流行病学:
1.糖尿病发病率不断升高,全球到2030年可达366million
2.由自身免疫因素导致的一型发生率明显低于二型(占90%)
3.二型糖尿病发生率增加与久坐习惯、饮食和肥胖密切相关
糖网流行病学:
1.20年糖尿病病程对于一星或者~80%二星患者均会发生眼底糖网的改变
2.欧美糖网占致盲眼病的15-17%
3.Yau等对22896患者统计结果显示,糖网发生率在35%左右;PDR-增殖性糖网和DMO--糖网黄斑水肿发生率在7%左右
4.DMO比PDR对视力的损伤更为严重,而且缺少有效的治疗手段
糖网分类:
1.常规分类法:非PDR和PDR两型,其中PDR包含新生血管形成。新生血管比较脆弱,会出现不同程度的渗漏,如果任其发展,会出现纤维增殖现象,从而潜在引起玻璃体牵拉、玻璃体积血、牵拉性网脱等
2.在糖尿病患病25年以上的患者中,PDR发生率占50%的一型糖尿病患者;二型中占15%的患者会出现
在临床和流行病学研究中最常用的分级方法是ETDRS分级:
1.不同程度的NPDR评价内容:微血管瘤、出血点、棉絮版(神经纤维梗死病灶)、静脉循环异常改变(串珠样改变)、IRMA(视网膜内微血管异常)
2.PDR:新生血管(视盘或眼底其他部位)、玻璃体积血(存在或不存在)
当糖网影响到黄斑区时会出现糖尿病黄斑病变的称呼:
分类:
1.水肿是否影响到黄斑中心凹分为--中心或非中心的
2.水肿扩散区域的大小状态---局限性或者弥散性
3.黄斑周边的毛细血管状态---缺血性或者非缺血性
4. 混合型--以上各种现象均存在
相关疾病:
糖尿病视网膜病变糖尿病高血压
糖网的危险因素:
1.保持血糖正常很重要(HbA1c监测)
2.早期检查并积极治疗糖尿病
3.保持血脂正常
4.高血压
基因与糖网之间的关系:(NF-KB)
1.无明确关系,需要与环境因素综合考虑
2.实验研究发现,短期高血糖会导致染色体重塑和表观遗传变异,从而会影响疾病的发生发展
微血管功能异常在糖网病变中的病理特点:
微血管异常是一个很重要的关注点,会导致BRB(血视网膜屏障)异常、出现水肿或增殖期的改变。动物实验已经证明在6个月到4年的糖尿病期间均可能出现微血管的异常变化,但是动物实验与人类疾病的异同一直是争议的存在之处。
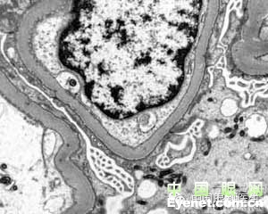
在DM病人或动物模型中发现的早期血管病理改变主要是毛细血管基底膜增厚。发生这种情况的主要原因是:合成基底膜的成分增加或伴有分解酶的降解。当然,基底膜增厚是否是糖网发展的主要因素还不确定。但是推测,此种改变会破坏内皮细胞与周细胞之间的正常关系,进而破坏毛细血管的自身调节机制。
糖网时,周细胞和平滑肌细胞会通过细胞凋亡机制发生死亡。
微动脉瘤是糖网的标志性表现。眼底镜下表现为深红色或白色点状;造影显示为不连续的高荧光点。临床上,大多微动脉瘤会出现硬化和无灌注,其余的表现为部分或者全部充盈。
于微动脉瘤不发生于啮齿类糖网动物模型,所以对组织形态学研究造成一定的局限性。但是高血压、微血管基底膜增厚、内皮细胞增生、血栓形成及周细胞死亡等是微血管瘤形成重要因素。
早期微动脉瘤很可能包含大量的单核或分叶核细胞,这也反映了糖网的促炎症阶段和白细胞介导的毛细血管阻塞的发生。
 |