,且有完整的导管系统 HE×200

图11 示透明软骨 HE×200

(收稿日期:1998-12-08  修稿日期:1999-03-30)

(来源:互联网)(责编:duzhanhui)

下一条: 没有了
更多关于(中华眼科在线,眼睛,眼科)的信息
  热门图文

应对任何场合的时尚眼

性感妖艳的周迅个性眼

爱美就不要吝啬

秋水明眸滋润心得
  健康新看点
  健康多视点
  图话健康

Copyright © 2007 中华眼科在线 网站备案序列号: 京ICP备08009675号
本网站由五景药业主办 北京金鼎盛世医学传媒机构负责运营 国家医学教育发展中心提供学术支持
服务电话:010-63330565 服务邮箱: [email protected]