| LASIK术后假单疱菌角膜炎病例 |
|
| http://www.cnophol.com 2007-12-17 14:18:51 中华眼科在线 |
激光角膜原位磨镶术(LASIK)是当前最常见的治疗屈光不正的屈光手术, 如近视、远视和散光等。和屈光性角膜切削术(PRK)不同,LASIK保留了完整的Bowman膜和上方上皮层的完整性,从而降低了发生细菌性角膜炎的危险性。但是,LASIK术后细菌性角膜炎是被逐步认识的屈光手术后威胁视力的并发症。 这里报道的是一例双眼同时行LASIK术后患者右眼发生绿脓杆菌角膜炎的病例。据我们所知,这是第一例LASIK术后发生绿脓杆菌性眼内炎的文献报道。
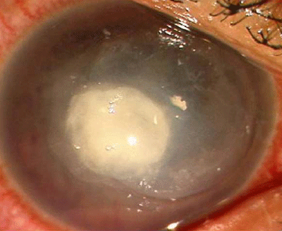
病例报告 一名32岁女性患者主诉右眼近一周以来眼痛、眼红、流泪、畏光并视力下降。患者3周前在一家私立诊所双眼同时进行了LASIK手术,术前屈光不正,右眼球镜-4.0D,左眼球镜-5.0D。她被告知术后局部使用0.3%妥布霉素和1%磷酸地塞米松滴眼液一天四次。LASIK术后2周,她的右眼出现充血、疼痛、流泪、分泌物和视力下降,角膜刮片显示为感染性角膜炎。接诊的眼科医生告诉她每4个小时点一次0.3%氧氟沙星滴眼液。角膜刮片检查没有发现任何微生物。上述治疗后症状加重,因此她来到我们中心。 到我们角膜专科门诊时,右眼的最佳矫正视力(BCVA)是眼前手动,各个方位的光定位准确,左眼是6/6。右眼眼睑水肿,结膜充血。右眼角膜有一个3.5×3.5mm上皮缺损伴周边浸润,侵及角膜瓣的全层以及基质床的2/3(图1)。前房有纤维性渗出,瞳孔圆形中度大,晶状体清亮。眼内压(IOP)用数字眼压计测量正常。左眼检查显示一个蒂在上方的偏心的LASIK角膜瓣。

由此可以确定右眼的临床诊断是LASIK术后角膜炎。从溃疡边缘进行了角膜刮片。制作涂片并进行格兰氏染色,还进行了氢氧化钾封片。涂片的显微镜检查没有发现微生物。从角膜刮片中获得的样品还放入血琼脂、巧克力琼脂、Sabouraud琼脂、Lowenstein-Jensen培养基,以及Escherichia coli-覆盖了的无营养琼脂中进行了培养。 患者在住院期间使用了强化的每小时一次1.4%妥布霉素和5%cefazolin滴眼液,同时2%homatropine滴眼液每天4次的联合治疗。患者还接受了每天2次静脉注射200mg ciprofloxacin,需要时口服anglgesic。 角膜炎进一步进展表现为浸润增加伴有角膜溶解。药物治疗2天内,中央角膜溃疡区穿孔,虹膜组织嵌顿在伤口上。前房变浅,IOL很低。 培养结果显示有绿脓杆菌生长。此细菌对ciprofloxacin敏感,对氧氟沙星、妥布霉素、氯霉素、庆大霉素、cefazolin、万古霉素和四环素耐药。 对患者改用0.3%ciprofloxacin白天每小时一次,夜间每2小时一次,静脉继续使用ciprofloxacin。症状有改善,溃疡的大小和浸润的密度和大小减轻。第四天,形成了一个假性角膜,Siedel试验阴性。第10天,角膜溃疡完全愈合,Snellen视力表查小孔视力是6/60。随诊6周,右眼BCVA在-2.0DC×55°下为6/12,存在角膜瘢痕。
[1] [2] 下一页 |
| (来源:正大光明)(责编:xhhdm) |
|
 |
| 下一条: 旋转轴肌手术后的前部缺血性视神经病 |
|
更多关于(眼科,眼部疾病,角膜炎,单疱菌角膜炎,激光手术,屈光手术,近视,远视,散光,)的信息 |
|
|
热门图文 |
|
|
|
|
|
健康新看点 |
|
|
健康多视点 |
|
|
图话健康 |
|
|
|