精彩推荐:青光眼 白内障 近视 远视 散光 斜视弱视 角膜溃疡 角膜炎 沙眼 眼外伤 更多疾病
大众频道
专业频道
时尚频道
互动频道
疾 病 | 保 健 | 爱眼动态 | 名医名院
知 识 | 美 食 | 自检自测 | 爱眼纪事
资 讯 | 临 床 | 学 术 | 文 献
图 谱 | 医 患 | 继 教 |
五官之美 | 整 形 | 美 容
眼镜一族 | 妆 容 | 图 库
眼科在线 | 预留位置
眼科知道 | 在线咨询
  当前位置:当前位置: 中华眼科在线 → 医学频道 → 临床医学 → 病例分析 → 正文 切换到繁體中文 用户登录 新用户注册
反复双眼无痛性视力下降16个月

http://www.cnophol.com 2017-8-24 11:47:01 中华眼科在线

  临床资料

  患者女性,42岁,因反复双眼无痛性视力下降16个月来诊,双眼同时发病,1天内达高峰,视力最差0.2/0.1,在外院诊为“球后视神经炎”,予激素治疗,1个月左右渐恢复至0.8/0.4,后又有两次反复。既往有肺大疱,右肺中叶手术切除史。入院查体:近视力右Jr3,左Jr6,最佳矫正视力右0.8,左0.1,左RAPD(+),眼底:双视乳头界清,颞侧色略淡,余神经系统查体未见异常。化验检查:血常规、生化、ESR、ASO、CRP、RF均正常,ENA多肽谱、ds‐DNA、ANA、酶免四项均阴性。腰穿压力110mmH2O,CSF常规、生化、MBP正常,OB(-),IgG 24小时合成率1.17mg/dl[(-0.56±5.9)mg/24h]。VEP:左P100波振幅重度下降,波形近熄灭,右P100潜伏期延长,波幅下降。视野:双眼右侧不一致性同向偏盲(图1.12‐1)。头MRI报告“视交叉处异常信号影,视交叉出血?建议治疗后复查,除外血管瘤继发出血”(图1.12‐2)。

【病例】反复双眼无痛性视力下降16个月 如何找出病因?

  图1﹒12‐1视野改变

  主要表现双颞侧不全视野缺损

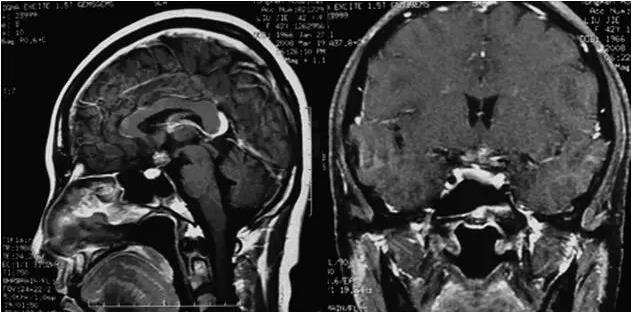
【病例】反复双眼无痛性视力下降16个月 如何找出病因?

  图1﹒12‐2头颅MRI

  视交叉处可见一类圆形异常信号影,与视交叉分辨不清,信号混杂,内部可见短T1、短T2信号,大小约1.0cm×1.5cm×1.2cm,病变向后压迫垂体柄移位,增强后,病变不均匀性明显强化

  入院后诊为“压迫性视神经病,鞍上占位”,予B族维生素、银杏叶提取物等治疗10天,视力恢复至Jr2/Jr5。出院后到外院行手术治疗。病理证实为视交叉海绵状血管瘤,手术切除后1个月随访,视力恢复至0.8/0.3,自觉视野也有好转。

  讨论

  颅内海绵状血管瘤目前认为是一种先天性血管畸形,分为脑内型与脑外型两部分[1,2],是脑血管畸形中较常见的一种,占脑血管畸形的5%~25%[3]。脑内海绵状血管瘤由许多薄壁扩张的毛细血管组成,为非真性血管瘤,缺乏正常的血管壁成分,血管壁内衬内皮细胞,外膜为薄层纤维组织,缺少平滑肌和弹性纤维,异常血管间为疏松结缔组织,无脑实质组织,无大的供血动脉或引流静脉,此为其特征性表现。海绵状血管瘤多并发出血。20%~30%脑内海绵状血管瘤患者曾有反复少量出血,通常为脑内出血[3],出血及血液外渗的范围大于瘤体的范围较少[4]。CT表现为富含血管的高密度占位病变征象,边界清晰,周围无明显脑水肿,出血急性期可见高密度影。MRI敏感性优于CT,表现肿瘤出血的改变,急性期T1高信号,T2低信号,慢性期为混杂信号。绝大部分海绵状血管瘤的脑的血管造影正常。

