|

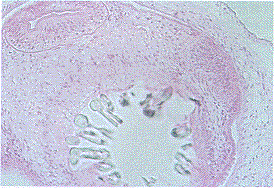
图3 病原体镜下显示小钩伴有类绦虫生物体(苏木精-伊红,原放大倍数×400)

图4 术后3个月右眼底相,视网膜愈合、平复
评 论
我们过去一直面临的一个问题是我们是否应试图采用药物治疗或激光光凝固治疗在病原体原来的位置将其消灭。由于人类是纯尾线虫(Tcrassiceps)的一种异常的中间宿主,感染一般局限于大脑、眼、或皮下组织的一个单独的病灶内。以往关于药物或激光治疗眼部感染和绦虫幼虫(larval cestodes)的报告均是令人失望的。一个强有力的炎性反应对于缓解从死亡和即将死亡的有机体得到的眼内抗原常导致丧失眼球5。本例幸运的是,采用现代手术技术已将病原体成功地摘除,并获得良好的视力康复。
Arch Ophthalmol 1997;115∶562-563
赵光喜 校
上一页 [1] [2] |