精彩推荐:青光眼 白内障 近视 远视 散光 斜视弱视 角膜溃疡 角膜炎 沙眼 眼外伤 更多疾病
大众频道
专业频道
时尚频道
互动频道
疾 病 | 保 健 | 爱眼动态 | 名医名院
知 识 | 美 食 | 自检自测 | 爱眼纪事
资 讯 | 临 床 | 学 术 | 文 献
图 谱 | 医 患 | 继 教 | 家 园
五官之美 | 整 形 | 美 容
眼镜一族 | 妆 容 | 图 库
眼科在线 | 预留位置
眼科知道 | 在线咨询
  当前位置: 中华眼科在线 >> 医学频道 >> 临床医学 >> 病例分析 切换到繁體中文 用户登录 新用户注册
儿童视乳头水肿病例

http://www.cnophol.com 2007-12-10 17:02:51 中华眼科在线

   一名8岁男孩因为双侧可疑视乳头水肿而被送到急诊。在一次常规眼科检查中,视光学医生发现他双侧视乳头水肿,右侧较重。该儿童的眼科病史比较有限,因为他是最近被收养的;但他叙述他曾经进行过右眼遮盖。他没有眼部不适主诉,否认头痛、视力障碍或视物模糊。他的裸眼视力分别为20/20-1(右眼),20/40(左眼)。Ishihara色觉检查正常。瞳孔等大、等圆,对光反射灵敏。RAPD(相对性瞳孔传入障碍)阴性。对比法测量视野正常。右眼视乳头轻度隆起,左眼非常轻度的隆起。视乳头无充血,视乳头边缘并不模糊,没有视乳头出血。(图1)



(图1)


诊断


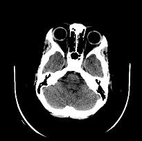
   对该患者进行了急诊头颅CT扫描。CT显示右眼球靠近视神经处可见小片钙化,表明为小的视神经玻璃疣。左眼靠近视神经处也可见一小块边界不太清楚的区域,这也认为是更小的钙化灶,表明更小的视神经玻璃疣。(图2)


[1] [2] 下一页

(来源:正大光明)(责编:xhhdm)

下一条:
更多关于(眼科,眼科疾病,眼科进展,病例,视乳头水肿,视力障碍,眼科检查,视野,眼球,视神经,)的信息
  热门图文

眼袋日常护肤8大高招

5款至酷太阳镜 型男必

08韩国时尚达人眼镜秀

炫酷太阳镜打造时尚酷
  健康新看点
  健康多视点
  图话健康

Copyright © 2007 中华眼科在线 网站备案序列号: 京ICP备06023366号
本网站由五景药业主办 北京金鼎盛世医学传媒机构负责运营 国家医学教育发展中心提供学术支持
服务电话:010-63330565 服务邮箱: [email protected]