精彩推荐:
青光眼
白内障
近视
远视
散光
斜视弱视
角膜溃疡
角膜炎
沙眼
眼外伤
更多疾病
大众频道
专业频道
时尚频道
互动频道
疾 病
|
保 健
|
爱眼动态
|
名医名院
知 识
|
美 食
|
自检自测
|
爱眼纪事
资 讯
|
临 床
|
学 术
|
文 献
图 谱
|
医 患
|
继 教
|
家 园
五官之美
|
整 形
|
美 容
眼镜一族
|
妆 容
|
图 库
眼科在线
|
预留位置
眼科知道
|
在线咨询
当前位置:
中华眼科在线
>>
医学频道
>>
眼科图谱
>>
病理图谱
切换到繁體中文
用户登录
新用户注册
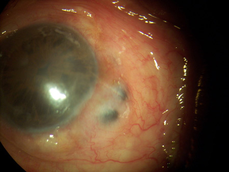
巩膜葡萄肿
http://www.cnophol.com 2008-7-3 14:25:02 中华眼科在线
(来源:久久眼科)(责编:zhanghui)
下一条: 没有了
更多关于(
眼睛,中华眼科在线,巩膜葡萄肿,眼科图谱
)的信息
玻切手术 用玻璃体剪剪开视网膜上的增殖牵引
中渗
眼科助诊肝豆状核变性
外养内调不让近视加重
马凡氏综合征的眼科问题
干眼症需长期治疗
泪道栓子植入治干眼症
从发病机理探寻白内障药疗
湿性AMD的诊治要点
医务人员再爆体检黑幕 员工无医生护士资质
热门图文
太阳镜棕色最护眼
今年眼镜不忌粗黑 流行
暑假整形:必须了解的知
夏季最得宠的5款太阳镜
健康新看点
健康多视点
图话健康
Copyright © 2007 中华眼科在线 网站备案序列号: 京ICP备08009675号
本网站由
五景药业
主办
北京金鼎盛世医学传媒机构负责运营
国家医学教育发展中心提供学术支持
服务电话:010-63330565 服务邮箱:
[email protected]