|
对摘除眼球的病理学检查所见显示弥漫性葡萄膜黑变病,在前部特别显著并见于后部脉络膜。虹膜(图2和图3)和睫状体(图3)有大量色素沉着并且由于具有不明显的核特征的痣细胞浸润而大大地变厚。大量黑色素细胞增生阻塞了大部分前房角,但部分小梁网仍是开放的(图3)。在后部增厚的和有大量色素沉着的脉络膜上,可见到一个轻度色素沉着的卵圆形肿瘤病灶(图4)。肿物大小为7mm×6mm×3mm。显微镜检查显示轻度色素沉着的肿瘤病灶为梭形细胞黑色素瘤,由A型及B型梭形细胞的合胞体组成,具有椭圆形的核及明显的核仁(图5)。在40个高倍视野中找到2个有丝分裂相。有几个血管襻,但未观察到坏死及淋巴细胞浸润。围绕黑色素瘤的痣细胞为丰满的多面体,含有大量浓密的色素性细胞浆,用漂白切片显示出不明显的核特征(图6)。有明显的脉络膜、巩膜和表层巩膜色素沉着,符合眼球黑变病(图4)。

图2 被摘除的眼球显示前部葡萄膜被良性黑色素细胞弥漫浸润。细胞浸润完全覆盖并阻塞房角,掩盖了小梁网。图下方可见大大增厚的虹膜切面

图3 眼前节,眼球黑变病。虹膜和睫状体基质增厚,大量色素沉着。一个舌形色素组织伸延越过小梁网。在左侧,巩膜表层也可看到类似的色素组织(苏木精-伊红染色,原大×5)

图4 脉络膜黑色素瘤由眼球黑变病发展而来。由致密的色素增生的色素痣包绕的轻度色素沉着的卵圆形病变,很明显是梭形细胞黑色素瘤。在后部巩膜表层内可以看到广泛的线形色素沉着符合眼-皮肤黑变病

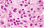
图5 轻度色素沉着的黑色素瘤由A型及B型梭形细胞的合胞体组成(苏木精-伊红染色,原大×250)

图6 围绕梭形细胞黑色素瘤的痣细胞的脱色切片显示有丰富的细胞浆及不明显的核特征的细胞。与图5的黑色素瘤相比,有少量细胞浸润(漂白,原大×250)
评 论
与葡萄膜黑色素瘤的形成有关的或易发性葡萄膜黑色素瘤的疾病包括眼球黑变病和眼-皮肤黑变病,家族性非典型痣-黑色素瘤综合征,Li-Fraumeni综合征,家族性黑色素瘤和神经纤维瘤病I型8。已经认识到先天性眼-皮肤黑变病与早期发生葡萄膜黑色素瘤的关系。在一组病例中,发现7例20岁以下患脉络膜黑色素瘤的患者中有4例患眼球黑变病9。家族性非典型痣-黑色素瘤综合征10,Li-Fraumeni综合征11和家族性黑色素瘤12也与葡萄膜黑色素瘤的早期发病有关。然而,在儿童神经纤维瘤病I型,未发现有发生葡萄膜黑色素瘤的倾向13。
一般而言,先天性眼球黑变病和眼-皮肤黑变病是最常倾向于伴发葡萄膜黑色素瘤的情况。由一个眼科肿瘤治疗中心17年间评价的连续4 500例葡萄膜黑色素瘤患者中有60例(1.3%)有眼球黑变病或眼-皮肤黑变病8。已有几个关于双眼和多发脉络膜黑色素瘤的患者伴有眼球黑变病的报道14,15。而且也报道过几个不同种类的黑色素细胞瘤,例如脉络膜黑色素瘤和睫状体黑色素细胞瘤发生在单个患眼球黑变病的眼中16。所以眼球黑变病或眼-皮肤黑变病的患者易发生良性或恶性眼肿瘤。
曾经预测过,每400例眼球黑变病或眼-皮肤黑变病的患者中只有1例在其有生之年发生葡萄膜黑色素瘤。其中99%的患者葡萄膜黑色素瘤在10岁后发病17。本文的患者脉络膜黑色素瘤的诊断是14岁时作出的,与预计发生肿瘤的易感期一致。
脉络膜黑色素瘤可起源于先前存在的脉络膜痣18。我们的患者被摘除的眼球的病理组织学检查所见进一步证实,脉络膜黑色素瘤起源于在弥漫性葡萄膜黑变病中有木兰细胞(magnocellular)特征的独特脉络膜痣。在12岁时最初发现的眼底色素性病损可能是脉络膜痣。在其后的2年内当存在眼球黑变病时,转变为黑色素瘤。
该病例同样证实了先天性眼球黑变病可发生青光眼。神经嵴衍生的黑色素细胞浸润小梁网是这些患者形成青光眼的重要因素19。也起源于神经嵴的小梁网细胞的异常发育,可能对青光眼的发病机制起一定作用19。
总之,先天性眼球黑变病和眼-皮肤黑变病的患者,不论其年龄大小,均应定期随诊,以检查有无发生青光眼及葡萄膜黑色素瘤 。10岁后,发生葡萄膜黑色素瘤的风险会逐渐增加。
参 考 文 献
Arch Ophthalmol 1998;116∶1112-1114
申敏如 校
上一页 [1] [2] |