  脑内海绵状血管瘤可发生于中枢神经系统的任何部位,而发生在视交叉的海绵状血管瘤至今报道甚少。大部分视交叉海绵状血管瘤患者因视交叉出血而出现症状[5]。临床可表现为视交叉综合征或缓慢发展的双眼视力下降,也有报道单侧视力下降[6]。由于此病主要表现为视力损害,应与视神经病变、鞍上池的颅咽管瘤、垂体瘤、生殖细胞瘤、胶质瘤等相鉴别。本例患者临床表现反复双眼视力下降,每次急性起病,视力下降迅速而恢复较好,眼底检查视乳头形态大致正常,表现并非典型的视交叉综合征,因此在外院,此患者曾一直被误诊为“球后视神经炎”。球后视神经炎也称为特发性脱髓鞘性视神经炎,多为单眼或双眼的急性痛性视力下降,早期眼底正常,后期视乳头颞侧可苍白,视野为中心或旁中心暗点,通常预后较好,部分易复发。此患者反复双眼视力下降,但一直无伴发眼痛和转眼痛,每次视力恢复不完全,且视野表现不典型,应该引起警惕,临床表现不典型的病例应行头MRI检查排除颅内病变。该患者的头颅MRI表现视交叉处混杂信号,不均匀强化,符合海绵状血管瘤急性出血的表现。此患者手术后视力恢复欠佳,考虑与病史长、就诊时视神经已部分萎缩有关。

  该病与鞍上池的肿瘤等鉴别有时比较困难,鞍上池的垂体瘤等多呈慢性病程,可有慢性头痛、内分泌改变、视野改变以及视乳头水肿等慢性颅内高压的表现,占位效应多明显。而影像与鞍上池肿瘤的鉴别也比较困难,颅咽管瘤多从垂体窝突破鞍隔向上生长,其多样的病理成分决定了信号的复杂性,T1WI可呈多种信号,囊壁多发生钙化。发生在视交叉或下视丘的胶质瘤,占位效应更明显,临床视觉障碍症状出现更早,后期合并出血时鉴别困难[7]。

  手术切除是脑内海绵状血管瘤最佳的治疗,手术的目的是去除病灶出血风险,目前主要采用微创神经外科手术技术。脑内海绵状血管瘤对放射治疗不敏感,多数术后预后良好,手术切除可改善视力和视野。

  参考文献

  1.Bionid A,Clemenceau S,Dormont D,et al.Intracranial extrar‐axial cavern ous angiomas:tumors or vascular malformation?Neuroradiaol,2002,29:91

  2.Verlaan DJ,Laurent SB,Sure U,et al.CCMI mutation screen of sporadic ca ses with cerebral cavernous malformation.Neurology,2004,62:1213

  3.赵继宗,姜中利.脑内海绵状血管瘤.颅脑肿瘤外科学.北京:人民卫生出版社,2004:500

  4.Hwang JF,Yau CW,Huang JK,et al.Apoplectic optochiasmal syndrome due to intrinsic cavernous hemanginma.Case report.J Clin Neuroophthalmol,1993,13(4):232

  5.雷仲其.视交叉海绵状血管瘤.国际眼科学纵览,1991,6:65

  6.Milea D,Karachi C,Bonnerville F,et al.Optochiasmal cavernoma:a rare cause of unilateral visual loss[French].Rev Neurol(Paris),2005,161(5):605

  7.伍彩云,刘国瑞,郑文斌.视交叉海绵状血管瘤1例.汕头大学医学院学报,2006,3:177

  来源:《神经科少见病例》

  作者:张微微 戚晓昆

(来源:中国眼网) (责编:cnophol)

发表评论】【加入收藏】【告诉好友】【打印此文】【关闭窗口
  • 下一条信息: 没有了
  • 更多关于(反复,双眼无痛性视力下降,16个月,中华眼科在线)的信息
    没有相关信息
      热门图文

    开眼角还嫌眼不够大?

    眼部、面部三招教你KO

    关于眼镜的1.2.3.....

    双眼皮贴竟会让皮肤变
      健康新看点
      健康多视点
    ad推广
      图话健康
    点击申请点击申请点击申请点击申请点击申请点击申请点击申请点击申请点击申请
    39健康网眼病新浪福建健康21世纪药店网医脉通眼科新浪厦门健康合肥爱尔眼科一心医药集团重庆桐君阁湖北眼科网武汉眼科医院
    天津眼科医院武汉民生耳鼻喉医院中国近视网中国卫生人才网39五官科爱尔英智眼科康华眼科网久久眼科网阿里医药眼科网山水画

    Copyright © 2007 中华眼科在线 网站备案序列号: 京ICP备08009675号
    本网站由武汉五景药业主办