|
方 法
取出正常眼压性患者和作为对照的72岁的无眼病和神经病史的白人女性的双侧眼球。所有眼均在死后4小时内取材并在12小时内进行处理。所有眼均用10%甲醛固定、石蜡包埋。眼球从视神经远端至赤道部进行冠状面切片,做4μm厚的连续切片。部分切片用苏木精-伊红染色并在光镜下检查。部分切片用来识别凋亡细胞或进行免疫组化分析。
凋亡细胞的识别采用TUNEL技术,这是一种识别凋亡的原位末端标记技术,包括形态学检查和DNA分段2个主要步骤10。这是一种能准确并快速地识别凋亡细胞群并进行定量的敏感而特异的方法。采用原位细胞死亡检测装置(Boehringer, Mannheim, Mannheim, Germany)。将脱石蜡的切片放在荧光标记的核苷酸和来自小牛胸腺的终端脱氧核苷酸转移酶(TdT)混合液中孵育1小时,TdT将标记的核苷酸催化聚合成DNA片断的游离的3'-脱氧末端。此过程结束时我们用荧光显微镜(Olympus, Tokyo, Japan)来观察凋亡细胞。用不含TdT的荧光标记核苷酸混合液孵育的切片作为阴性对照。以曾用DNAse I(1mg/mL)处理以使DNA链断裂的切片作为阳性对照。
我们对切片作了下列检查,用Alcian蓝识别粘多糖、用Masson三色计勾画出神经胶质增生的轮廓,用Luxol last蓝脱去视神经的髓鞘,用磷钨酸苏木精识别血管壁上纤维蛋白的沉积,用刚果红检查血管周围的淀粉样沉着。
我们还用抗人IgG和IgA 抗体进行了免疫组化分析来了解免疫球蛋白沉积在视网膜和视神经的情况。为进行免疫染色,将脱石蜡切片用K蛋白酶(20μg/ml)室温下孵育20分钟。然后用3%牛血清蛋白处理标本37℃下30分钟以阻断非特异结合部位。冲洗几遍后,用抗人IgG和IgA荧光结合单克隆抗体37℃孵育1小时(稀释1∶16)(Sigma Chemical Company, St Louis, Mo)。孵育结束时,将切片冲洗几次并用荧光显微镜检查。以年龄相匹配的健康人眼和抗鼠免疫球蛋白抗体作为阴性对照。
结 果
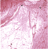
这例正常眼压性青光眼患者的视神经乳头和视网膜组织病理改变在左眼比右眼重,这与视乳头临床表现一致。双侧视神经乳头有明显的凹陷,具有筛板的排列紊乱、受压及后突等特征。通过视神经乳头的轴突数目减少并存在坚实的束状细胞外基质。然而在正常眼中筛板表现为规则的水平排列。正常眼压性青光眼患者的双眼视神经用Alcian蓝染色有空隙提示有Schnabel海绵状变性(图4)。在乳头旁的区域中,视网膜色素上皮、脉络膜毛细血管和光感受器均有萎缩(图2)。


图4 正常眼压性青光眼的视乳头。A,视乳头凹陷,筛板后弯(箭头)及右眼视乳头筛板前区(小箭状物)和筛板后区(大箭状物)的Schnabel海绵状变性(Masson三色计;原大×25)。B,左眼视神经筛板后区广泛的Schnabel海绵状变性(S)。可见筛板后弯(箭头)苏木精-伊红;原大×10)。C,左眼视神经海绵区(Alcian蓝;原大×25)
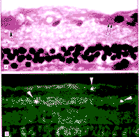
正常眼压性青光眼视网膜连续切片苏木精-伊红染色发现视网膜节细胞及其轴突与对照眼相比有显著丢失。另外,内核层的厚度(3~4层细胞)与对照眼相比(8~9层细胞)明显减少(图5A)。视网膜切片检查偶见视网膜细胞核或胞浆浓缩、核固缩、或有凋亡小体。TUNEL技术所显示的强荧光染色的核代表DNA碎片及核染色质浓缩(图5,B和C)。TUNEL阳性细胞在视网膜节细胞层最多见;但也有一些细胞见于内、外核层。TUNEL阳性节细胞散在分布,约占每一切片的全部节细胞的0.1%。年龄相匹配的正常对照眼中未见TUNEL阳性细胞。

图5 正常眼压性青光眼细胞凋亡的证据。A,正常眼压性青光眼视网膜中周部节细胞及其轴突丢失。箭头所示为一个核固缩胞浆完整的节细胞;箭状物所指为一个有浓缩核和收缩的胞浆的节细胞(苏木精-伊红染色;原大×100)。B,正常眼压性青光眼患者眼切片中节细胞和视网膜内核层中用终端脱氧核苷酸转移酶介导的三磷酸脱氧尿核苷末端标记技术标记的阳性细胞(原大×40)。C,视网膜节细胞层TUNEL技术标记阳性细胞(箭头)(原大×100)
与对照眼相比,内层视网膜和视神经乳头的毛细血管数量和容积下降,特别是在节细胞及其轴突数目明显下降的区域。然而,仍可见开放的毛细血管,其中可见正常红细胞。在右眼视神经的筛板后区,可见散在类似于无内皮细胞的血管腔的结构(图6)。附近区域可见轴突水肿及小神经胶质细胞浸润。血管壁未见有淀粉样或纤维蛋白沉积,广泛的毛细血管丢失似与视乳头和视网膜神经组织丢失成比例。血管造影所见的充盈缺损似与这些发现相符。

图6 正常眼压性青光眼患者血管表现。A,减少但完整的视网膜血管(苏木精-伊红染色;原大×100)。B,在视神经筛板后区,可见限局性轴突水肿及邻近的部分阻塞的无内皮细胞的血管(苏木精-伊红染色;原大×100)
用正常眼压性青光眼患者的视神经乳头和视网膜抗人IgG和IgA抗体进行免疫染色。表明这些组织中有血清免疫球蛋白。神经节细胞和视网膜内外核层的免疫染色明显。对照抗体不使这些组织染色,对照眼用这些抗体均无染色(图7)。



图7 有人免疫球蛋白荧光结合单克隆抗体的正常眼压性青光眼患者的视网膜免疫染色。患者视网膜切片的节细胞(g)和外(on)及内核层(in)可见有抗人IgA(A)或IgG(C)抗体的免疫染色。在年龄相匹配的有抗人IgA(B)或IgG(D)抗体对照眼中除正常的自体荧光外未见免疫染色
上一页 [1] [2] [3] 下一页 |