二尖瓣附瓣(AMVT)是一种极其罕见的先天性心脏异常,可为偶然所见,也可导致左心室流出道梗阻,表现为呼吸困难、胸痛、心悸、疲劳或晕厥等症状。土耳其的 Muzaffer 等学者在 2018 年第 2 期的 Echocardiography 杂志上报道了 1 例以急性视网膜动脉栓塞发病的 AMVT,实属罕见。
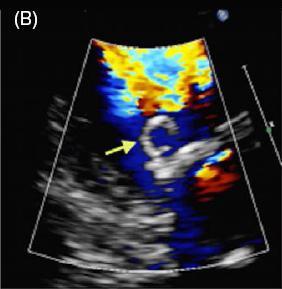
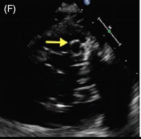
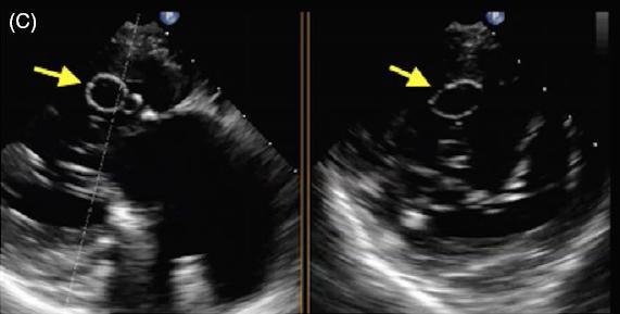
患者女,42 岁,以「急性视网膜动脉闭塞」病史就诊,既往无慢性疾病。经胸超声心动图检查发现二尖瓣后叶可见一囊状结构,可活动(图 A 和 B)。二维和实时三维经食管超声心动图检查显示一柔软的圆形结构附着于二尖瓣后叶,活动性良好(图 C ~ G)。主动脉弓、左心房、左心耳和左心室均正常。根据病变形态特征及超声表现,诊断为二尖瓣附瓣。其它影像学检查如 MRI、颈动脉多普勒超声均无异常。基于上述检查结果,考虑急性视网膜动脉闭塞为 AMVT 所致,建议外科手术切除二尖瓣附属组织,但是患者拒绝,选择随访观察。

图 A 经胸超声心动图显示二尖瓣后叶可见一囊状结构,可活动

图 B 彩色多普勒超声显示彩色血流进入囊状结构


图 C~F 二维经食管超声心动图显示一柔软的圆形结构附着于二尖瓣后叶,活动性良好

图 G 实时三维经食管超声心动图显示一柔软的圆形结构附着于二尖瓣后叶,活动性良好
二尖瓣附瓣(AMVT)是一种极其罕见的先天性心脏异常。患者临床表现差异很大,轻者仅表现为无症状的心脏杂音,重者可出现晕厥或缺血性脑卒中。在本例中,患者表现为急性视网膜动脉栓塞,经过详尽检查,未能发现其它可产生视网膜动脉栓子的病因。AMVT 是栓子的潜在来源,可能由于其活动度良好且组织易碎,或者由于血小板聚集引起间断性栓子形成。据资料统计,在大多数病例中 AMVT 起源于二尖瓣前叶。在作者报导的病例中,AMVT 起源于二尖瓣后叶,更属罕见。 |