精彩推荐:青光眼 白内障 近视 远视 散光 斜视弱视 角膜溃疡 角膜炎 沙眼 眼外伤 更多疾病
大众频道
专业频道
时尚频道
互动频道
疾 病 | 保 健 | 爱眼动态 | 名医名院
知 识 | 美 食 | 自检自测 | 爱眼纪事
资 讯 | 临 床 | 学 术 | 文 献
图 谱 | 医 患 | 继 教 | 家 园
五官之美 | 整 形 | 美 容
眼镜一族 | 妆 容 | 图 库
眼科在线 | 预留位置
眼科知道 | 在线咨询
  当前位置: 中华眼科在线 >> 医学频道 >> 临床医学 >> 论文汇集 切换到繁體中文 用户登录 新用户注册
结膜神经鞘瘤三例报告

http://www.cnophol.com 2008-7-29 10:36:26 中华眼科在线

 

图1 例1.二叶状眼球肿块起源于下穹窿部

 

图2 例3.表面干燥的睑结膜肿块引起睑外翻。颊部损伤为无关的基底细胞癌

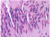
图3 例1.栅栏样排列的梭形细胞束形成条带,胞浆嗜酸性(H-E染色,放大倍数×64)

图4 例1.核卵圆形,胞浆内有空泡(H-E染色,放大倍数×82)

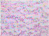
图5 例2.细胞核排列成平行条索样,构成Antoni a-条纹型(H-E染色,放大倍数×160)

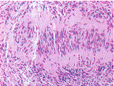
图6 例2.未见良性梭形细胞或小而色淡的核仁(H-E染色,放大倍数×204)

 

上一页  [1] [2] [3] 下一页

(来源:互联网)(责编:zhanghui)

下一条: 没有了
更多关于(眼睛,中华眼科在线,结膜神经鞘瘤,眼科论文)的信息
  热门图文

办公室里眼镜族的性感

解析今夏流行眼线画法

打造清新咖啡色眼妆

粉红眼妆画出爱情运势
  健康新看点
  健康多视点
  图话健康

Copyright © 2007 中华眼科在线 网站备案序列号: 京ICP备08009675号
本网站由五景药业主办 北京金鼎盛世医学传媒机构负责运营 国家医学教育发展中心提供学术支持
服务电话:010-63330565 服务邮箱: [email protected]