精彩推荐:
青光眼
白内障
近视
远视
散光
斜视弱视
角膜溃疡
角膜炎
沙眼
眼外伤
更多疾病
大众频道
专业频道
时尚频道
互动频道
疾 病
|
保 健
|
爱眼动态
|
名医名院
知 识
|
美 食
|
自检自测
|
爱眼纪事
资 讯
|
临 床
|
学 术
|
文 献
图 谱
|
医 患
|
继 教
|
家 园
五官之美
|
整 形
|
美 容
眼镜一族
|
妆 容
|
图 库
眼科在线
|
预留位置
眼科知道
|
在线咨询
当前位置:
中华眼科在线
>>
医学频道
>>
眼科图谱
>>
病理图谱
切换到繁體中文
用户登录
新用户注册
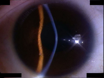
圆锥角膜裂隙灯
http://www.cnophol.com 2008-7-22 15:17:15 中华眼科在线
圆锥角膜裂隙灯
(来源:浙江眼科第一门户)(责编:duzhanhui)
下一条: 没有了
更多关于(
眼睛,眼科,中华眼科在线,圆锥角膜裂隙灯,眼科图谱
)的信息
皮样囊肿
先天性无虹膜白内障伴发青光眼1例
眼外伤前房出血延误治疗致眼球摘除1例
VEP早期诊断视神经挫伤体会
白内障术中后囊膜破裂时前房型人工晶体的应
结膜瓣转位术在双侧翼状胬肉的应用
中山大学眼科中心教授 陈龙山
南京医科大学眼科专家 蒋沁
临床青光眼图谱
青光眼专家释疑
热门图文
测试:你适合哪种眼镜
美女 一起来打一场眼睛
打造夸张浓眉大眼
奥运眼镜 让奥运近在眼
健康新看点
健康多视点
图话健康
Copyright © 2007 中华眼科在线 网站备案序列号: 京ICP备08009675号
本网站由
五景药业
主办
北京金鼎盛世医学传媒机构负责运营
国家医学教育发展中心提供学术支持
服务电话:010-63330565 服务邮箱:
[email protected]